免费电话:400-9961-933
邮箱:info@sabbiotech.com
欢迎光临本站
川博智能体 English
位置: 首页 > 磷酸化抗体 > p38 (Phospho-Tyr323) Polyclonal Antibody

p38 (Phospho-Tyr323) Polyclonal Antibody #12322

是否有货: 有货
产品详情

产品名称p38 (Phospho-Tyr323) Polyclonal Antibody

来源种属Rabbit

克隆性Polyclonal

纯化The antibody was affinity-purified from rabbit antiserum by affinity-chromatography using epitope-specific immunogen.

应用WB IHC ELISA IF

种属反应性Human;Mouse;Rat

特异性Phospho-p38 (Y323) Polyclonal Antibody detects endogenous levels of p38 protein only when phosphorylated at Y323.

免疫原描述Synthesized peptide derived from human p38 around the phosphorylation site of Y323.

基因/蛋白名称p38

标记Unconjugated

别名MAPK14; CSBP; CSBP1; CSBP2; CSPB1; MXI2; SAPK2A; Mitogen-activated protein kinase 14; MAP kinase 14; MAPK 14; Cytokine suppressive anti-inflammatory drug-binding protein; CSAID-binding protein; CSBP; MAP kinase MXI2; MAX-interacting protein

数据库入口号Swiss-Prot: Q16539
NCBI Gene ID: 1432

Uniprot Q16539

实际分子量35kd

浓度1mg/ml

配方Liquid in PBS containing 50% glycerol, 0.5% BSA and 0.02% sodium azide.

保存Store at -20˚C/1 year

Target种属human

应用详情

Western blotting: 1/500 - 1/2000
Immunohistochemistry: 1/100 - 1/300
IF: 1:50-200
ELISA: 1/5000
Not yet tested in other applications

Western Blot analysis of HEPG2-UV cells using Phospho-p38 (Y323) Polyclonal Antibody
Western Blot analysis of 823 293-UV 22RV1 cells using Phospho-p38 (Y323) Polyclonal Antibody
Western Blot analysis of HELA using Phospho-p38 (Y323) Polyclonal Antibody.
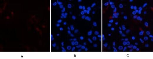
Immunofluorescence analysis of human-stomach tissue.
Immunohistochemical analysis of paraffin-embedded Mouse-heart tissue.
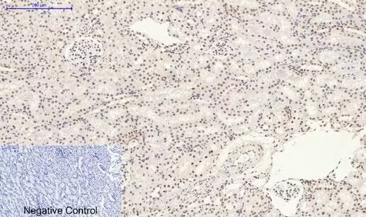
Immunohistochemical analysis of paraffin-embedded Rat-kidney tissue.
Immunohistochemical analysis of paraffin-embedded Human-uterus tissue.

如果您使用该产品12322发表了文章,请通知我们,让我们可以引用您的文献。

et al,Confirming whether novel rhein derivative 4a induces paraptosis-like cell death by endoplasmic reticulum stress in ovarian cancer cells. In Eur J Pharmacol on 2020 Nov 5 by Hui-Feng Pang, Xin-Xiao Li, et al..PMID:32890460 , (2020),
PMID: 32890460
et al,Targeting the non-ATP-binding pocket of the MAP kinase p38纬 mediates a novel mechanism of cytotoxicity in cutaneous T-cell lymphoma (CTCL).In FEBS Lett on 2021 Oct by Xu Hannah Zhang, Chih-Hong Chen,et al..PMID:34455585 , (2021),
PMID: 34455585
et al,Flavopiridol (Alvocidib), a Cyclin-dependent Kinases (CDKs) Inhibitor, Found Synergy Effects with Niclosamide in Cutaneous T-cell Lymphoma , (2021),
PMID: 34223559
et al,Olfactory receptors as tumor suppressors in cutaneous T-cell lymphoma via p38γ pathway modulation , (2025),
PMID: 40979072
et al,Novel oxicam nonsteroidal compound XK01 attenuates inflammation by suppressing the NF-κB and MAPK pathway in RAW264.7 macrophages. In Heliyon on 2024 Jan 9 by Jixiang Wang, Jiawang Tan,et al..PMID:38312593 , (2024),
PMID: 38312593

注释

应用

  • WB免疫印迹
  • IHC免疫组化
  • IF免疫荧光
  • ICC免疫细胞化学
  • FC流式细胞
  • IP免疫沉淀
  • E酶联免疫吸附法
  • DB免疫斑点法
  • ChIP染色质免疫沉淀
  • GICA胶体金免疫层析法
  • NC阴性对照

种属反应性

  • Hu
  • Ms小鼠
  • Rt大鼠
  • Dm果蝇
  • C线虫
  • Mk
  • Rb
  • B
  • D
  • P
  • Hm仓鼠
  • ChHm中国仓鼠
  • Chk
;

联系我们

Location :

南京市高新开发区星火路10号人才大厦C座

Phone :

400-9961-933
025-58868422

Email Address

info@sabbiotech.com