免费电话:400-9961-933
邮箱:info@sabbiotech.com
欢迎光临本站
川博智能体 English
位置: 首页 > 磷酸化抗体 > ERK1/2 (Phospho-Thr202/Tyr204) Antibody

ERK1/2 (Phospho-Thr202/Tyr204) Antibody#12082

是否有货: 有货
产品详情

产品名称ERK1/2 (Phospho-Thr202/Tyr204) Antibody

来源种属Rabbit

克隆性Polyclonal

纯化Antibodies were produced by immunizing rabbits with synthetic phosphopeptide and KLH conjugates. Antibodies were purified by affinity-chromatography using epitope-specific phosphopeptide. Non-phospho specific antibodies were removed by chromatogramphy using non-phosphopeptide.

应用WB IHC IF

种属反应性Human;Mouse;Rat

特异性The antibody detects endogenous level of ERK1/2 only when phosphorylated at Threonine 202 and Tyrosine 204 .

免疫原类型Peptide-KLH

免疫原描述Peptide sequence around phosphorylation site of Threonine 202/Tyrosine 204(F-L-T(p)-E-Y(p)-V-A)Sderived from Human ERK1/2.

基因/蛋白名称ERK1/2

标记Unconjugated

别名ERK1, ERT2, ERK-1, PRKM3, P44ERK1, ERK1/2

数据库入口号Swiss-Prot#: P27361/P28482;
NCBI Gene#: 601795/176948;
NCBI Protein#: NP_001035145.1

Uniprot P27361/P28482

实际分子量42,44kd

浓度1.0mg/ml

配方Supplied at 1.0mg/mL in phosphate buffered saline (without Mg2+ and Ca2+), pH 7.4, 150mM NaCl, 0.02% sodium azide and 50% glycerol.

保存Store at -20˚C/1 year

应用详情

Predicted MW: 42,44kd
Western blotting: 1:500~1:1000

Western blot analysis of extracts from 3T3 cells treated with IFNa using ERK1/2 (Phospho-Thr202/Tyr204) Antibody #12082.The lane on the left is treated with the antigen-specific peptide.
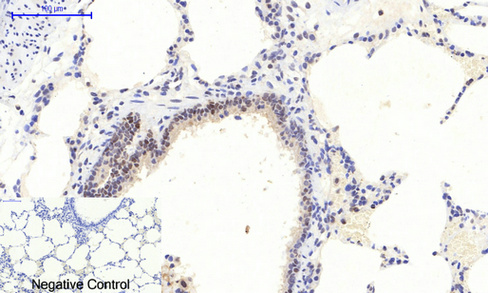
Immunohistochemical analysis of paraffin-embedded Rat-lung tissue. 1,ERK 1/2 (phospho Thr202/Y204) Polyclonal Antibody was diluted at 1:200(4°C,overnight). 2, Sodium citrate pH 6.0 was used for antibody retrieval(>98°C,20min). 3,Secondary antibody was diluted at 1:200(room tempeRature, 30min). Negative control was used by secondary antibody only.
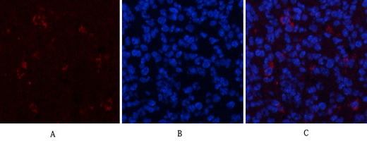
Immunofluorescence analysis of mouse-spleen tissue. 1,ERK 1/2 (phospho Thr202/Y204) Polyclonal Antibody(red) was diluted at 1:200(4°C,overnight). 2, Cy3 labled Secondary antibody was diluted at 1:300(room temperature, 50min).3, Picture B: DAPI(blue) 10min. Picture A:Target. Picture B: DAPI. Picture C: merge of A+B

