免费电话:400-9961-933
邮箱:info@sabbiotech.com
欢迎光临本站
川博智能体 English
位置: 首页 > 磷酸化抗体 > PI3-kinase p85-alpha (Phospho-Tyr607) Rabbit mAb

PI3-kinase p85-alpha (Phospho-Tyr607) Rabbit mAb #12057

是否有货: 有货
产品详情

产品名称PI3-kinase p85-alpha (Phospho-Tyr607) Rabbit mAb

来源种属Rabbit

克隆性Monoclonal

亚型IgG

应用WB;IHC

种属反应性Human;Mouse;Rat

特异性The antibody detects endogenous level of PI3-kinase p85- alpha only when phosphorylated at Tyrosine 607.

免疫原类型Peptide-KLH

免疫原描述Peptide sequence around phosphorylation site of Tyrosine 607(D-Q-Y(p)-S-L) derived from Human PI3-kinase p85-alpha.

基因/蛋白名称PI3-kinase p85- alpha

标记Unconjugated

别名p85, AGM7, GRB1, p85-ALPHA, PIK3R1

数据库入口号Swiss-Prot#: P27986;
NCBI Gene#: 5295;
NCBI Protein#: NP_001229395.1

Uniprot P27986

计算分子量84 kDa

实际分子量80 kDa

浓度0.6mg/ml

配方Supplied at 1.0mg/mL in phosphate buffered saline (without Mg2+ and Ca2+), pH 7.4, 150mM NaCl, 0.02% sodium azide and 50% glycerol.

保存Store at -20˚C/1 year

应用详情
WB: 1:200~1:500
IHC: 1:50~1:300

All lanes : Phospho-PI3 Kinase p85α(Tyr607) Rabbit Monoclonal Antibody at 1/500 dilution
Lane 1 : MCF7 treated with serum starvation whole cell lysates
Lane 2 : MCF7 treated with serum for 5min whole cell lysates
Lane 3 : MCF7 treated with serum for 10min whole cell lysates
Lane 4 : MCF7 treated with serum for 20min whole cell lysates
Lane 5 : MCF7 treated with serum for 30min whole cell lysates
Lysates/proteins at 20 µg per lane.
Secondary
All lanes : Goat Anti-Rabbit IgG H&L (HRP) at 1/20000 dilution
Predicted band size: 84 kDa
Observed band size: 80 kDa
Exposure time: 8 seconds
All lanes : Phospho-PI3 Kinase p85α(Tyr607) Rabbit Monoclonal Antibody at 1/500 dilution
Lane 1 : MCF7 whole cell lysates
Lane 2 : MCF7 treated with serum for 30min whole cell lysates
Lane 3 : MCF7 treated with 50ng/ml IL-2 for 15min whole cell lysates
Lane 4 : MCF7 treated with Lambda Protein Phosphatase for 30min whole cell lysates
Lysates/proteins at 20 µg per lane.
Secondary
All lanes : Goat Anti-Rabbit IgG H&L (HRP) at 1/20000 dilution
Predicted band size: 84 kDa
Observed band size: 80 kDa
Exposure time: 6 seconds
All lanes : Phospho-PI3 Kinase p85α(Tyr607) Rabbit Monoclonal Antibody at 1/500 dilution
Lane 1 : 3T3 treated with 100ng/ml EGF for 20min whole cell lysates
Lane 2 : C6 treated with serum for 30min whole cell lysates
Lane 3 : PC12 treated with 100ng/ml EGF for 20min whole cell lysates
Lysates/proteins at 20 µg per lane.
Secondary
All lanes : Goat Anti-Rabbit IgG H&L (HRP) at 1/20000 dilution
Predicted band size: 84 kDa
Observed band size: 80 kDa
Exposure time: 6 seconds
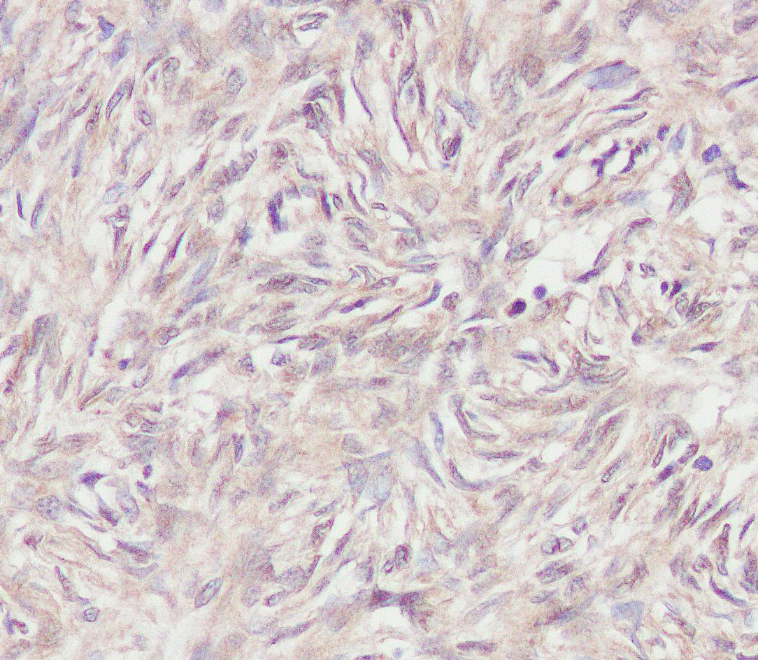
Formalin-fixed, paraffin-embedded human breast carcinom tissue stained for Phospho-PI3 Kinase p85α(Tyr607) using 12057 at 1/100 dilution in immunohistochemical analysis.
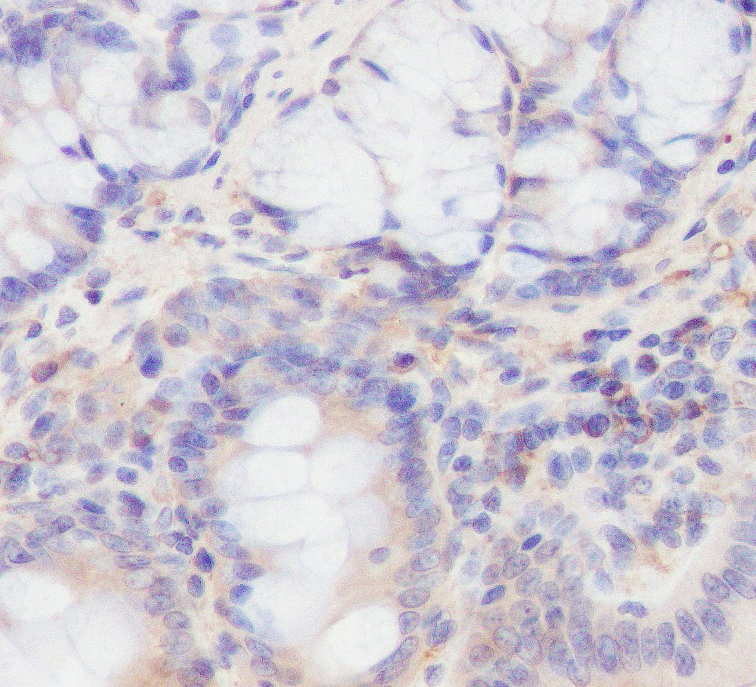
Formalin-fixed, paraffin-embedded human colon carcinom tissue stained for Phospho-PI3 Kinase p85α(Tyr607) using 12057 at 1/100 dilution in immunohistochemical analysis.
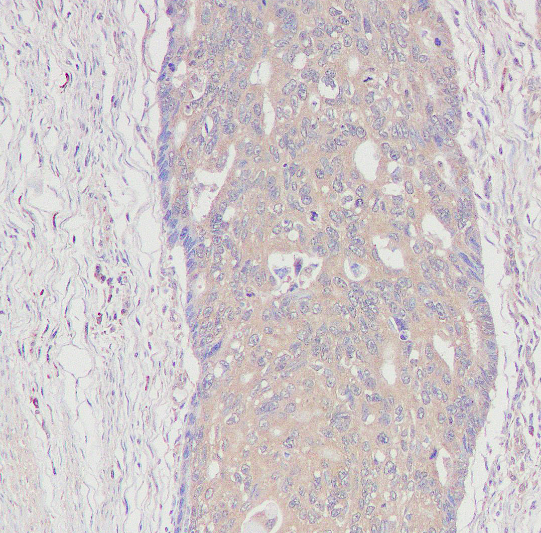
Formalin-fixed, paraffin-embedded rat colon tissue stained for Phospho-PI3 Kinase p85α(Tyr607) using 12057 at 1/100 dilution in immunohistochemical analysis.

