免费电话:400-9961-933
邮箱:info@sabbiotech.com
欢迎光临本站
川博智能体 English
位置: 首页 > 磷酸化抗体 > BRCA1(Phospho-Ser1423) Antibody

BRCA1(Phospho-Ser1423) Antibody #11242

是否有货: 有货
产品详情

产品名称BRCA1(Phospho-Ser1423) Antibody

来源种属Rabbit

克隆性Polyclonal

亚型IgG

纯化Antibodies were produced by immunizing rabbits with synthetic phosphopeptide and KLH conjugates. Antibodies were purified by affinity-chromatography using epitope-specific phosphopeptide. Non-phospho specific antibodies were removed by chromatogramphy using non-phosphopeptide.

应用WB IHC

种属反应性Human

特异性The antibody detects endogenous level of BRCA1 only when phosphorylated at serine 1423.

免疫原类型Peptide-KLH

免疫原描述Peptide sequence around phosphorylation site of serine 1423 (H-G-S(p)-Q-P) derived from Human BRCA1.

基因/蛋白名称BRCA1

标记Unconjugated

别名RNF53

数据库入口号Swiss-Prot: P38398
NCBI Protein: NP_009225.1

Uniprot P38398

浓度1.0mg/ml

配方Supplied at 1.0mg/mL in phosphate buffered saline (without Mg2+ and Ca2+), pH 7.4, 150mM NaCl, 0.02% sodium azide and 50% glycerol.

保存Store at -20°C for long term preservation (recommended). Store at 4°C for short term use.

应用详情
Predicted MW: 220kd
Western blotting: 1:500~1:1000
Immunohistochemistry: 1:50~1:100
Western blot analysis of extracts from HT29 cells untreated or treated with Anisomycin using BRCA1(Phospho-Ser1423) Antibody #11242.
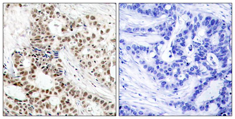
Immunohistochemical analysis of paraffin-embedded human breast carcinoma tissue using BRCA1(Phospho-Ser1423) Antibody #11242(left) or the same antibody preincubated with blocking peptide(right).
The BRCA1-BARD1 heterodimer coordinates a diverse range of cellular pathways such as DNA damage repair, ubiquitination and transcriptional regulation to maintain genomic stability. Acts by mediating ubiquitin E3 ligase activity that is required for its tumor suppressor function. Plays a central role in DNA repair by facilitating cellular response to DNA repair. Required for appropriate cell cycle arrests after ionizing irradiation in both the S-phase and the G2 phase of the cell cycle. Involved in transcriptional regulation of P21 in response to DNA damage. Required for FANCD2 targeting to sites of DNA damage. May function as a transcriptional regulator. Inhibits lipid synthesis by binding to inactive phosphorylated ACACA and preventing its dephosphorylation

Kim ST, et al. (2002) Genes Dev; 16(5): 560-570
Arlt MF, et al. (2004) Mol Cell Biol; 24(15): 6701-6709
Zhang J, et al. (2004) Mol Cell Biol; 24(2): 708-718
Greenberg RA, et al. (2006) Genes Dev; 20(1): 34-46
Tibbetts RS, et al. (2000) Genes Dev; 14(23): 2989-3002

如果您使用该产品11242发表了文章,请通知我们,让我们可以引用您的文献。

et al,sIL-11 exacerbates cisplatin-induced acute kidney injury by facilitating apoptosis in renal tubular epithelial cells via ERK1/2-Drp1/TFEB-mediated defective autophagy , (2025),
PMID: 41115562

注释

应用

  • WB免疫印迹
  • IHC免疫组化
  • IF免疫荧光
  • ICC免疫细胞化学
  • FC流式细胞
  • IP免疫沉淀
  • E酶联免疫吸附法
  • DB免疫斑点法
  • ChIP染色质免疫沉淀
  • GICA胶体金免疫层析法
  • NC阴性对照

种属反应性

  • Hu
  • Ms小鼠
  • Rt大鼠
  • Dm果蝇
  • C线虫
  • Mk
  • Rb
  • B
  • D
  • P
  • Hm仓鼠
  • ChHm中国仓鼠
  • Chk
;

联系我们

Location :

南京市高新开发区星火路10号人才大厦C座

Phone :

400-9961-933
025-58868422

Email Address

info@sabbiotech.com