免费电话:400-9961-933
邮箱:info@sabbiotech.com
欢迎光临本站
川博智能体 English
位置: 首页 > 磷酸化抗体 > GSK3α/β(Phospho-Tyr279/216) Antibody

GSK3α/β(Phospho-Tyr279/216) Antibody #11301

是否有货: 有货
产品详情

产品名称GSK3α/β(Phospho-Tyr279/216) Antibody

来源种属Rabbit

克隆性Polyclonal

纯化Antibodies were produced by immunizing rabbits with synthetic phosphopeptide and KLH conjugates. Antibodies were purified by affinity-chromatography using epitope-specific phosphopeptide. Non-phospho specific antibodies were removed by chromatogramphy using non-phosphopeptide.

应用IF,WB,IHC,ELISA

种属反应性Human;Mouse;Rat

特异性The antibody detects endogenous level of GSK3α/β only when phosphorylated at tyrosine 279/216.

免疫原类型Peptide-KLH

免疫原描述Peptide sequence around phosphorylation site of tyrosine 279/216 (V-S-Y(p)-I-C) derived from Human GSK3α/β.

基因/蛋白名称GSK3α/β

标记Unconjugated

别名Factor A; GSK-3 alpha/beta; kinase GSK3-alpha/beta

数据库入口号Swiss-Prot: P49840/P49841
NCBI Protein: NP_063937.2/NP_001139628.1

Uniprot P49840

浓度1.0mg/ml

配方Supplied at 1.0mg/mL in phosphate buffered saline (without Mg2+ and Ca2+), pH 7.4, 150mM NaCl, 0.02% sodium azide and 50% glycerol.

保存Store at -20°C for long term preservation (recommended). Store at 4°C for short term use.

应用详情

Predicted MW: 46, 51kd
Western blotting: 1:500~1:1000
Immunohistochemistry: 1:50~1:100
Immunofluorescence: 1:100~1:200

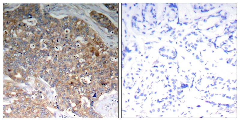
Immunohistochemical analysis of paraffin-embedded human breast carcinoma tissue using GSK3α/β(Phospho-Tyr279/216) Antibody #11301 (left) or the same antibody preincubated with blocking peptide #51301 (right).
Immunofluorescence staining of methanol-fixed Hela cells using GSK3α/β(Phospho-Tyr279/216) Antibody #11301.
Western blot analysis of extracts from 293 cells untreated or treated with PMA using GSK3α/β(Phospho-Tyr279/216) Antibody #11301.
Immunofluorescence staining of methanol-fixed MEF cells using GSK3α/β(Phospho-Tyr279/216) Antibody #11301.

Participates in the Wnt signaling pathway. Implicated in the hormonal control of several regulatory proteins including glycogen synthase, MYB and the transcription factor JUN. Phosphorylates JUN at sites proximal to its DNA-binding domain, thereby reducing its affinity for DNA. Phosphorylates MUC1 in breast cancer cells, and decreases the interaction of MUC1 with CTNNB1/beta-catenin. Phosphorylates CTNNB1/beta-catenin.

Chin PC, et al. Brain Res Mol Brain Res 2005 Jun 13; 137(1-2): 193-201
Takahashi-Yanaga F, et al. Biochem Biophys Res Commun 2004 Apr 02; 316(2): 411-415
Fan G, et al. J Biol Chem 2003 Dec 26; 278(52): 52432-52436
Liao X, et al. Mol Cancer Ther 2003 Nov; 2(11): 1215-1222

如果您使用该产品11301发表了文章,请通知我们,让我们可以引用您的文献。

et al,Association of cellular localization of glycogen synthase kinase 3beta in the digestive tract with cancer development. , (2009),
PMID: 19639192
et al,Amelioration of neurodegenerative changes in cellular and rat models of diabetes-related Alzheimer隆炉s disease by exendin-4 , (2012),
PMID: 21901364
et al,Amelioration of neurodegenerative changes in cellular and rat models of diabetes-related Alzheimer's disease by exendin-4. In Age (Dordr) on 2012 Oct by Song Chen, Ai-ran Liu, et al..PMID:21901364 , (2012),
PMID: 21901364
et al,Phosphoproteome analysis reveals an important role for glycogen synthase kinase-3 in perfluorododecanoic acid-induced rat liver toxicity. In Toxicol Lett on 2013 Mar 27 by Hongxia Zhang, Junjie Hou, et al..PMID: 23353032 , (2013),
PMID: 23353032
et al,Activation of GSK3尾 by Sirt2 is required for early lineage commitment of mouse embryonic stem cell. In PLoS One on 2013 Oct 18 by Xiaoxing Si, Wen Chen, et al..PMID: 24204656 , (2013),
PMID: 24204656
et al,Herpes Simplex Virus type-1 infection induces synaptic dysfunction in cultured cortical neurons via GSK-3 activation and intraneuronal amyloid-尾 protein accumulation.In Sci Rep on 2015 Oct 21 by Roberto Piacentini, Domenica Donatella Li Puma et al ..PMID:26487282 , (2015),
PMID: 26487282
et al,Ca2+-dependent release of ATP from astrocytes affects herpes simplex virus type 1 infection of neurons. In Glia on 2021 Jan by Domenica Donatella Li Puma, Maria Elena Marcocci,et al..PMID:32818313 , (2021),
PMID: 32818313

注释

应用

  • WB免疫印迹
  • IHC免疫组化
  • IF免疫荧光
  • ICC免疫细胞化学
  • FC流式细胞
  • IP免疫沉淀
  • E酶联免疫吸附法
  • DB免疫斑点法
  • ChIP染色质免疫沉淀
  • GICA胶体金免疫层析法
  • NC阴性对照

种属反应性

  • Hu
  • Ms小鼠
  • Rt大鼠
  • Dm果蝇
  • C线虫
  • Mk
  • Rb
  • B
  • D
  • P
  • Hm仓鼠
  • ChHm中国仓鼠
  • Chk
;

联系我们

Location :

南京市高新开发区星火路10号人才大厦C座

Phone :

400-9961-933
025-58868422

Email Address

info@sabbiotech.com