Binds to activated (phosphorylated) protein-Tyr kinases, through its SH2 domain, and acts as an adapter, mediating the association of the p110 catalytic unit to the plasma membrane. Necessary for the insulin-stimulated increase in glucose uptake and glycogen synthesis in insulin-sensitive tissues. Plays an important role in signaling in response to FGFR1, FGFR2, FGFR3, FGFR4, KITLG/SCF, KIT, PDGFRA and PDGFRB. Likewise, plays a role in ITGB2 signaling.

如果您使用该产品12057发表了文章,请通知我们,让我们可以引用您的文献。

et al,SLC3A2 Is Upregulated in Human Osteosarcoma and Promotes Tumor Growth Through the PI3K/Akt Signaling Pathway.In Oncol Rep on 2017 May by Bin Zhu, Dongdong Cheng,et al..PMID: 28350098 , (2017),
PMID: 28350098
et al,Organic anion transporters and PI3K-AKT-mTOR pathway mediate the synergistic anticancer effect of pemetrexed and rhein. In J Cell Physiol on 2020 Apr by Tianci Bu, Changyuan Wang, et al..PMID:31587272 , (2020),
PMID: 31587272
et al,Grape seed proanthocyanidin extract ameliorates cisplatin-induced testicular apoptosis via PI3K/Akt/mTOR and endoplasmic reticulum stress pathways in rats. In J Food Biochem on 2021 Jun 21 by Xuhong Chang, Minmin Tian,et al..PMID:34152018 , (2021),
PMID: 34152018
et al,Spatial dimension cues derived from fibrous scaffolds trigger mechanical activation to potentiate the paracrine and regenerative functions of MSCs via the FAK-PI3K/AKT axis , (2024),
PMID:

注释

应用

  • WB免疫印迹
  • IHC免疫组化
  • IF免疫荧光
  • ICC免疫细胞化学
  • FC流式细胞
  • IP免疫沉淀
  • E酶联免疫吸附法
  • DB免疫斑点法
  • ChIP染色质免疫沉淀
  • GICA胶体金免疫层析法
  • NC阴性对照

种属反应性

  • Hu
  • Ms小鼠
  • Rt大鼠
  • Dm果蝇
  • C线虫
  • Mk
  • Rb
  • B
  • D
  • P
  • Hm仓鼠
  • ChHm中国仓鼠
  • Chk
;

联系我们

Location :

南京市高新开发区星火路10号人才大厦C座

Phone :

400-9961-933
025-58868422

Email Address

info@sabbiotech.com