免费电话:400-9961-933
邮箱:info@sabbiotech.com
欢迎光临本站
川博智能体 English
位置: 首页 > 磷酸化抗体 > p70 S6 Kinase(Phospho-Ser424) Antibody

p70 S6 Kinase(Phospho-Ser424) Antibody #11284

是否有货: 有货
产品详情

产品名称p70 S6 Kinase(Phospho-Ser424) Antibody

来源种属Rabbit

克隆性Polyclonal

亚型IgG

纯化Antibodies were produced by immunizing rabbits with synthetic phosphopeptide and KLH conjugates. Antibodies were purified by affinity-chromatography using epitope-specific phosphopeptide. Non-phospho specific antibodies were removed by chromatogramphy using non-phosphopeptide.

应用WB IHC IF

种属反应性Human;Mouse;Rat

特异性The antibody detects endogenous level of p70 S6 Kinase only when phosphorylated at serine 424.

免疫原类型Peptide-KLH

免疫原描述Peptide sequence around phosphorylation site of serine 424 (P-V-S(p)-P-V) derived from Human p70 S6 Kinase.

基因/蛋白名称p70 S6 Kinase

标记Unconjugated

别名KS6B1; P70-S6K; RPS6KB1; S6K;

数据库入口号Swiss-Prot: P23443
NCBI Protein: NP_003152.1

Uniprot P23443

浓度1.0mg/ml

配方Supplied at 1.0mg/mL in phosphate buffered saline (without Mg2+ and Ca2+), pH 7.4, 150mM NaCl, 0.02% sodium azide and 50% glycerol.

保存Store at -20°C for long term preservation (recommended). Store at 4°C for short term use.

应用详情
Predicted MW: 70 85 kd
Western blotting: 1:500~1:1000
Immunohistochemistry: 1:50~1:100
Immunofluorescence: 1:100~1:200
Western blot analysis of extracts from MCF cells untreated or treated with EGF using p70 S6 Kinase(Phospho-Ser424) Antibody #11284.
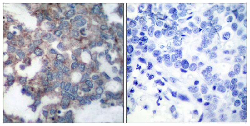
Immunohistochemical analysis of paraffin-embedded human breast carcinoma tissue using p70 S6 Kinase(Phospho-Ser424) Antibody #11284(left) or the same antibody preincubated with blocking peptide(right).
Immunofluorescence staining of methanol-fixed Hela cells showing cytoplasmic, centrosomal and nuclear staining using p70 S6 Kinase(Phospho-Ser424) Antibody #11284.
Phosphorylates specifically ribosomal protein S6 in response to insulin or several classes of mitogens. Promotes protein synthesis by phosphorylating PDCD4 at 'Ser-67' and targeting it for degradation.

Satoru Eguchi et al. (1999) J Biol Chem, Vol. 274: 36843-36851
Papst PJ, et al. (1998) J Biol Chem. 273(24):15077-84.
Ulrike Krause et al. (2002) Eur. J. Biochem. 269: 3751-3759 c
Le, X.F, et al. (2003) Oncogene 22: 484

如果您使用该产品11284发表了文章,请通知我们,让我们可以引用您的文献。

et al,Activation of mammalian target of rapamycin pathway confers adverse outcome in nonsmall cell lung carcinoma锟?In Cancer on 2011 Aug 15 by Dan Liu, Yi Huang, et al..PMID:21387259 , (2011),
PMID: 21387259
et al,Dauricine Inhibits Insulin-Like Growth factor-I-induced Hypoxia Inducible Factor 1alpha Protein Accumulation and Vascular Endothelial Growth Factor Expression in Human Breast Cancer Cells.In Acta Pharmacol Sin on 2009 May by Xu-dong Tang , Xin Zhou,et al..PMID:19349962 , (2009),
PMID: 19349962
et al,Inhibition of mTOR signaling protects photoreceptor cells against serum deprivation by reducing oxidative stress and inducing G2/M cell cycle arrest.In Mol Med Rep on 2016 May by Bin Fan , Fu-Qaing Li et al..PMID: 27035647 , (2016),
PMID: 27035647
et al,Predictive role of SLC1A5 in neuroblastoma prognosis and immunotherapy. , (2025),
PMID: 39875895

注释

应用

  • WB免疫印迹
  • IHC免疫组化
  • IF免疫荧光
  • ICC免疫细胞化学
  • FC流式细胞
  • IP免疫沉淀
  • E酶联免疫吸附法
  • DB免疫斑点法
  • ChIP染色质免疫沉淀
  • GICA胶体金免疫层析法
  • NC阴性对照

种属反应性

  • Hu
  • Ms小鼠
  • Rt大鼠
  • Dm果蝇
  • C线虫
  • Mk
  • Rb
  • B
  • D
  • P
  • Hm仓鼠
  • ChHm中国仓鼠
  • Chk
;

联系我们

Location :

南京市高新开发区星火路10号人才大厦C座

Phone :

400-9961-933
025-58868422

Email Address

info@sabbiotech.com