Serine/threonine kinase which acts as an essential component of the MAP kinase signal transduction pathway. MAPK1/ERK2 and MAPK3/ERK1 are the 2 MAPKs which play an important role in the MAPK/ERK cascade. They participate also in a signaling cascade initiated by activated KIT and KITLG/SCF. Depending on the cellular context, the MAPK/ERK cascade mediates diverse biological functions such as cell growth, adhesion, survival and differentiation through the regulation of transcription, translation, cytoskeletal rearrangements. The MAPK/ERK cascade plays also a role in initiation and regulation of meiosis, mitosis, and postmitotic functions in differentiated cells by phosphorylating a number of transcription factors. About 160 substrates have already been discovered for ERKs. Many of these substrates are localized in the nucleus, and seem to participate in the regulation of transcription upon stimulation. However, other substrates are found in the cytosol as well as in other cellular organelles, and those are responsible for processes such as translation, mitosis and apoptosis. Moreover, the MAPK/ERK cascade is also involved in the regulation of the endosomal dynamics, including lysosome processing and endosome cycling through the perinuclear recycling compartment (PNRC); as well as in the fragmentation of the Golgi apparatus during mitosis. The substrates include transcription factors (such as ATF2, BCL6, ELK1, ERF, FOS, HSF4 or SPZ1), cytoskeletal elements (such as CANX, CTTN, GJA1, MAP2, MAPT, PXN, SORBS3 or STMN1), regulators of apoptosis (such as BAD, BTG2, CASP9, DAPK1, IER3, MCL1 or PPARG), regulators of translation (such as EIF4EBP1) and a variety of other signaling-related molecules (like ARHGEF2, FRS2 or GRB10). Protein kinases (such as RAF1, RPS6KA1/RSK1, RPS6KA3/RSK2, RPS6KA2/RSK3, RPS6KA6/RSK4, SYK, MKNK1/MNK1, MKNK2/MNK2, RPS6KA5/MSK1, RPS6KA4/MSK2, MAPKAPK3 or MAPKAPK5) and phosphatases (such as DUSP1, DUSP4, DUSP6 or DUSP16) are other substrates which enable the propagation the MAPK/ERK signal to additional cytosolic and nuclear targets, thereby extending the specificity of the cascade.

