免费电话:400-9961-933
邮箱:info@sabbiotech.com
欢迎光临本站
川博智能体 English
位置: 首页 > 磷酸化抗体 > DRP1 (Phospho-Ser637) Antibody

DRP1 (Phospho-Ser637) Antibody #11842

是否有货: 有货
产品详情

产品名称DRP1 (Phospho-Ser637) Antibody

来源种属Rabbit

克隆性Polyclonal

纯化The antibody was affinity-purified from rabbit antiserum by affinity-chromatography using epitope-specific immunogen.

应用WB;IHC;IF;ELISA

种属反应性Human;Mouse;Rat

特异性The antibody detects endogenous levels of DRP1 only when phosphorylated at serine 637.

免疫原类型Peptide-KLH

免疫原描述Synthesized phospho-peptide around the phosphorylation site of human DRP1 (phospho Ser637).

基因/蛋白名称DRP1

标记Unconjugated

别名DLP1; DNM1L; DRP1; DVLP; Dymple

数据库入口号Swiss-Prot#: O00429;
NCBI Gene#: 10059;
NCBI Protein#: NP_036192.2.

Uniprot O00429

计算分子量82 kDa

实际分子量82 kDa

浓度1mg/ml

配方Liquid in PBS containing 50% glycerol, 0.5% BSA and 0.02% sodium azide.

保存Store at -20˚C/1 year

应用详情
WB 1:500-1:2000
IHC: 1:100-300
IF 1:100-300
ELISA 1:20000
Western Blot analysis of JK cells using Phospho-DRP1 (S637) Polyclonal Antibody.
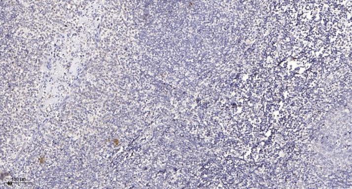
Immunohistochemical analysis of paraffin-embedded human tonsil. 1, Antibody was diluted at 1:200(4° overnight). 2, Tris-EDTA,pH9.0 was used for antigen retrieval. 3,Secondary antibody was diluted at 1:200(room temperature, 30min).
Immunofluorescence analysis of A549. 1,primary Antibody(red) was diluted at 1:200(4°C overnight). 2, Goat Anti Rabbit IgG (H&L) - Alexa Fluor 594 Secondary antibody was diluted at 1:1000(room temperature, 50min).3, Picture B: DAPI(blue) 10min.
All lanes : DRP1 (Phospho-Ser637) Antibody at 1/500 dilution
Lane 1 : PC-12 whole cell lysates
Lane 2 : PC-12 treated with 10 µM Forskolin for 30 minutes whole cell lysates
Secondary
All lanes : Goat Anti-Rabbit IgG H&L (HRP) at 1/20000 dilution
Predicted band size: 82 kDa
Observed band size: 82 kDa
Exposure time: 7 seconds

Functions in mitochondrial and peroxisomal division. Mediates membrane fission through oligomerization into membrane-associated tubular structures that wrap around the scission site to constrict and sever the mitochondrial membrane through a GTP hydrolysis-dependent mechanism. Through its function in mitochondrial division, ensures the survival of at least some types of postmitotic neurons, including Purkinje cells, by suppressing oxidative damage. Required for normal brain development, including that of cerebellum. Facilitates developmentally regulated apoptosis during neural tube formation.

Shin H.-W., J. Biochem. 122:525-530(1997).
Hong Y.-R., Biochem. Biophys. Res. Commun. 249:697-703(1998).
Imoto M., J. Cell Sci. 111:1341-1349(1998).

如果您使用该产品11842发表了文章,请通知我们,让我们可以引用您的文献。

et al,AMPD3 promotes doxorubicin-induced cardiomyopathy through HSP90α-mediated ferroptosis. In Sci Total Environ on 2024 Sep 15 by Liting Cheng, Mingxiang Zhu,et al..PMID:39474068 , (2024),
PMID: 39474068
et al,Classical prescription Daqinjiao decoction inhibit cerebral ischemia/reperfusion induced necroptosis and ferroptosis through multiple mechanisms. , (2025),
PMID: 39736347
et al,Downregulation of Mfn2 contributes to chronic postsurgical pain via inducing the pyroptosis of GABAergic neurons in the spinal cord , (2025),
PMID: 40631358

注释

应用

  • WB免疫印迹
  • IHC免疫组化
  • IF免疫荧光
  • ICC免疫细胞化学
  • FC流式细胞
  • IP免疫沉淀
  • E酶联免疫吸附法
  • DB免疫斑点法
  • ChIP染色质免疫沉淀
  • GICA胶体金免疫层析法
  • NC阴性对照

种属反应性

  • Hu
  • Ms小鼠
  • Rt大鼠
  • Dm果蝇
  • C线虫
  • Mk
  • Rb
  • B
  • D
  • P
  • Hm仓鼠
  • ChHm中国仓鼠
  • Chk
;

联系我们

Location :

南京市高新开发区星火路10号人才大厦C座

Phone :

400-9961-933
025-58868422

Email Address

info@sabbiotech.com