免费电话:400-9961-933
邮箱:info@sabbiotech.com
欢迎光临本站
川博智能体 English
位置: 首页 > 磷酸化抗体 > p44/42 MAP Kinase(Phospho-Thr202) Antibody

p44/42 MAP Kinase(Phospho-Thr202) Antibody #11245

是否有货: 有货
产品详情

产品名称p44/42 MAP Kinase(Phospho-Thr202) Antibody

来源种属Rabbit

克隆性Polyclonal

纯化Antibodies were produced by immunizing rabbits with synthetic phosphopeptide and KLH conjugates. Antibodies were purified by affinity-chromatography using epitope-specific phosphopeptide. Non-phospho specific antibodies were removed by chromatogramphy using non-phosphopeptide.

应用WB IHC IF

种属反应性Human;Mouse;Rat

特异性The antibody detects endogenous level of p44/42 MAP Kinase only when phosphorylated at threonine 202.

免疫原类型Peptide-KLH

免疫原描述Peptide sequence around phosphorylation site of threonine 202 (F-L-T(p)-E-Y) derived from Human p44/42 MAP Kinase.

基因/蛋白名称p44/42 MAP Kinase

标记Unconjugated

别名ERK; ERT2; Extracellular signal- regulated kinase 1; Insulin-stimulated MAP2 kinase; MAP kinase 1

数据库入口号Swiss-Prot: P27361
NCBI Protein: NP_001035145.1

Uniprot P27361

浓度1.0mg/ml

配方Supplied at 1.0mg/mL in phosphate buffered saline (without Mg2+ and Ca2+), pH 7.4, 150mM NaCl, 0.02% sodium azide and 50% glycerol.

保存Store at -20°C for long term preservation (recommended). Store at 4°C for short term use.

应用详情

Predicted MW: 42 44 kd
Western blotting: 1:500~1:1000
Immunohistochemistry: 1:50~1:100
Immunofluorescence: 1:100~1:200

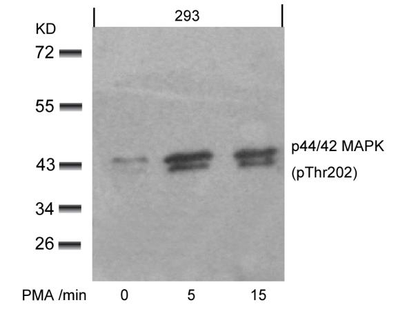
Western blot analysis of extracts from 293 cells untreated or treated with PMA for the indicated times, using p44/42 MAP Kinase(Phospho-Thr202) Antibody #11245.
Immunohistochemical analysis of paraffin-embedded human breast carcinoma tissue using p44/42 MAP Kinase (Phospho-Thr202) Antibody #11245 (left) or the same antibody preincubated with blocking peptide #51245 (right).
Immunofluorescence staining of methanol-fixed Hela cells showing cytoplasmic, nuclear staining using p44/42 MAP Kinase (Phospho-Thr202) Antibody #11245.

Involved in both the initiation and regulation of meiosis, mitosis, and postmitotic functions in differentiated cells by phosphorylating a number of transcription factors such as ELK-1. Phosphorylates EIF4EBP1; required for initiation of translation. Phosphorylates microtubule-associated protein 2 (MAP2). Phosphorylates SPZ1

TETE HANNKEN, et al. (2000) Am Soc Nephrol 11:1387-1397
Omar D. PerezNature et al. (2002) Biotechnology 20: 155 - 162
Jingui Yu, et al. (2005) Anesth Analg 101: 315-321
Hironobu Ihn et al.(2000) Immunology 165: 2149-2155
 

如果您使用该产品11245发表了文章,请通知我们,让我们可以引用您的文献。

et al,Phos-tag SDS-PAGE Systems for Phosphorylation Profiling of Proteins With a Wide Range of Molecular Masses Under Neutral pH Conditions. In Proteomics on 2012 Jan by Eiji Kinoshita, Emiko Kinoshita-Kikuta, et al..PMID: 22121028 , (2012),
PMID: 22121028
et al,MWCNTs induce ROS generation, ERK phosphorylation, and SOD-2 expression in human mesothelial cells.In Int J Toxicol on Jan-Feb 2016 by Min Yu, Riping Chen et al ..PMID: 26111538 , (2016),
PMID: 26111538
et al,Apoptosis-inducing activity of synthetic hydrocarbon-stapled peptides in H358 cancer cells expressing KRASG12C. In Acta Pharm Sin B on 2021 Sep by Cuicui Li, Ni Zhao,et al..PMID:34589388 , (2021),
PMID: 34589388

注释

应用

  • WB免疫印迹
  • IHC免疫组化
  • IF免疫荧光
  • ICC免疫细胞化学
  • FC流式细胞
  • IP免疫沉淀
  • E酶联免疫吸附法
  • DB免疫斑点法
  • ChIP染色质免疫沉淀
  • GICA胶体金免疫层析法
  • NC阴性对照

种属反应性

  • Hu
  • Ms小鼠
  • Rt大鼠
  • Dm果蝇
  • C线虫
  • Mk
  • Rb
  • B
  • D
  • P
  • Hm仓鼠
  • ChHm中国仓鼠
  • Chk
;

联系我们

Location :

南京市高新开发区星火路10号人才大厦C座

Phone :

400-9961-933
025-58868422

Email Address

info@sabbiotech.com