免费电话:400-9961-933
邮箱:info@sabbiotech.com
欢迎光临本站
川博智能体 English
位置: 首页 > 磷酸化抗体 > IRS-1(Phospho-Ser636) Antibody

IRS-1(Phospho-Ser636) Antibody #11230

是否有货: 有货
产品详情

产品名称IRS-1(Phospho-Ser636) Antibody

来源种属Rabbit

克隆性Polyclonal

纯化Antibodies were produced by immunizing rabbits with synthetic phosphopeptide and KLH conjugates. Antibodies were purified by affinity-chromatography using epitope-specific phosphopeptide. Non-phospho specific antibodies were removed by chromatogramphy using non-phosphopeptide.

应用WB IHC

种属反应性Human;Mouse;Rat

特异性The antibody detects endogenous level of total IRS-1 protein.

免疫原类型Peptide-KLH

免疫原描述Peptide sequence around phosphorylation site of serine 636 (P-M-S(p)-P-K) derived from Human IRS-1.

基因/蛋白名称IRS-1

标记Unconjugated

别名IRS-1; IRS1;

数据库入口号Swiss-Prot: P35568
NCBI Protein: NP_005535.1

Uniprot P35568

浓度1.0mg/ml

配方Supplied at 1.0mg/mL in phosphate buffered saline (without Mg2+ and Ca2+), pH 7.4, 150mM NaCl, 0.02% sodium azide and 50% glycerol.

保存Store at -20°C for long term preservation (recommended). Store at 4°C for short term use.

应用详情
Predicted MW: 180kd
Western blotting: 1:500~1:1000
Immunohistochemistry: 1:50~1:100
Western blot analysis of extracts from 3T3 cells untreated or treated with Insulin using IRS-1(Phospho-Ser636) Antibody #11230.
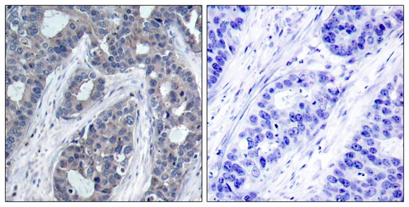
Immunohistochemical analysis of paraffin-embedded human breast carcinoma tissue using IRS-1(Phospho-Ser636) Antibody #11230(left) or the same antibody preincubated with blocking peptide(right).
May mediate the control of various cellular processes by insulin. When phosphorylated by the insulin receptor binds specifically to various cellular proteins containing SH2 domains such as phosphatidylinositol 3-kinase p85 subunit or GRB2. Activates phosphatidylinositol 3-kinase when bound to the regulatory p85 subunit

Ozes ON, et al. (2001) Proc Natl Acad Sci U S A; 98(8): 4640-4645
Tzatsos A, et al. (2006) Mol Cell Biol; 26(1): 63-76
Kadowaki T, et al. (2000) J Clin Invest; 106(4): 459-465
Ozes ON, et al. (2001) Proc Natl Acad Sci U S A; 98(8): 4640-4645
Szanto I, et al. (2000) Proc Natl Acad Sci U S A; 97(5): 2355-2360

如果您使用该产品11230发表了文章,请通知我们,让我们可以引用您的文献。

et al,The role of mitochondrial oxidative stress in the metabolic alterations in diet-induced obesity in rats. In FASEB J on 2019 Nov by Mar n-Royo G, Rodr guez C, et al..PMID:31370681 , (2019),
PMID: 31370681
et al,Metabolic inflammation exacerbates dopaminergic neuronal degeneration in response to acute MPTP challenge in type 2 diabetes mice.In Exp Neurol.On 2014 Jan by Wang L, Zhai YQ et al..PMID:24220636 , (2014),
PMID: 24220636

注释

应用

  • WB免疫印迹
  • IHC免疫组化
  • IF免疫荧光
  • ICC免疫细胞化学
  • FC流式细胞
  • IP免疫沉淀
  • E酶联免疫吸附法
  • DB免疫斑点法
  • ChIP染色质免疫沉淀
  • GICA胶体金免疫层析法
  • NC阴性对照

种属反应性

  • Hu
  • Ms小鼠
  • Rt大鼠
  • Dm果蝇
  • C线虫
  • Mk
  • Rb
  • B
  • D
  • P
  • Hm仓鼠
  • ChHm中国仓鼠
  • Chk
;

联系我们

Location :

南京市高新开发区星火路10号人才大厦C座

Phone :

400-9961-933
025-58868422

Email Address

info@sabbiotech.com