免费电话:400-9961-933
邮箱:info@sabbiotech.com
欢迎光临本站
川博智能体 English
位置: 首页 > 磷酸化抗体 > PEK/PERK (Phospho-Thr982) Antibody

PEK/PERK (Phospho-Thr982) Antibody #11751

是否有货: 有货
产品详情

产品名称PEK/PERK (Phospho-Thr982) Antibody

来源种属Rabbit

克隆性Polyclonal

纯化Antibodies were produced by immunizing rabbits with synthetic phosphopeptide and KLH conjugates. Antibodies were purified by affinity-chromatography using epitope-specific phosphopeptide. Non-phospho specific antibodies were removed by chromatogramphy using non-phosphopeptide.

应用IHC

种属反应性Human

特异性The antibody detects endogenous levels of PEK/PERK only when phosphorylated at threonine 982.

免疫原类型Peptide-KLH

免疫原描述Peptide sequence around phosphorylation site of threonine 982(R-H-T(p)-G-Q) derived from Human PEK/PERK.

基因/蛋白名称PEK/PERK

标记Unconjugated

别名 E2AK3; PERK; PEK; EIF2AK3;

数据库入口号Swiss-Prot#: Q9NZJ5;
NCBI Gene#: 9451;
NCBI Protein#: NP_004827.4.

Uniprot Q9NZJ5

实际分子量125kd

浓度1.0mg/ml

配方Rabbit IgG in phosphate buffered saline (without Mg2+ and Ca2+), pH 7.4, 150mM NaCl, 0.02% sodium azide and 50% glycerol.

保存Store at -20˚C/1 year

应用详情

Immunohistochemistry: 1:50~1:100

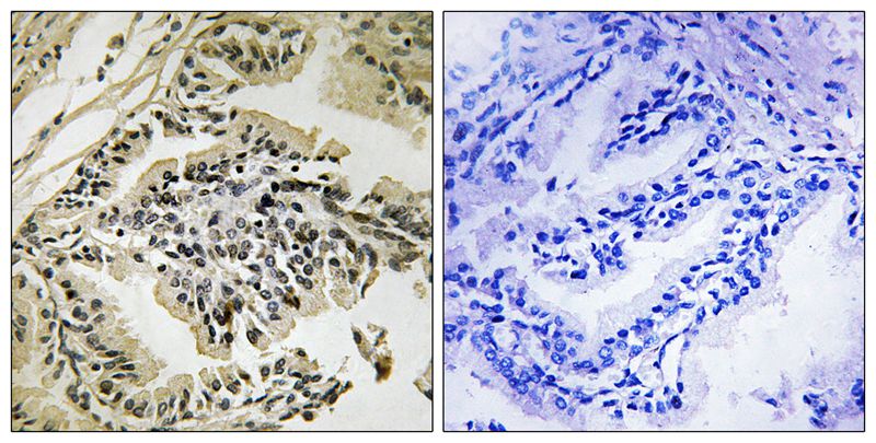
Immunohistochemical analysis of paraffin-embedded human prostate carcinoma tissue using PEK/PERK (Phospho-Thr982) antibody #11751 (left)or the same antibody preincubated with blocking peptide (right).

Phosphorylates the alpha subunit of eukaryotic translation-initiation factor 2 (EIF2), leading to its inactivation and thus to a rapid reduction of translational initiation and repression of global protein synthesis. Serves as a critical effector of unfolded protein response (UPR)-induced G1 growth arrest due to the loss of cyclin-D1 (CCND1)

Shi Y., An J., J. Biol. Chem. 274:5723-5730(1999).
Sood R., Biochem. J. 346:281-293(2000).
The MGC Project Team; Genome Res. 14:2121-2127(2004).

如果您使用该产品11751发表了文章,请通知我们,让我们可以引用您的文献。

注释

应用

  • WB免疫印迹
  • IHC免疫组化
  • IF免疫荧光
  • ICC免疫细胞化学
  • FC流式细胞
  • IP免疫沉淀
  • E酶联免疫吸附法
  • DB免疫斑点法
  • ChIP染色质免疫沉淀
  • GICA胶体金免疫层析法
  • NC阴性对照

种属反应性

  • Hu
  • Ms小鼠
  • Rt大鼠
  • Dm果蝇
  • C线虫
  • Mk
  • Rb
  • B
  • D
  • P
  • Hm仓鼠
  • ChHm中国仓鼠
  • Chk
;

联系我们

Location :

南京市高新开发区星火路10号人才大厦C座

Phone :

400-9961-933
025-58868422

Email Address

info@sabbiotech.com