免费电话:400-9961-933
邮箱:info@sabbiotech.com
欢迎光临本站
川博智能体 English
位置: 首页 > 磷酸化抗体 > BIM(Phospho-Ser69) Antibody

BIM(Phospho-Ser69) Antibody #11288

是否有货: 有货
产品详情

产品名称BIM(Phospho-Ser69) Antibody

来源种属Rabbit

克隆性Polyclonal

纯化Antibodies were produced by immunizing rabbits with synthetic phosphopeptide and KLH conjugates. Antibodies were purified by affinity-chromatography using epitope-specific phosphopeptide. Non-phospho specific antibodies were removed by chromatogramphy using non-phosphopeptide.

应用IHC IF

种属反应性Human;Mouse;Rat

特异性The antibody detects endogenous level of BIM only when phosphorylated at serine 69.

免疫原类型Peptide-KLH

免疫原描述Peptide sequence around phosphorylation site of serine 69 (P-A-S(p)-P-G) derived from Human BIM.

基因/蛋白名称BIM

标记Unconjugated

别名BCL2-like protein 11; BCL2L11; BOD; Bcl-2 related ovarian death protein;

数据库入口号Swiss-Prot: O43521
NCBI Protein: NP_006529.1

Uniprot O43521

浓度1.0mg/ml

配方Supplied at 1.0mg/mL in phosphate buffered saline (without Mg2+ and Ca2+), pH 7.4, 150mM NaCl, 0.02% sodium azide and 50% glycerol.

保存Store at -20°C for long term preservation (recommended). Store at 4°C for short term use.

应用详情
Predicted MW: 23kd
Immunohistochemistry: 1:50~1:100
Immunofluorescence: 1:100~1:200
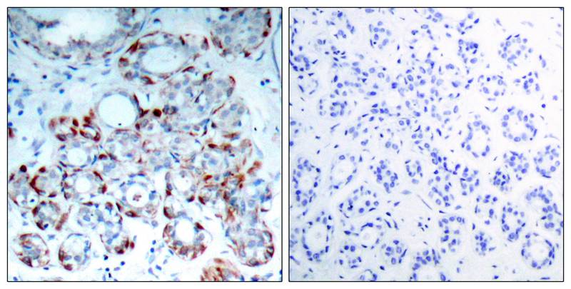
Immunohistochemical analysis of paraffin-embedded human breast carcinoma tissue using BIM(Phospho-Ser69) Antibody #11288(left) or the same antibody preincubated with blocking peptide(right).
Immunofluorescence staining of methanol-fixed Hela cells using BIM(Phospho-Ser69) Antibody #11288.
Induces apoptosis. Isoform BimL is more potent than isoform BimEL. Isoform Bim-a1, isoform Bim-a2 and isoform Bim-a3 induce apoptosis, although less potent than the isoforms BimEL, BimL and BimS. Isoform Bim-gamma induces apoptosis

Fukazawa H, et al. (2004) Mol Cancer Ther ; 3(10): 1281-1288
Luciano F, et al. (2003) Oncogene ; 22(43): 6785-6793

如果您使用该产品11288发表了文章,请通知我们,让我们可以引用您的文献。

et al,miR-137 and miR-197 induce apoptosis and suppress tumorigenicity by targeting MCL-1 in multiple myeloma.In Clin Cancer Res on 2015 May 15 by Yijun Yang , Fei Li et al..PMID:25724519 , (2015),
PMID: 25724519

注释

应用

  • WB免疫印迹
  • IHC免疫组化
  • IF免疫荧光
  • ICC免疫细胞化学
  • FC流式细胞
  • IP免疫沉淀
  • E酶联免疫吸附法
  • DB免疫斑点法
  • ChIP染色质免疫沉淀
  • GICA胶体金免疫层析法
  • NC阴性对照

种属反应性

  • Hu
  • Ms小鼠
  • Rt大鼠
  • Dm果蝇
  • C线虫
  • Mk
  • Rb
  • B
  • D
  • P
  • Hm仓鼠
  • ChHm中国仓鼠
  • Chk
;

联系我们

Location :

南京市高新开发区星火路10号人才大厦C座

Phone :

400-9961-933
025-58868422

Email Address

info@sabbiotech.com