免费电话:400-9961-933
邮箱:info@sabbiotech.com
欢迎光临本站
川博智能体 English
位置: 首页 > 磷酸化抗体 > Aurora A(phospho-Thr288) Antibody

Aurora A(phospho-Thr288) Antibody #11519

是否有货: 有货
产品详情

产品名称Aurora A(phospho-Thr288) Antibody

来源种属Rabbit

克隆性Polyclonal

纯化Antibodies were produced by immunizing rabbits with synthetic phosphopeptide and KLH conjugates. Antibodies were purified by affinity-chromatography using epitope-specific phosphopeptide. Non-phospho specific antibodies were removed by chromatogramphy using non-phosphopeptide.

应用WB IHC

种属反应性Human;Mouse

特异性The antibody detects endogenous level of Aurora A only when phosphorylated at threonine 288.

免疫原类型Peptide-KLH

免疫原描述Peptide sequence around phosphorylation site of threonine 288 (R-T-T(p)-L-M) derived from Human Aurora A.

基因/蛋白名称Aurora A

标记Unconjugated

别名AIK; ARK1; AURA; BTAK; STK6

数据库入口号Swiss-Prot: O14965
NCBI Protein: NP_003591.2

Uniprot O14965

浓度1.0mg/ml

配方Supplied at 1.0mg/mL in phosphate buffered saline (without Mg2+ and Ca2+), pH 7.4, 150mM NaCl, 0.02% sodium azide and 50% glycerol.

保存Store at -20°C for long term preservation (recommended). Store at 4°C for short term use.

应用详情

Predicted MW: 48kd
Immunohistochemistry: 1:50~1:100

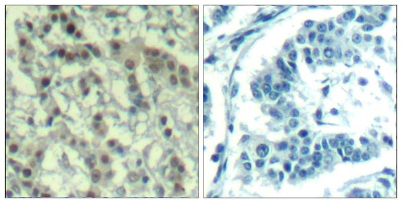
Immunohistochemical analysis of paraffin-embedded human breast carcinoma tissue using Aurora A(Phospho-Thr288) Antibody #11519(left) or the same antibody preincubated with blocking peptide(right).
Western blot analysis of extracts from HT29 cells, treated with Hydroxyurea or calf intestinal phosphatase (CIP), using Aurora A (phospho-Thr288) Antibody #11519.

Contributes to the regulation of cell cycle progression. Required for normal mitosis. Associates with the centrosome and the spindle microtubules during mitosis and functions in centrosome maturation, spindle assembly, maintenance of spindle bipolarity, centrosome separation and mitotic checkpoint control. Phosphorylates numerous target proteins, including ARHGEF2, BRCA1, KIF2A, NDEL1, PARD3, PLK1 and BORA. Regulates KIF2A tubulin depolymerase activity By similarity. Required for normal axon formation. Plays a role in microtubule remodeling during neurite extension. Important for microtubule formation and/or stabilization.

Bischoff, J.R. et al. (1998) EMBO J 17, 3052-65.
Hauf, S. et al. (2003) J Cell Biol 161, 281-94.
Walter, A.O. et al. (2000) Oncogene 19, 4906-16.
Zhou, H. et al. (1998) Nat Genet 20, 189-93.

如果您使用该产品11519发表了文章,请通知我们,让我们可以引用您的文献。

et al,PAK1 Is Involved in the Spindle Assembly during the First Meiotic Division in Porcine OocytesInInt J Mol SciOn2023 Jan 6byLei Peng?1,?Yijing He et al..PMID: 36674642 , (2023),
PMID: 36674642

注释

应用

  • WB免疫印迹
  • IHC免疫组化
  • IF免疫荧光
  • ICC免疫细胞化学
  • FC流式细胞
  • IP免疫沉淀
  • E酶联免疫吸附法
  • DB免疫斑点法
  • ChIP染色质免疫沉淀
  • GICA胶体金免疫层析法
  • NC阴性对照

种属反应性

  • Hu
  • Ms小鼠
  • Rt大鼠
  • Dm果蝇
  • C线虫
  • Mk
  • Rb
  • B
  • D
  • P
  • Hm仓鼠
  • ChHm中国仓鼠
  • Chk
;

联系我们

Location :

南京市高新开发区星火路10号人才大厦C座

Phone :

400-9961-933
025-58868422

Email Address

info@sabbiotech.com