免费电话:400-9961-933
邮箱:info@sabbiotech.com
欢迎光临本站
川博智能体 English
位置: 首页 > 磷酸化抗体 > PKC δ (Phospho-Thr507) Polyclonal Antibody

PKC δ (Phospho-Thr507) Polyclonal Antibody #12218

是否有货: 有货
产品详情

产品名称PKC δ (Phospho-Thr507) Polyclonal Antibody

来源种属Rabbit

克隆性Polyclonal

纯化The antibody was affinity-purified from rabbit antiserum by affinity-chromatography using epitope-specific immunogen.

应用WB IHC ELISA

种属反应性Human;Mouse;Rat

特异性Phospho-PKC δ (T507) Polyclonal Antibody detects endogenous levels of PKC δ protein only when phosphorylated at T507.

免疫原类型peptide

免疫原描述Synthesized peptide derived from human PKC δ around the phosphorylation site of T507.

基因/蛋白名称PKC δ

标记Unconjugated

别名PRKCD; Protein kinase C delta type; Tyrosine-protein kinase PRKCD; nPKC-delta

数据库入口号Swiss-Prot: Q05655
NCBI Gene ID: 5580

Uniprot Q05655

实际分子量78kd

浓度1mg/ml

配方Liquid in PBS containing 50% glycerol, 0.5% BSA and 0.02% sodium azide.

保存Store at -20˚C/1 year

Target种属human

应用详情
Western blotting: 1/500 - 1/2000
Immunohistochemistry: 1/100 - 1/300
ELISA: 1/20000
Not yet tested in other applications
Western Blot analysis of 3T3 cells using Phospho-PKC δ (T507) Polyclonal Antibody
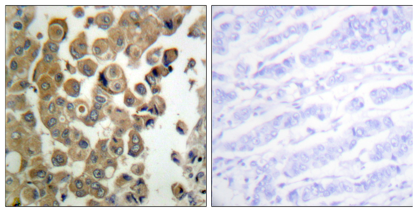
Immunohistochemistry analysis of paraffin-embedded human breast carcinoma, using #12218. The picture on the right is blocked with the phospho peptide.

如果您使用该产品12218发表了文章,请通知我们,让我们可以引用您的文献。

et al,Application of HEMA-AAm copolymer to achieve faster optical tissue transparency for 2D/3D fluorescence imaging , (2025),
PMID: 40181114

注释

应用

  • WB免疫印迹
  • IHC免疫组化
  • IF免疫荧光
  • ICC免疫细胞化学
  • FC流式细胞
  • IP免疫沉淀
  • E酶联免疫吸附法
  • DB免疫斑点法
  • ChIP染色质免疫沉淀
  • GICA胶体金免疫层析法
  • NC阴性对照

种属反应性

  • Hu
  • Ms小鼠
  • Rt大鼠
  • Dm果蝇
  • C线虫
  • Mk
  • Rb
  • B
  • D
  • P
  • Hm仓鼠
  • ChHm中国仓鼠
  • Chk
;

联系我们

Location :

南京市高新开发区星火路10号人才大厦C座

Phone :

400-9961-933
025-58868422

Email Address

info@sabbiotech.com