免费电话:400-9961-933
邮箱:info@sabbiotech.com
欢迎光临本站
川博智能体 English
位置: 首页 > 磷酸化抗体 > SHP-2(Phospho-Tyr542) Antibody

SHP-2(Phospho-Tyr542) Antibody #11319

是否有货: 有货
产品详情

产品名称SHP-2(Phospho-Tyr542) Antibody

来源种属Rabbit

克隆性Polyclonal

纯化Antibodies were produced by immunizing rabbits with synthetic phosphopeptide and KLH conjugates. Antibodies were purified by affinity-chromatography using epitope-specific phosphopeptide. Non-phospho specific antibodies were removed by chromatogramphy using non-phosphopeptide.

应用WB IHC

种属反应性Human;Mouse;Rat

特异性The antibody detects endogenous level of SHP-2 only when phosphorylated at tyrosine 542.

免疫原类型Peptide-KLH

免疫原描述Peptide sequence around phosphorylation site of tyrosine 542 (H-E-Y(p)-T-N) derived from Human SHP-2.

基因/蛋白名称SHP-2

标记Unconjugated

别名PTN11; PTP-1D; PTP-2C; PTP2C; PTPN11

数据库入口号Swiss-Prot: Q06124
NCBI Protein: NP_002825.3

Uniprot Q06124

浓度1.0mg/ml

配方Supplied at 1.0mg/mL in phosphate buffered saline (without Mg2+ and Ca2+), pH 7.4, 150mM NaCl, 0.02% sodium azide and 50% glycerol.

保存Store at -20°C for long term preservation (recommended). Store at 4°C for short term use.

应用详情

Predicted MW: 72kd
Western blotting: 1:500~1:1000
Immunohistochemistry: 1:50~1:100
 

Western blot analysis of extracts from 293 cells untreated or treated with starvation using SHP-2(Phospho-Tyr542) Antibody #11319.
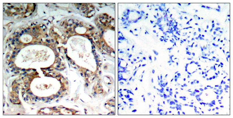
Immunohistochemical analysis of paraffin-embedded human breast carcinoma tissue using SHP-2(Phospho-Tyr542) Antibody #11319(left) or the same antibody preincubated with blocking peptide(right).

Acts downstream of various receptor and cytoplasmic protein tyrosine kinases to participate in the signal transduction from the cell surface to the nucleus.

Ferjoux G, et al. (2003) Mol Biol Cell. 2003; 14(9): 3911-3928.
Shi ZQ, et al. (2000) Mol Cell Biol. 20(5): 1526-1536.
Li C, Friedman JM. (1999) Proc Natl Acad Sci U S A ; 96(17): 9677-9682
Manes S, et al. (1999) Mol Cell Biol. 19(4): 3125-3135.
Oh ES, et al. (1999) Mol Cell Biol; 19(4): 3205-3215.
 

如果您使用该产品11319发表了文章,请通知我们,让我们可以引用您的文献。

et al,Glutamate Acting on N-Methyl-D-aspartate Receptors Attenuates Insulin-like Growth Factor-1 Receptor Tyrosine Phosphorylation and Its Survival Signaling Properties in Rat Hippocampal Neurons. In J Biol Chem 2009 Jan 9 by Wen-Hua Zheng, R茅mi Quirion锛宔t al..PMID: 18981172 , (2009),
PMID: 18981172
et al,Glutamate acting on NMDA receptors attenuates IGF-1 receptor tyrosine phosphorylation and its survival signaling properties in rat hippocampal neurons. In J Biol Chem on 2009 Jan 9 by Wen-Hua Zheng, R茅mi Quirion锟?et al..PMID:18981172 , (2009),
PMID: 18981172

注释

应用

  • WB免疫印迹
  • IHC免疫组化
  • IF免疫荧光
  • ICC免疫细胞化学
  • FC流式细胞
  • IP免疫沉淀
  • E酶联免疫吸附法
  • DB免疫斑点法
  • ChIP染色质免疫沉淀
  • GICA胶体金免疫层析法
  • NC阴性对照

种属反应性

  • Hu
  • Ms小鼠
  • Rt大鼠
  • Dm果蝇
  • C线虫
  • Mk
  • Rb
  • B
  • D
  • P
  • Hm仓鼠
  • ChHm中国仓鼠
  • Chk
;

联系我们

Location :

南京市高新开发区星火路10号人才大厦C座

Phone :

400-9961-933
025-58868422

Email Address

info@sabbiotech.com