免费电话:400-9961-933
邮箱:info@sabbiotech.com
欢迎光临本站
川博智能体 English
位置: 首页 > 磷酸化抗体 > p47 phox (Phospho-Ser345) Antibody

p47 phox (Phospho-Ser345) Antibody #11811

是否有货: 有货
产品详情

产品名称p47 phox (Phospho-Ser345) Antibody

来源种属Rabbit

克隆性Polyclonal

纯化Antibodies were produced by immunizing rabbits with synthetic phosphopeptide and KLH conjugates. Antibodies were purified by affinity-chromatography using epitope-specific phosphopeptide. Non-phospho specific antibodies were removed by chromatogramphy using non-phosphopeptide.

应用WB IHC

种属反应性Human

特异性The antibody detects endogenous levels of p47 phox only when phosphorylated at serine 345.

免疫原类型Peptide-KLH

免疫原描述Peptide sequence around phosphorylation site of Serine 345(P-Q-S(p)-P-G) derived from Human Nuclear p47 phox.

基因/蛋白名称p47 phox

标记Unconjugated

别名NCF1; P47 phox; NCF-47K;

数据库入口号Swiss-Prot#: P14598;
NCBI Gene#: 653361;
NCBI Protein#: NP_000256.4.

Uniprot P14598

实际分子量45kd

浓度1.0mg/ml

配方Rabbit IgG in phosphate buffered saline (without Mg2+ and Ca2+), pH 7.4, 150mM NaCl, 0.02% sodium azide and 50% glycerol.

保存Store at -20˚C/1 year

应用详情

Western blotting: 1:500~1:1000
Immunohistochemistry: 1:50~1:100

Western blot analysis of extracts from HepG2 cells treated with TNF using p47 phox (Phospho-Ser345) Antibody #11811.The lane on the right is treated with the antigen-specific peptide.
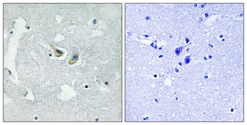
Immunohistochemical analysis of paraffin-embedded human brain tissue using p47 phox (Phospho-Ser345) antibody #11811 (left)or the same antibody preincubated with blocking peptide (right).

NCF2, NCF1, and a membrane bound cytochrome b558 are required for activation of the latent NADPH oxidase (necessary for superoxide production).

Volpp B.D., Proc. Natl. Acad. Sci. U.S.A. 86:7195-7199(1989).
Lomax K.J., Science 245:409-412(1989).
Rodaway A.R.F., Mol. Cell. Biol. 10:5388-5396(1990).

如果您使用该产品11811发表了文章,请通知我们,让我们可以引用您的文献。

et al,Oncogenic MCT-1 Activation Promotes YY1-EGFR-MnSOD Signaling and Tumor Progression.In Oncogenesis on 2017 Apr 10 by H-Y Tseng, Y-A Chen,et al..PMID: 28394354 , (2017),
PMID: 28394354

注释

应用

  • WB免疫印迹
  • IHC免疫组化
  • IF免疫荧光
  • ICC免疫细胞化学
  • FC流式细胞
  • IP免疫沉淀
  • E酶联免疫吸附法
  • DB免疫斑点法
  • ChIP染色质免疫沉淀
  • GICA胶体金免疫层析法
  • NC阴性对照

种属反应性

  • Hu
  • Ms小鼠
  • Rt大鼠
  • Dm果蝇
  • C线虫
  • Mk
  • Rb
  • B
  • D
  • P
  • Hm仓鼠
  • ChHm中国仓鼠
  • Chk
;

联系我们

Location :

南京市高新开发区星火路10号人才大厦C座

Phone :

400-9961-933
025-58868422

Email Address

info@sabbiotech.com