免费电话:400-9961-933
邮箱:info@sabbiotech.com
欢迎光临本站
川博智能体 English
位置: 首页 > 磷酸化抗体 > IKK beta (Phospho-Tyr188) Antibody

IKK beta (Phospho-Tyr188) Antibody #11929

是否有货: 有货
产品详情

产品名称IKK beta (Phospho-Tyr188) Antibody

来源种属Rabbit

克隆性Polyclonal

亚型IgG

纯化Antibodies were produced by immunizing rabbits with synthetic phosphopeptide and KLH conjugates. Antibodies were purified by affinity-chromatography using epitope-specific phosphopeptide. Non-phospho specific antibodies were removed by chromatogramphy using non-phosphopeptide.

应用WB IHC

种属反应性Human;Mouse;Rat

特异性The antibody detects endogenous level of IKK- beta only when phosphorylated at tyrosine 188.

免疫原类型Peptide-KLH

免疫原描述Peptide sequence around phosphorylation site of tyrosine 188 (L-Q-Y(p)-L-A) derived from Human IKK- beta.

基因/蛋白名称IKK- beta

标记Unconjugated

别名I-kappa-B kinase 2; I-kappa-B-kinase beta; IKK-B; IKK2; IkBKB

数据库入口号Swiss-Prot#: O14920;
NCBI Gene#: 3551;
NCBI Protein#: NP_001177649.1

Uniprot O14920

计算分子量87 kDa

实际分子量87 kDa

浓度1.0mg/ml

配方Rabbit IgG in phosphate buffered saline (without Mg2+ and Ca2+), pH 7.4, 150mM NaCl, 0.02% sodium azide and 50% glycerol.

保存Store at -20˚C/1 year

应用详情

WB 1:500 - 1:2000. 
IHC 1:100 - 1:300

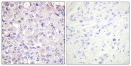
Immunohistochemical analysis of paraffin-embedded Human breast cancer. Antibody was diluted at 1:100(4° overnight). High-pressure and temperature Tris-EDTA,pH8.0 was used for antigen retrieval. Negetive contrl (right) obtaned from antibody was pre-absorbed by immunogen peptide.
Immunohistochemistry analysis of paraffin-embedded human breast carcinoma, using IKK-beta (Phospho-Tyr188) Antibody. The picture on the right is blocked with the phospho peptide.
All lanes : IKK beta (Phospho-Tyr188) Antibody at 1/500 dilution
Lane 1 : COS-7 whole cell lysates
Lane 2 : blocked with the phospho peptide
Lysates/proteins at 20 µg per lane.
Secondary
All lanes : Goat Anti-Rabbit IgG H&L (HRP) at 1/20000 dilution
Predicted band size: 87 kDa
Observed band size: 87 kDa
Exposure time: 5 seconds

Serine kinase that plays an essential role in the NF-kappa-B signaling pathway which is activated by multiple stimuli such as inflammatory cytokines, bacterial or viral products, DNA damages or other cellular stresses. Acts as part of the canonical IKK complex in the conventional pathway of NF-kappa-B activation and phosphorylates inhibitors of NF-kappa-B on 2 critical serine residues. These modifications allow polyubiquitination of the inhibitors and subsequent degradation by the proteasome. In turn, free NF-kappa-B is translocated into the nucleus and activates the transcription of hundreds of genes involved in immune response, growth control, or protection against apoptosis. In addition to the NF-kappa-B inhibitors, phosphorylates several other components of the signaling pathway including NEMO/IKBKG, NF-kappa-B subunits RELA and NFKB1, as well as IKK-related kinases TBK1 and IKBKE. IKK-related kinase phosphorylations may prevent the overproduction of inflammatory mediators since they exert a negative regulation on canonical IKKs. Also phosphorylates other substrates including NCOA3, BCL10 and IRS1. Within the nucleus, acts as an adapter protein for NFKBIA degradation in UV-induced NF-kappa-B activation.

Darwech I, Otero JE, Alhawagri MA, Abu-Amer Y (2010)J Biol Chem 285, 25522-30
Huang WC, Chen JJ, Inoue H, Chen CC (2003) J Immunol 170, 4767-75
Huang WC, Chen JJ, Chen CC (2003)J Biol Chem 278, 9944-52

如果您使用该产品11929发表了文章,请通知我们,让我们可以引用您的文献。

et al,Anti-inflammatory and analgesic activities of indigo through regulating the IKKβ/IkB/NF-kB pathway in mice. In Food Funct on 2020 Oct 1 by Ning Liu, Guo-Xin Zhang,et al..PMID:33084638 , (2020),
PMID: 33084638
et al,Gingerenone A Attenuates Ulcerative Colitis via Targeting IL-17RA to Inhibit Inflammation and Restore Intestinal Barrier Function. In Adv Sci (Weinh) on 2024 Jul by Jian Liang, Weigang Dai,et al..PMID:38639442 , (2024),
PMID: 38639442

注释

应用

  • WB免疫印迹
  • IHC免疫组化
  • IF免疫荧光
  • ICC免疫细胞化学
  • FC流式细胞
  • IP免疫沉淀
  • E酶联免疫吸附法
  • DB免疫斑点法
  • ChIP染色质免疫沉淀
  • GICA胶体金免疫层析法
  • NC阴性对照

种属反应性

  • Hu
  • Ms小鼠
  • Rt大鼠
  • Dm果蝇
  • C线虫
  • Mk
  • Rb
  • B
  • D
  • P
  • Hm仓鼠
  • ChHm中国仓鼠
  • Chk
;

联系我们

Location :

南京市高新开发区星火路10号人才大厦C座

Phone :

400-9961-933
025-58868422

Email Address

info@sabbiotech.com