免费电话:400-9961-933
邮箱:info@sabbiotech.com
欢迎光临本站
川博智能体 English
位置: 首页 > 磷酸化抗体 > PKA α/β CAT (Phospho-Thr197) Antibody

PKA α/β CAT (Phospho-Thr197) Antibody #11667

是否有货: 有货
产品详情

产品名称PKA α/β CAT (Phospho-Thr197) Antibody

来源种属Rabbit

克隆性Polyclonal

纯化Antibodies were produced by immunizing rabbits with synthetic phosphopeptide and KLH conjugates. Antibodies were purified by affinity-chromatography using epitope-specific phosphopeptide. Non-phospho specific antibodies were removed by chromatogramphy using non-phosphopeptide.

应用WB IHC IF

种属反应性Human;Mouse

特异性The antibody detects endogenous levels of PKA α/β CAT only when phosphorylated at threonine 197.

免疫原类型Peptide-KLH

免疫原描述Peptide sequence around phosphorylation site of threonine 197(T-W-T(p)-L-C) derived from Human PKA α/β CAT.

基因/蛋白名称PKA α/β CAT

标记Unconjugated

别名PRKACA ; PRKACB; PKACA;

数据库入口号Swiss-Prot#: P17612;
NCBI Gene#: 5566;
NCBI Protein#: NP_002721.1.

Uniprot P17612

实际分子量40kd

浓度1.0mg/ml

配方Rabbit IgG in phosphate buffered saline (without Mg2+ and Ca2+), pH 7.4, 150mM NaCl, 0.02% sodium azide and 50% glycerol.

保存Store at -20˚C/1 year

应用详情

Western blotting: 1:500~1:1000
Immunohistochemistry: 1:50~1:100
Immunofluorescence: 1:100~1:200

Western blot analysis of extracts from mouse brain cells using PKA α/β CAT (Phospho-Thr197) Antibody #11667.The lane on the right is treated with the antigen-specific peptide.
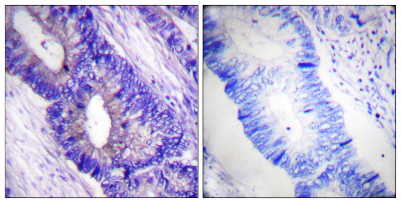
Immunohistochemical analysis of paraffin-embedded human colon carcinoma tissue using PKA α/β CAT (Phospho-Thr197) antibody #11667 (left)or the same antibody preincubated with blocking peptide (right).
Immunofluorescence staining of methanol-fixed A549 cells using PKA α/β CAT (Phospho-Thr197) Antibody #11667.

Phosphorylates a large number of substrates in the cytoplasm and the nucleus. Regulates the abundance of compartmentalized pools of its regulatory subunits through phosphorylation of PJA2 which binds and ubiquitinates these subunits, leading to their subsequent proteolysis. Phosphorylates CDC25B, ABL1, NFKB1, CLDN3, PSMC5/RPT6, PJA2, RYR2, RORA and VASP. RORA is activated by phosphorylation. Required for glucose-mediated adipogenic differentiation increase and osteogenic differentiation inhibition from osteoblasts.

Ghislaine Garrel, Endocrinology, Jun 1997; 138: 2259.
W Li, Learn. Mem., Jan 1996; 2: 320 - 333.
Sharmin Schauble, J. Biol. Chem., May 2007; 282: 14952 - 14959.
Yong G. Wang, J. Gen. Physiol., Jan 1998; 111: 113.

如果您使用该产品11667发表了文章,请通知我们,让我们可以引用您的文献。

et al,Classical prescription Daqinjiao decoction inhibit cerebral ischemia/reperfusion induced necroptosis and ferroptosis through multiple mechanisms. , (2025),
PMID: 39736347

注释

应用

  • WB免疫印迹
  • IHC免疫组化
  • IF免疫荧光
  • ICC免疫细胞化学
  • FC流式细胞
  • IP免疫沉淀
  • E酶联免疫吸附法
  • DB免疫斑点法
  • ChIP染色质免疫沉淀
  • GICA胶体金免疫层析法
  • NC阴性对照

种属反应性

  • Hu
  • Ms小鼠
  • Rt大鼠
  • Dm果蝇
  • C线虫
  • Mk
  • Rb
  • B
  • D
  • P
  • Hm仓鼠
  • ChHm中国仓鼠
  • Chk
;

联系我们

Location :

南京市高新开发区星火路10号人才大厦C座

Phone :

400-9961-933
025-58868422

Email Address

info@sabbiotech.com