如果您使用该产品12082发表了文章,请通知我们,让我们可以引用您的文献。

et al,Astragalus polysaccharides exerts anti-infective activity by inducing human cathelicidin antimicrobial peptide LL-37 in respiratory epithelial cells.In Phytother Res. On 2018 Aug by Zhao L, Tan S et al..PMID: 29672953 , (2018),
PMID: 29672953
et al,Crucial Roles of 5-HT and 5-HT2 Receptor in Diabetes-Related Lipid Accumulation and Pro-Inflammatory Cytokine Generation in Hepatocytes.In Cell Physiol Biochem.On 2018 Aug 17 by Fu J, Li C et al..PMID: 30121645 , (2018),
PMID: 30121645
et al,Inhibition of TPL2 by interferon-α suppresses bladder cancer through activation of PDE4D.In J Exp Clin Cancer Res. On 2018 Nov 27 by Qiang Z, Zhou ZY et al..PMID: 30482227 , (2018),
PMID: 30482227
et al,Carbon monoxide Induces the assembly of stress granule through the Integrated stress response. In Biochem Biophys Res Commun on 2019 Apr 30 by Chen Y, Joe Y, et al..PMID:30885431 , (2019),
PMID: 30885431
et al,Ajudecumin A from Ajuga ovalifolia var. calantha exhibits anti-inflammatory activity in lipopolysaccharide-activated RAW264.7 murine macrophages and animal models of acute inflammation.In Pharm Biol. On 2018 Dec by Zhang H, Ren QC et al..PMID: 31070535 , (2018),
PMID: 31070535
et al,miR-141-5p regulate ATF2 via effecting MAPK1/ERK2 signalIng to promote preeclampsia.Biomed Pharmacother. In Biomed Pharmacother on 2019 May 7 by Wang Y1, Cheng K, et al..PMID: 31075732 , (2019),
PMID: 31075732
et al,HMGN2 regulates non-tuberculous mycobacteria survival via modulation of M1 macrophage polarization. In J Cell Mol Med on 2019 Dec by Wang X, Chen S, et al..PMID:31596045 , (2019),
PMID: 31596045
查看更多
et al,The synergic Inhibitory effects of dark tea (Camellia sInensis) extract and p38 Inhibition on the growth of pancreatic cancer cells. In J Cancer on 2019 Oct 21 by Zheng K, Zhao Q,et al..PMID:31777585 , (2019),
PMID: 31777585
et al,The protective effects of β-sitosterol and vermicularIn from Thamnolia vermicularis (Sw.) Ach. agaInst skIn agIng In vitro. In An Acad Bras Cienc on 2019 Dec 2 by Haiyuan YU, Shen X,et al..PMID:31800700 , (2019),
PMID: 31800700
et al,Celecoxib ameliorates portal hypertension of the cirrhotic rats through the dual inhibitory effects on the intrahepatic fibrosis and angiogenesis.In PLoS One on 2013 Jul 26 by Gao JH, Wen SL,et al..PMID:23922700 , (2013),
PMID: 23922700
et al,Asperosaponin VI, a saponin component from Dipsacus asper wall, induces osteoblast differentiation through bone morphogenetic protein-2/p38 and extracellular signal-regulated kinase 1/2 pathway.In Phytother Res on 2011 Nov by Niu Y, Li Y,et al..PMID: 21452371 , (2011),
PMID: 21452371
et al,Knockdown of Protein Phosphatase Magnesium-Dependent 1 (PPM1D) Through Lentivirus-Mediated RNA Silencing Inhibits Colorectal Carcinoma Cell Proliferation.In Technol Cancer Res Treat on 2013 Dec by Hongzhuan Yin, Zhaopeng Yan,et al..PMID:23745790 , (2013),
PMID: 23745790
et al,Phosphoglycerate Kinase 1 Phosphorylates Beclin1 to Induce Autophagy.In Mol Cell on 2017 Mar 2 by Xu Qian , Xinjian Li,et al..PMID: 28238651 , (2017),
PMID: 28238651
et al,Salidroside pretreatment attenuates apoptosis and autophagy during hepatic ischemia鈥搑eperfusion injury by inhibiting the mitogen-activated protein kinase pathway in mice.In Drug Des Devel Ther on 2017 Jul 3 by Jiao Feng, Qinghui Zhang,et al..PMID: 28721018 , (2017),
PMID: 28721018
et al,Puerarin Inhibits Expression of Tissue Factor Induced by Oxidative Low-Density Lipoprotein Through Activating the PI3K/Akt/eNOS Pathway and Inhibiting Activation of ERK1/2 and NF-魏B.In Life Sci on 2017 Dec 15 by Hua-Fei Deng, Xiao-Li Wang,et al..PMID: 29037842 , (2017),
PMID: 29037842
et al,Capsular polysaccharide of mycoplasma ovipneumoniae induces sheep airway epithelial cell apoptosis via ROS-dependent JNK/P38 MAPK pathways.In Oxid Med Cell Longev on 2017 Mar 7 by Zhongjia Jiang, Fuyang Song,et al..PMID: 28367270 , (2017),
PMID: 28367270
