免费电话:400-9961-933
邮箱:info@sabbiotech.com
欢迎光临本站
川博智能体 English
位置: 首页 > 磷酸化抗体 > CREB(Phospho-Ser129) Antibody

CREB(Phospho-Ser129) Antibody #11273

是否有货: 有货
产品详情

产品名称CREB(Phospho-Ser129) Antibody

来源种属Rabbit

克隆性Polyclonal

纯化Antibodies were produced by immunizing rabbits with synthetic phosphopeptide and KLH conjugates. Antibodies were purified by affinity-chromatography using epitope-specific phosphopeptide. Non-phospho specific antibodies were removed by chromatogramphy using non-phosphopeptide.

应用WB IHC

种属反应性Human;Mouse;Rat

特异性The antibody detects endogenous level of CREB only when phosphorylated at serine 129.

免疫原类型Peptide-KLH

免疫原描述Peptide sequence around phosphorylation site of serine 129 (I-L-S(p)-R-R) derived from Human CREB.

基因/蛋白名称CREB

标记Unconjugated

别名CREB-1; CREB1;

数据库入口号Swiss-Prot: P16220
NCBI Protein: NP _004370.1

Uniprot P16220

浓度1.0mg/ml

配方Supplied at 1.0mg/mL in phosphate buffered saline (without Mg2+ and Ca2+), pH 7.4, 150mM NaCl, 0.02% sodium azide and 50% glycerol.

保存Store at -20°C for long term preservation (recommended). Store at 4°C for short term use.

应用详情
Predicted MW: 43kd
Western blotting: 1:500~1:1000
Immunohistochemistry: 1:50~1:100
Western blot analysis of extracts from 293 cells untreated(lane 1) or treated with UV(lane 2) using CREB(Phospho-Ser129) Antibody #11273.
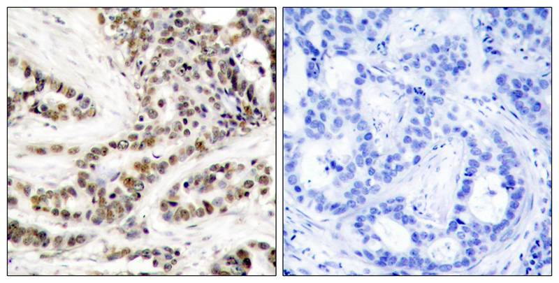
Immunohistochemical analysis of paraffin-embedded human breast carcinoma tissue using CREB(Phospho-Ser129) Antibody #11273(left) or the same antibody preincubated with blocking peptide(right).
This protein binds the cAMP response element (CRE), a sequence present in many viral and cellular promoters. CREB stimulates transcription on binding to the CRE. Transcription activation is enhanced by the TORC coactivators which act independently of Ser-133 phosphorylation. Implicated in synchronization of circadian rhythmicity.

Chrystelle V. Garat, et al. (2006) Mol. Cell. Biol ; 26: 4934 - 4948.
Lilah Rothem,et al. (2004) Mol. Pharmacol ; 66: 1536 - 1543.
Darren R. Tyson, et,al. (2002) Endocrinology; 143: 674.
Kyung-Woo Park, et al. (2003) Arterioscler. Thromb. Vasc. Biol ; 23: 1364.

如果您使用该产品11273发表了文章,请通知我们,让我们可以引用您的文献。

et al,IcariIn reduces high glucose?Induced endothelial progenitor cell dysfunction via InhibitIng the p38/CREB pathway and activatIng the Akt/eNOS/NO pathway. In Exp Ther Med on 2019 Dec by Chen S, Wang Z, et al..PMID:31772646 , (2019),
PMID: 31772646
et al,Small Molecule Inhibitors Targeting Gα i 2 Protein Attenuate Migration of Cancer Cells. In Cancers (Basel) on 2020 Jun 19 by Silvia Caggia, Subhasish Tapadar, et al..PMID: 32575572 , (2020),
PMID: 32575572
et al,Up-regulation of astrocyte excitatory amino acid transporter 2 alleviates central sensitization in a rat model of chronic migraine. In J Neurochem on 2020 Nov by Xue Zhou, Jie Liang, et al..PMID:31872442 , (2020),
PMID: 31872442
et al,Saikosaponin a alleviates depressive-like behavior by regulating the BDNF-TrkB-CREB signaling pathway in a mouse model of chronic unpredictable mild stress , (2024),
PMID:

注释

应用

  • WB免疫印迹
  • IHC免疫组化
  • IF免疫荧光
  • ICC免疫细胞化学
  • FC流式细胞
  • IP免疫沉淀
  • E酶联免疫吸附法
  • DB免疫斑点法
  • ChIP染色质免疫沉淀
  • GICA胶体金免疫层析法
  • NC阴性对照

种属反应性

  • Hu
  • Ms小鼠
  • Rt大鼠
  • Dm果蝇
  • C线虫
  • Mk
  • Rb
  • B
  • D
  • P
  • Hm仓鼠
  • ChHm中国仓鼠
  • Chk
;

联系我们

Location :

南京市高新开发区星火路10号人才大厦C座

Phone :

400-9961-933
025-58868422

Email Address

info@sabbiotech.com