免费电话:400-9961-933
邮箱:info@sabbiotech.com
欢迎光临本站
川博智能体 English
位置: 首页 > 磷酸化抗体 > Stathmin1(Phospho-Ser25) Antibody

Stathmin1(Phospho-Ser25) Antibody #11224

是否有货: 有货
产品详情

产品名称Stathmin1(Phospho-Ser25) Antibody

来源种属Rabbit

克隆性Polyclonal

纯化Antibodies were produced by immunizing rabbits with synthetic phosphopeptide and KLH conjugates. Antibodies were purified by affinity-chromatography using epitope-specific phosphopeptide. Non-phospho specific antibodies were removed by chromatogramphy using non-phosphopeptide.

应用WB IHC

种属反应性Human;Mouse;Rat

特异性The antibody detects endogenous level of Stathmin 1 only when phosphorylated at serine 25.

免疫原类型Peptide-KLH

免疫原描述Peptide sequence around phosphorylation site of serine 25 (I-L-S(p)-P-R) derived from Human Stathmin 1.

基因/蛋白名称Stathmin1

标记Unconjugated

别名STMN1; STN1; stathmin

数据库入口号Swiss-Prot: P16949
NCBI Protein: NP_001138926.1

Uniprot P16949

浓度1.0mg/ml

配方Supplied at 1.0mg/mL in phosphate buffered saline (without Mg2+ and Ca2+), pH 7.4, 150mM NaCl, 0.02% sodium azide and 50% glycerol.

保存Store at -20°C for long term preservation (recommended). Store at 4°C for short term use.

应用详情
Predicted MW: 19kd
Western blotting: 1:500~1:1000
Immunohistochemistry: 1:50~1:100
Western blot analysis of extracts from Jurkat cells untreated or treated with PMA using Stathmin 1(Phospho-Ser25) Antibody #11224.
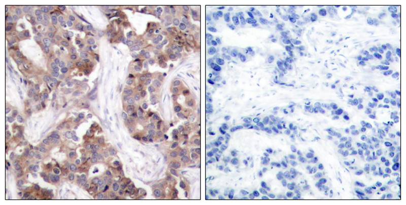
Immunohistochemical analysis of paraffin-embedded human breast carcinoma tissue using Stathmin 1(Phospho-Ser25) Antibody #11224(left) or the same antibody preincubated with blocking peptide(right).
Involved in the regulation of the microtubule (MT) filament system by destabilizing microtubules. Prevents assembly and promotes disassembly of microtubules. Phosphorylation at Ser-16 may be required for axon formation during neurogenesis. Involved in the control of the learned and innate fear

Boehm M, et al. (2002) EMBO J 21(13): 3390-3401.
Vadlamudi RK, et al. (2005) Mol Cell Biol 25(9): 3726-3736.
Zilfou JT, et al. (2001) Mol Cell Biol 21(12): 3974-3985.
Biernat J, et al. (2002) Mol Biol Cell 13(11): 4013-4028.

如果您使用该产品11224发表了文章,请通知我们,让我们可以引用您的文献。

et al,One-Pot Preparation of an Antioxidant, Anti-Inflammatory, and Analgesic Hydrogel for Oral Mucosal Lesions , (2025),
PMID: 40522041

注释

应用

  • WB免疫印迹
  • IHC免疫组化
  • IF免疫荧光
  • ICC免疫细胞化学
  • FC流式细胞
  • IP免疫沉淀
  • E酶联免疫吸附法
  • DB免疫斑点法
  • ChIP染色质免疫沉淀
  • GICA胶体金免疫层析法
  • NC阴性对照

种属反应性

  • Hu
  • Ms小鼠
  • Rt大鼠
  • Dm果蝇
  • C线虫
  • Mk
  • Rb
  • B
  • D
  • P
  • Hm仓鼠
  • ChHm中国仓鼠
  • Chk
;

联系我们

Location :

南京市高新开发区星火路10号人才大厦C座

Phone :

400-9961-933
025-58868422

Email Address

info@sabbiotech.com