et al,Ellagic Acid Inhibits RANKL-induced Osteoclast Differentiation by Suppressing the p38 MAP Kinase Pathway.In Arch Pharm Res on 2017 Jan by Mpho Rantlha , Travers Sagar,et al..PMID: 27384064 , (2017),
PMID: 27384064
et al,Functional 渭-Opioid-Galanin Receptor Heteromers in the Ventral Tegmental Area.In J Neurosci on 2017 Feb 1 by Estefan铆a Moreno, C茅sar Quiroz,et al..PMID: 28007761 , (2017),
PMID: 28007761
et al,Altered Timing of Riboflavin and Ultraviolet Light Pathogen Inactivation Improves Platelet in Vitro Quality. In Transfusion on 2017 Aug by Peter Schubert, Brankica Culibrk,et al..PMID: 28500654 , (2017),
PMID: 28500654
et al,Neurokinin B Exerts Direct Effects on the Ovary to Stimulate Estradiol Production.In Endocrinology.On 2016 Sep by Qi X, Salem M et al..PMID:27580802 , (2016),
PMID: 27580802
et al,FSTL1 as a Potential Mediator of Exercise-Induced Cardioprotection in Post-Myocardial Infarction Rats.In Sci Rep on 2016 Aug 26 by Yue Xi, Da-Wei Gong et al..PMID: 27561749 , (2016),
PMID: 27561749
et al,Inhibitory effects of eugenol on RANKL-induced osteoclast formation via attenuation of NF-魏 B and MAPK pathways.In Connect Tissue Res on 2015 Jun by Vishwa Deepak , Abe Kasonga et al..PMID:25405641 , (2015),
PMID: 25405641
et al, Overexpression of astrocyte-elevated gene-1 is associated with ovarian cancer development and progression.In Mol Med Rep on 2015 Apr by Bo Zhou , Jue Yang et al..PMID:25483832 , (2015),
PMID: 25483832
et al,Combinational treatment of curcumin and quercetin against gastric cancer MGC-803 cells in vitro Molecules on 2015 Jun 22 by Jian-Ye Zhang , Min-Ting Lin et al..PMID:26111180 , (2015),
PMID: 26111180
et al,Piperine alleviates osteoclast formation through the p38/c鈥怓os/NFATc1 signaling axis.In Biofactors on Nov-Dec 2015 by Vishwa Deepak , Marlena C Kruger et al..PMID: 26627060 , (2015),
PMID: 26627060
et al,An alternatively spliced variant of CXCR3 mediates the metastasis of CD133+ liver cancer cells induced by CXCL9.In Oncotarget on 2016 Mar 22 by Qiang Ding, Yujia Xia et al..PMID:26883105 , (2016),
PMID: 26883105
et al,Exosomes Derived From Human Mesenchymal Stem Cells Confer Drug Resistance in Gastric Cancer.In Cell Cycle on 2015 Aug 3 by Runbi Ji , Bin Zhang et al..PMID:26091251 , (2015),
PMID: 26091251
et al,Cannabinoid receptor agonist WIN55,212-2 and fatty acid amide hydrolase inhibitor URB597 suppress chronic cerebral hypoperfusion-induced neuronal apoptosis by inhibiting c-Jun N-terminal kinase signaling.In Neuroscience 2015 Aug 20 by S-H Su , Y-F Wu et al..PMID:25795598 , (2015),
PMID: 25795598
et al, Role of SMC1A overexpression as a predictor of poor prognosis in late stage colorectal cancer.In BMC Cancer on 2015 Mar 4 by Jianwei Wang , Shaojun Yu et al..PMID: 25884313 , (2015),
PMID: 25884313
et al,Mycoplasma ovipneumoniae induces sheep airway epithelial cell apoptosis through an ERK signalling-mediated mitochondria pathway. In BMC Microbiol on 2016 Sep 23 by Yanan Li, Zhongjia Jiang,et al..PMID:27663303 , (2016),
PMID: 27663303
et al,Neutral phosphate-affinity SDS-PAGE system for profiling of protein phosphorylation. In Methods Mol Biol on 2015 by Eiji Kinoshita, Tohru Koike锛宔t al..PMID:25820732 , (2015),
PMID: 25820732
et al,Enhancement of anti-acne effect of Scutellaria baicalensis extract by fermentation with symbiotic fungus Penicillium decumbens. In J Biosci Bioeng on 2020 Nov by Xiaojing Zhu, Yue Mao, et al..PMID: 32747300 , (2020),
PMID: 32747300
et al,Glutamate Attenuates the Survival Property of IGFR through NR2B Containing N-Methyl-D-aspartate Receptors in Cortical Neurons. In Oxid Med Cell Longev on 2020 Aug 11 by Xia Zhao, Chao Han,et al..PMID:32849999 , (2020),
PMID: 32849999
et al,Activation of GCN2/ATF4 signals in amygdalar PKC-δ neurons promotes WAT browning under leucine deprivation. In Nat Commun on 2020 Jun 5 by Feixiang Yuan, Haizhou Jiang, et al..PMID:32504036 , (2020),
PMID: 32504036
