免费电话:400-9961-933
邮箱:info@sabbiotech.com
欢迎光临本站
川博智能体 English
位置: 首页 > 磷酸化抗体 > Histone H2B(Phospho-Ser14) Rabbit Polyclonal Antibody

Histone H2B(Phospho-Ser14) Rabbit Polyclonal Antibody #12102

是否有货: 有货
产品详情

产品名称Histone H2B(Phospho-Ser14) Rabbit Polyclonal Antibody

来源种属Rabbit

克隆性Polyclonal

纯化Antibodies were purified by affinity-chromatography using epitope-specific phosphopeptide. Non-phospho specific antibodies were removed by chromatogramphy using non-phosphopeptide.

应用WB

种属反应性Human;Mouse;Rat

特异性The Histone H2B(Phospho Ser14) antibody can detects endogenous Histone H2B(Phospho Ser14) protein.

免疫原类型peptide

免疫原描述Peptide sequence around phosphorylation site of serine 14(K-G-S(p)-K-K) derived from Human Histone H2B.

基因/蛋白名称Histone H2B(Phospho-Ser14)

标记Unconjugated

别名H2B GL105 antibody; H2B.1 antibody; Histone H2B type 1B antibody; HIST1H2BB antibody

数据库入口号Swiss-Prot#:P33778

Uniprot P33778

实际分子量14kd

浓度1.0mg/ml

配方Rabbit Antiserum, containing 0.02% sodium azide as Preservative and 50% Glycerol.

保存Store at -20˚C

应用详情
Western blotting: 1:1000~1:2000
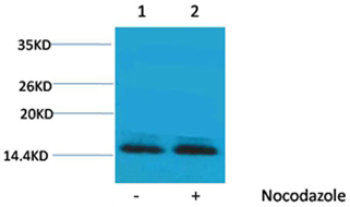
Western blot analysis of extracts from Hela cells, untreated (-) or treated with Nocodazole (1μg/ml, 24 hr; +), using #12102 diluted at 1:2,000.
Histone H2B is one of the 5 main histone proteins involved in the structure of chromatin in eukaryotic cells.

如果您使用该产品12102发表了文章,请通知我们,让我们可以引用您的文献。

et al,Hybrid-Ligand Metal–Organic Frameworks Enabling Radio–Radiodynamic–Chemodynamic Therapy Primes Checkpoint Blockade Immunotherapy in Hypoxic Tumors , (2025),
PMID: 40802503

注释

应用

  • WB免疫印迹
  • IHC免疫组化
  • IF免疫荧光
  • ICC免疫细胞化学
  • FC流式细胞
  • IP免疫沉淀
  • E酶联免疫吸附法
  • DB免疫斑点法
  • ChIP染色质免疫沉淀
  • GICA胶体金免疫层析法
  • NC阴性对照

种属反应性

  • Hu
  • Ms小鼠
  • Rt大鼠
  • Dm果蝇
  • C线虫
  • Mk
  • Rb
  • B
  • D
  • P
  • Hm仓鼠
  • ChHm中国仓鼠
  • Chk
;

联系我们

Location :

南京市高新开发区星火路10号人才大厦C座

Phone :

400-9961-933
025-58868422

Email Address

info@sabbiotech.com