免费电话:400-9961-933
邮箱:info@sabbiotech.com
欢迎光临本站
川博智能体 English
位置: 首页 > 磷酸化抗体 > PPP1R2 (Phospho-Ser120/Ser121) Antibody

PPP1R2 (Phospho-Ser120/Ser121) Antibody #12150

是否有货: 有货
产品详情

产品名称PPP1R2 (Phospho-Ser120/Ser121) Antibody

来源种属Rabbit

克隆性Polyclonal

纯化Antibodies were produced by immunizing rabbits with synthetic phosphopeptide and KLH conjugates. Antibodies were purified by affinity-chromatography using epitope-specific phosphopeptide. Non-phospho specific antibodies were removed by chromatogramphy using non-phosphopeptide.

应用IHC

种属反应性Human;Mouse;Rat

特异性The antibody detects endogenous levels of PPP1R2 only when phosphorylated at serine 120 and serine 121.

免疫原类型peptide

免疫原描述Peptide sequence around phosphorylation site of serine 120 and serine 121 (Q-E-S(p)-S(p)-GE) derived from Human PPP1R2.

基因/蛋白名称PPP1R2

标记Unconjugated

别名I-2; IPP-2; IPP2; Protein phosphatase inhibitor 2

数据库入口号Swiss-Prot#:P41236;
NCBI Gene#:5504

Uniprot P41236

计算分子量23kd

浓度1.0mg/ml

配方Rabbit IgG in phosphate buffered saline (without Mg2+ and Ca2+), pH 7.4, 150mM NaCl, 0.02% sodium azide and 50% glycerol.

保存Store at -20˚C

应用详情
Immunohistochemistry: 1:50~1:100
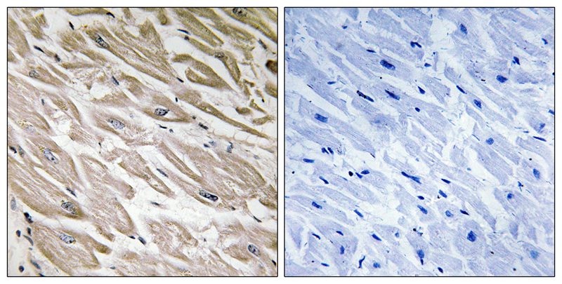
Immunohistochemistry analysis of paraffin-embedded human heart tissue using PPP1R2 (Phospho-Ser120+Ser121) antibody #12150. The picture on the right is treated with the synthesized peptide.
Inhibitor of protein-phosphatase 1.

如果您使用该产品12150发表了文章,请通知我们,让我们可以引用您的文献。

et al,PTPS Facilitates Compartmentalized LTBP1 S-Nitrosylation and Promotes Tumor Growth under Hypoxia. In Mol Cell on 2020 Jan 2 by Qin Zhao, Ke Zheng, et al..PMID:31628042 , (2020),
PMID: 31628042

注释

应用

  • WB免疫印迹
  • IHC免疫组化
  • IF免疫荧光
  • ICC免疫细胞化学
  • FC流式细胞
  • IP免疫沉淀
  • E酶联免疫吸附法
  • DB免疫斑点法
  • ChIP染色质免疫沉淀
  • GICA胶体金免疫层析法
  • NC阴性对照

种属反应性

  • Hu
  • Ms小鼠
  • Rt大鼠
  • Dm果蝇
  • C线虫
  • Mk
  • Rb
  • B
  • D
  • P
  • Hm仓鼠
  • ChHm中国仓鼠
  • Chk
;

联系我们

Location :

南京市高新开发区星火路10号人才大厦C座

Phone :

400-9961-933
025-58868422

Email Address

info@sabbiotech.com