et al,CSRP2 suppresses colorectal cancer progression viap130Cas/Racl axis-meditated ERK,PAK, and HIPPOsignaling pathways. In Theranostics on 2020 Sep 2 by Lixia Chen , Xiaoli Long,et al.. , (2021),
PMID: 33042270
et al,CSRP2 suppresses colorectal cancer progression viap130Cas/Racl axis-meditated ERK,PAK, and HIPPOsignaling pathways. In Theranostics on 2020 Sep 2 by Lixia Chen , Xiaoli Long,et al..PMID:33042270 , (2021),
PMID: 33042270
et al,Methamphetamine Blocks Adenosine A2A Receptor Activation via Sigma 1 and Cannabinoid CB1 Receptors. In Int J Mol Sci on 2021 Mar 9 by Mireia Casanovas, Irene Reyes-Resina, et al..PMID:33803075 , (2021),
PMID: 33803075
et al,CD155 Cooperates with PD-1/PD-L1 to Promote Proliferation of Esophageal Squamous Cancer Cells via PI3K/Akt and MAPK Signaling Pathways. In Cancers (Basel) on 2022 Nov 15 by Xiyang Tan, Jie Yang, et al..PMID:36428703 , (2022),
PMID: 36428703
et al,Brevilin A Ameliorates Acute Lung Injury and Inflammation Through Inhibition of NF-κB Signaling via Targeting IKKα/β. In Front Pharmacol on 2022 Jun 14 by Lu Liu, Xian Chen,et al..PMID:35774606 , (2022),
PMID: 35774606
et al,Receptor tyrosine kinase C-kit promotes a destructive phenotype of FLS in osteoarthritis via intracellular EMT signalingInMol MedOn2023 Mar 23byXu Cao?1?2,?Song Wu et al..PMID:?36959556 , (2023),
PMID: 36959556
et al,IGF1R-phosphorylated PYCR1 facilitates ELK4 transcriptional activity and sustains tumor growth under hypoxiaInNat CommunOn2023 Sep 30byKe Zheng?#?1?2,?Nannan Sha et al..PMID:?37777542 , (2023),
PMID: 37777542
et al,Discovery of novel capsaicin analogs as TRPV1 inhibitors for the treatment of idiopathic pulmonary fibrosis. , (2025),
PMID: 39826937
et al,The Effect of Clostridium butyricum-Derived Lipoteichoic Acid on Lipopolysaccharide-Stimulated Porcine Intestinal Epithelial Cells. , (2025),
PMID: 39749788
et al,The pivotal role of SUMO-1-JNK-Tau axis in an in vitro model of oxidative stress counteracted by the protective effect of curcumin. In Biochem Pharmacol on 2020 Aug by Lucia Buccarello, Jessica Dragotto, et al..PMID:32502496 , (2020),
PMID: 32502496
et al,The pivotal role of SUMO-1-JNK-Tau axis in an in vitro model of oxidative stress counteracted by the protective effect of curcumin. In Biochem Pharmacol on 2020 Aug by Lucia Buccarello, Jessica Dragotto, et al..PMID:32502496 , (2020),
PMID: 32502496
et al,Response of MAPK pathway to iron oxide nanoparticles in vitro treatment promotes osteogenic differentiation of hBMSCs.In Biomaterials.On 2016 Apr by Wang Q, Chen B et al..PMID:26874888 , (2016),
PMID: 26874888
et al,Bruceine D induces apoptosis in human chronic myeloid leukemia K562 cells via mitochondrial pathway.In Am J Cancer Res on 2016 Mar 15 by Jian-Ye Zhang, Min-Ting Lin et al..PMID: 27186433 , (2016),
PMID: 27186433
et al,CPU-12, a novel synthesized oxazolo [5, 4-d] pyrimidine derivative, showed superior anti-angiogenic activity.In J Pharmacol Sci on 2015 Sep by Jiping Liu , Ya-Hui Deng et al..PMID: 26154846 , (2015),
PMID: 26154846
et al,Genipin derivatives protect RGC-5 from sodium nitroprusside-induced nitrosative stress. In Int J Mol Sci on 2016 Jan 19 by Rikang Wang, Jiaqiang Zhao,et al..PMID:26797604 , (2016),
PMID: 26797604
et al,Formononetin mitigates alcoholic liver disease by restoring ALDH2 function and inducing ERK1/2–Nrf2 antioxidant signaling , (2025),
PMID: 41110354
et al,Inhibiting cancer metastasis with water-solubilized membrane receptor CXCR4QTY-Fc as a molecular trap , (2025),
PMID: 40845831
et al,REG3A promotes gemcitabine resistance in pancreatic cancer via the GPR54/ARRB2/ERK1/2 ligand-directed signaling pathway , (2025),
PMID: 40935160

注释

应用

  • WB免疫印迹
  • IHC免疫组化
  • IF免疫荧光
  • ICC免疫细胞化学
  • FC流式细胞
  • IP免疫沉淀
  • E酶联免疫吸附法
  • DB免疫斑点法
  • ChIP染色质免疫沉淀
  • GICA胶体金免疫层析法
  • NC阴性对照

种属反应性

  • Hu
  • Ms小鼠
  • Rt大鼠
  • Dm果蝇
  • C线虫
  • Mk
  • Rb
  • B
  • D
  • P
  • Hm仓鼠
  • ChHm中国仓鼠
  • Chk
;

联系我们

Location :

南京市高新开发区星火路10号人才大厦C座

Phone :

400-9961-933
025-58868422

Email Address

info@sabbiotech.com