免费电话:400-9961-933
邮箱:info@sabbiotech.com
欢迎光临本站
川博智能体 English
位置: 首页 > 磷酸化抗体 > eIF4B(phospho-Ser422) Antibody

eIF4B(phospho-Ser422) Antibody #11513

是否有货: 有货
产品详情

产品名称eIF4B(phospho-Ser422) Antibody

来源种属Rabbit

克隆性Polyclonal

亚型IgG

纯化Antibodies were produced by immunizing rabbits with synthetic phosphopeptide and KLH conjugates. Antibodies were purified by affinity-chromatography using epitope-specific phosphopeptide. Non-phospho specific antibodies were removed by chromatogramphy using non-phosphopeptide.

应用WB IHC

种属反应性Human;Mouse;Rat

特异性The antibody detects endogenous level of eIF4B only when phosphorylated at Serine 422.

免疫原类型Peptide-KLH

免疫原描述Peptide sequence around phosphorylation site of Serine 422 (T-G-S(p)-E-S) derived from Human eIF4B.

基因/蛋白名称eIF4B

标记Unconjugated

数据库入口号Swiss-Prot: P23588
NCBI Protein: NP_001408.2

Uniprot P23588

浓度1.0mg/ml

配方Supplied at 1.0mg/mL in phosphate buffered saline (without Mg2+ and Ca2+), pH 7.4, 150mM NaCl, 0.02% sodium azide and 50% glycerol.

保存Store at -20°C for long term preservation (recommended). Store at 4°C for short term use.

应用详情
Predicted MW: 80kd
Western blotting: 1:500~1:1000
Immunohistochemistry: 1:50~1:100
Western blot analysis of extracts from Hela cells untreated or treated with EGF using eIF4B(phospho-Ser422) Antibody #11513.
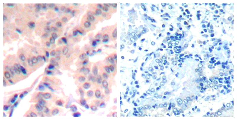
Immunohistochemical analysis of paraffin-embedded human lung carcinomatissue using eIF4B(Phospho-Ser422) Antibody #11513(left) or the same antibody preincubated with blocking peptide(right).
Required for the binding of mRNA to ribosomes. Functions in close association with EIF4-F and EIF4-A. Binds near the 5'-terminal cap of mRNA in presence of EIF-4F and ATP. Promotes the ATPase activity and the ATP-dependent RNA unwinding activity of both EIF4-A and EIF4-F.

Gingras, A.C. et al. (2001) Genes Dev. 15, 807-826.
Duncan, R. and Hershey, J.W. (1985) J. Biol. Chem. 260, 5493-5497.
Duncan, R.F. and Hershey, J.W. (1989) J. Cell Biol. 109, 1467-1481.

如果您使用该产品11513发表了文章,请通知我们,让我们可以引用您的文献。

et al,Mammalian target of rapamycin complex 1 (mTORC1) and 2 (mTORC2) control the dendritic arbor morphology of hippocampal neurons. In J Biol Chem on 2012 Aug 31 by Malgorzata Urbanska, Agata Gozdz, et al..PMID: 22810227 , (2012),
PMID: 22810227

注释

应用

  • WB免疫印迹
  • IHC免疫组化
  • IF免疫荧光
  • ICC免疫细胞化学
  • FC流式细胞
  • IP免疫沉淀
  • E酶联免疫吸附法
  • DB免疫斑点法
  • ChIP染色质免疫沉淀
  • GICA胶体金免疫层析法
  • NC阴性对照

种属反应性

  • Hu
  • Ms小鼠
  • Rt大鼠
  • Dm果蝇
  • C线虫
  • Mk
  • Rb
  • B
  • D
  • P
  • Hm仓鼠
  • ChHm中国仓鼠
  • Chk
;

联系我们

Location :

南京市高新开发区星火路10号人才大厦C座

Phone :

400-9961-933
025-58868422

Email Address

info@sabbiotech.com