免费电话:400-9961-933
邮箱:info@sabbiotech.com
欢迎光临本站
川博智能体 English
位置: 首页 > 磷酸化抗体 > PKCd(Phospho-Ser645) Antibody

PKCd(Phospho-Ser645) Antibody #11296

是否有货: 有货
产品详情

产品名称PKCd(Phospho-Ser645) Antibody

来源种属Rabbit

克隆性Polyclonal

纯化Antibodies were produced by immunizing rabbits with synthetic phosphopeptide and KLH conjugates. Antibodies were purified by affinity-chromatography using epitope-specific phosphopeptide. Non-phospho specific antibodies were removed by chromatogramphy using non-phosphopeptide.

应用WB IHC

种属反应性Human;Rat

特异性The antibody detects endogenous level of PKCd only when phosphorylated at serine 645.

免疫原类型Peptide-KLH

免疫原描述Peptide sequence around phosphorylation site of serine 645 (R-L-S(p)-Y-S) derived from Human PKCd.

基因/蛋白名称PKCd

标记Unconjugated

别名KPCD; PKC-delta; PRKCD; kinase PKC-delta; nPKC-delta

数据库入口号Swiss-Prot: Q05655
NCBI Protein: NP_006245.2

Uniprot Q05655

浓度1.0mg/ml

配方Supplied at 1.0mg/mL in phosphate buffered saline (without Mg2+ and Ca2+), pH 7.4, 150mM NaCl, 0.02% sodium azide and 50% glycerol.

保存Store at -20°C for long term preservation (recommended). Store at 4°C for short term use.

应用详情
Predicted MW: 78kd
Western blotting: 1:500~1:1000
Immunohistochemistry: 1:50~1:100
Western blot analysis of extracts from PC12 cells untreated or treated with PMA using PKCd(Phospho-Ser645) Antibody #11296.
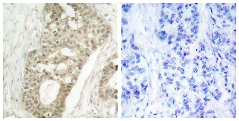
Immunohistochemical analysis of paraffin-embedded human breast carcinoma tissue using PKCd(Phospho-Ser645) Antibody #11296(left) or the same antibody preincubated with blocking peptide(right).
This is calcium-independent, phospholipid-dependent, serine- and threonine-specific enzyme. PKC is activated by diacylglycerol which in turn phosphorylates a range of cellular proteins. PKC also serves as the receptor for phorbol esters, a class of tumor promoters. May play a role in antigen-dependent control of B-cell function. Phosphorylates MUC1 in the C-terminal and regulates the interaction between MUC1 and beta-catenin.

Kei Sakamoto, et,al. (2003) Am J Physiol Endocrinol Metab ; 285: E1081 - E1088.
Ling Zhang, et,al. (2004) J. Biol. Chem ; 279: 28315 - 28319.
Kristof Van Kolen et,al. (2006) FEBS J ; 273: 1843 - 1854.
Martin Villalba, et,al. (2002) J. Cell Biol ; 157: 253.

如果您使用该产品11296发表了文章,请通知我们,让我们可以引用您的文献。

et al,Protein kinase C mRNA and protein expressions in hypobaric hypoxia-induced cardiac hypertrophy in rats. , (2010),
PMID: 19995357
et al,Protein kinase C mRNA and protein expressions in hypobaric hypoxia鈥恑nduced cardiac hypertrophy in rats.In Acta Physiol (Oxf) on 2010 Apr by M Uenoyama, S Ogata,et al..PMID:19995357 , (2010),
PMID: 19995357
et al,PKC 胃-Mediated Ca 2+/NF-AT Signalling Pathway May Be Involved in T-cell Immunosuppression in Coal-Burning Arsenic-Poisoned Population.In Environ Toxicol Pharmacol on 2017 Oct by Qibing Zeng , Peng Luo,et al..PMID: 28823652 , (2017),
PMID: 28823652

注释

应用

  • WB免疫印迹
  • IHC免疫组化
  • IF免疫荧光
  • ICC免疫细胞化学
  • FC流式细胞
  • IP免疫沉淀
  • E酶联免疫吸附法
  • DB免疫斑点法
  • ChIP染色质免疫沉淀
  • GICA胶体金免疫层析法
  • NC阴性对照

种属反应性

  • Hu
  • Ms小鼠
  • Rt大鼠
  • Dm果蝇
  • C线虫
  • Mk
  • Rb
  • B
  • D
  • P
  • Hm仓鼠
  • ChHm中国仓鼠
  • Chk
;

联系我们

Location :

南京市高新开发区星火路10号人才大厦C座

Phone :

400-9961-933
025-58868422

Email Address

info@sabbiotech.com