免费电话:400-9961-933
邮箱:info@sabbiotech.com
欢迎光临本站
川博智能体 English
位置: 首页 > 磷酸化抗体 > P38 MAPK(Phospho-Thr180) Antibody

P38 MAPK(Phospho-Thr180) Antibody #11252

是否有货: 有货
产品详情

产品名称P38 MAPK(Phospho-Thr180) Antibody

来源种属Rabbit

克隆性Polyclonal

纯化Antibodies were produced by immunizing rabbits with synthetic phosphopeptide and KLH conjugates. Antibodies were purified by affinity-chromatography using epitope-specific phosphopeptide. Non-phospho specific antibodies were removed by chromatogramphy using non-phosphopeptide.

应用WB IHC

种属反应性Human;Mouse;Rat

特异性The antibody detects endogenous level of P38 MAPK only when phosphorylated at Threonine 180.

免疫原类型Peptide-KLH

免疫原描述Peptide sequence around phosphorylation site of threonine 180 (E-M-T(p)-G-Y ) derived from Human P38MAPK.

基因/蛋白名称P38 MAPK

标记Unconjugated

别名MAPK2; MAPKAPK-2; MAPKAPK2

数据库入口号Swiss-Prot: Q16539
NCBI Protein: NP _001306.1

Uniprot Q16539

浓度1.0mg/ml

配方Supplied at 1.0mg/mL in phosphate buffered saline (without Mg2+ and Ca2+), pH 7.4, 150mM NaCl, 0.02% sodium azide and 50% glycerol.

保存Store at -20°C for long term preservation (recommended). Store at 4°C for short term use.

应用详情

Predicted MW: 43kd
Western blotting: 1:500~1:1000
Immunohistochemistry: 1:50~1:100

Western blot analysis of extracts from HT29 cells untreated or treated with UV using P38 MAPK(Phospho-Thr180) Antibody #11252.
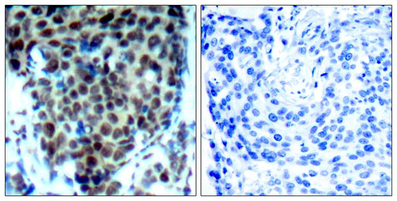
Immunohistochemical analysis of paraffin-embedded human breast carcinoma tissue using P38 MAPK(Phospho-Thr180) Antibody #11252(left) or the same antibody preincubated with blocking peptide(right).
Western blot analysis of extracts from HL60 cells, treated with TNFa or calf intestinal phosphatase (CIP), using P38 MAPK (Phospho-Thr180) Antibody #11252.

Responds to activation by environmental stress, pro-inflammatory cytokines and lipopolysaccharide (LPS) by phosphorylating a number of transcription factors, such as ELK1 and ATF2 and several downstream kinases, such as MAPKAPK2 and MAPKAPK5. Plays a critical role in the production of some cytokines, for example IL-6. May play a role in stabilization of EPO mRNA during hypoxic stress. Isoform Mxi2 activation is stimulated by mitogens and oxidative stress and only poorly phosphorylates ELK1 and ATF2. Isoform Exip may play a role in the early onset of apoptosis.

Kim JE, et al. (2005) J Proteome Res Jul-Aug; 4(4): 1339-1346
Meng F, et al. (2005) Am J Physiol Cell Physiol May 25
Jin ZH, et al. (2005)Oncogene Mar 17; 24(12): 1973-1981

如果您使用该产品11252发表了文章,请通知我们,让我们可以引用您的文献。

et al,Lidocaine Attenuates Proinflammatory Cytokine Production Induced by Extracellular Adenosine Triphosphate in Cultured Rat Microglia. , (2010),
PMID: 20686009
et al,A solute carrier family 22 member 3 variant rs3088442 G锟?A associated with coronary heart disease inhibits lipopolysaccharide-induced inflammatory response. In J Biol Chem on 2015 Feb 27 by Lu Li, Meian He,et al..PMID:25561729 , (2015),
PMID: 25561729
et al,Nephrotoxicity induced by cisplatin is primarily due to the activation of the 5-hydroxytryptamine degradation system in proximal renal tubules , (2021),
PMID:

注释

应用

  • WB免疫印迹
  • IHC免疫组化
  • IF免疫荧光
  • ICC免疫细胞化学
  • FC流式细胞
  • IP免疫沉淀
  • E酶联免疫吸附法
  • DB免疫斑点法
  • ChIP染色质免疫沉淀
  • GICA胶体金免疫层析法
  • NC阴性对照

种属反应性

  • Hu
  • Ms小鼠
  • Rt大鼠
  • Dm果蝇
  • C线虫
  • Mk
  • Rb
  • B
  • D
  • P
  • Hm仓鼠
  • ChHm中国仓鼠
  • Chk
;

联系我们

Location :

南京市高新开发区星火路10号人才大厦C座

Phone :

400-9961-933
025-58868422

Email Address

info@sabbiotech.com