免费电话:400-9961-933
邮箱:info@sabbiotech.com
欢迎光临本站
川博智能体 English
位置: 首页 > 磷酸化抗体 > AKT1/AKT2/AKT3(phospho-Tyr315/316/312) Antibody

AKT1/AKT2/AKT3(phospho-Tyr315/316/312) Antibody #11501

是否有货: 有货
产品详情

产品名称AKT1/AKT2/AKT3(phospho-Tyr315/316/312) Antibody

来源种属Rabbit

克隆性Polyclonal

纯化Antibodies were produced by immunizing rabbits with synthetic phosphopeptide and KLH conjugates. Antibodies were purified by affinity-chromatography using epitope-specific phosphopeptide. Non-phospho specific antibodies were removed by chromatogramphy using non-phosphopeptide.

应用WB IHC IF

种属反应性Human;Mouse;Rat

特异性The antibody detects endogenous level of AKT1/AKT2/AKT3 only when phosphorylated at tyrosine 315/316/312.

免疫原类型Peptide-KLH

免疫原描述Peptide sequence around phosphorylation site of tyrosine 315/316/312 (P-E-Y(p)-L-A) derived from Human AKT1/AKT2/AKT3.

基因/蛋白名称AKT1/AKT2/AKT3

标记Unconjugated

别名 RAC-PK-alpha; Protein kinase B;

数据库入口号Swiss-Prot: P31749 P31751 Q9Y243
NCBI Protein: NP_001014431.1 NP_001617.1 NP_005456.1

Uniprot P31749

浓度1.0mg/ml

配方Supplied at 1.0mg/mL in phosphate buffered saline (without Mg2+ and Ca2+), pH 7.4, 150mM NaCl, 0.02% sodium azide and 50% glycerol.

保存Store at -20°C for long term preservation (recommended). Store at 4°C for short term use.

应用详情

Predicted MW: 60kd
Western blotting: 1:500~1:1000
Immunohistochemistry: 1:50~1:100
Immunofluorescence: 1:100~1:200

Western blot analysis of extracts from HepG2 cells untreated or treated with EGF using AKT1/AKT2/AKT3(phospho-Tyr315/316/312) Antibody #11501.
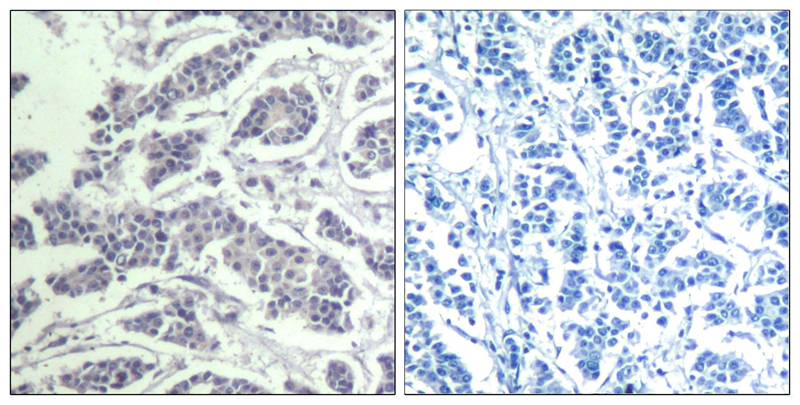
Immunohistochemical analysis of paraffin-embedded human breast carcinoma tissue using AKT1/AKT2/AKT3(Phospho-Tyr315/316/312) Antibody #11501(left) or the same antibody preincubated with blocking peptide(right).
Immunofluorescence staining of methanol-fixed Hela cells using AKT1/AKT2/AKT3(phospho-Tyr315/316/312) Antibody #11501.
Western blot analysis of extracts from 3T3 cells, treated with EGF or calf intestinal phosphatase (CIP), using AKT1/AKT2/AKT3 (phospho-Tyr315/316/312) Antibody #11501.
Western blot analysis of extracts of various cell lines, using AKT1/AKT2/AKT3(phospho-Tyr315/316/312) Antibody

General protein kinase capable of phosphorylating several known proteins. Phosphorylates TBC1D4. Signals downstream of phosphatidylinositol 3-kinase (PI3K) to mediate the effects of various growth factors such as platelet-derived growth factor (PDGF), epidermal growth factor (EGF), insulin and insulin-like growth factor I (IGF-I). Plays a role in glucose transport by mediating insulin-induced translocation of the GLUT4 glucose transporter to the cell surface. Mediates the antiapoptotic effects of IGF-I. Mediates insulin-stimulated protein synthesis by phosphorylating TSC2 at 'Ser-939' and 'Thr-1462', thereby activating mTORC1 signaling and leading to both phosphorylation of 4E-BP1 and in activation of RPS6KB1. Promotes glycogen synthesis by mediating the insulin-induced activation of glycogen synthase. /General protein kinase capable of phosphorylating several known proteins. IGF-1 leads to the activation of AKT3, which may play a role in regulating cell survival. Capable of phosphorylating several known proteins. Truncated isoform 2/PKB gamma 1 without the second serine phosphorylation site could still be stimulated but to a lesser extent.

Nelms K, et al. (1999) Annu Rev Immunol. 17:701-738.
Malabarba M G, et al. (1996) Biochem. J. 319:865-872.
Hou J, et al. (1994) Science. 265:1701-1706.
Quelle F W, et al. (1995) Mol Cell Biol. 15: 3336-3343.

如果您使用该产品11501发表了文章,请通知我们,让我们可以引用您的文献。

et al,Exosomes derived from human mesenchymal stem cells promote gastric cancer cell growth and migration via the activation of the Akt pathway.In Mol Med Rep.On 2016 Oct by Gu H, Ji R et al..PMID:27513187 , (2016),
PMID: 27513187
et al,Enhancement of anti-acne effect of Scutellaria baicalensis extract by fermentation with symbiotic fungus Penicillium decumbens. In J Biosci Bioeng on 2020 Nov by Xiaojing Zhu, Yue Mao, et al..PMID: 32747300 , (2020),
PMID: 32747300

注释

应用

  • WB免疫印迹
  • IHC免疫组化
  • IF免疫荧光
  • ICC免疫细胞化学
  • FC流式细胞
  • IP免疫沉淀
  • E酶联免疫吸附法
  • DB免疫斑点法
  • ChIP染色质免疫沉淀
  • GICA胶体金免疫层析法
  • NC阴性对照

种属反应性

  • Hu
  • Ms小鼠
  • Rt大鼠
  • Dm果蝇
  • C线虫
  • Mk
  • Rb
  • B
  • D
  • P
  • Hm仓鼠
  • ChHm中国仓鼠
  • Chk
;

联系我们

Location :

南京市高新开发区星火路10号人才大厦C座

Phone :

400-9961-933
025-58868422

Email Address

info@sabbiotech.com