免费电话:400-9961-933
邮箱:info@sabbiotech.com
欢迎光临本站
川博智能体 English
位置: 首页 > 磷酸化抗体 > PERK (Phospho-Thr982) Polyclonal Antibody

PERK (Phospho-Thr982) Polyclonal Antibody #12379

是否有货: 有货
产品详情

产品名称PERK (Phospho-Thr982) Polyclonal Antibody

来源种属Rabbit

克隆性Polyclonal

纯化The antibody was affinity-purified from rabbit antiserum by affinity-chromatography using epitope-specific immunogen.

应用WB;IHC;IF

种属反应性Human;Mouse;Rat

特异性Phospho-PERK (T981) Polyclonal Antibody detects endogenous levels of PERK protein only when phosphorylated at T981.

免疫原描述Synthesized peptide derived from human PERK around the phosphorylation site of T981.

基因/蛋白名称PERK

标记Unconjugated

别名EIF2AK3; PEK; PERK; Eukaryotic translation initiation factor 2-alpha kinase 3; PRKR-like endoplasmic reticulum kinase; Pancreatic eIF2-alpha kinase; HsPEK

数据库入口号Swiss-Prot: Q9NZJ5
NCBI Gene ID: 9451

Uniprot Q9NZJ5

实际分子量130kd

浓度1mg/ml

配方Liquid in PBS containing 50% glycerol, 0.5% BSA and 0.02% sodium azide.

保存Store at -20˚C/1 year

Target种属human

应用详情
WB:1:500 - 1:2000;
IHC:1:100 - 1:300;
IF:1:50 - 1:200
Western blot analysis of lysates from 1) 453, 2) AD293 , 3) Hela cells, (Green) primary antibody was diluted at 1:1000, 4°over night。
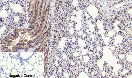
Immunohistochemical analysis of paraffin-embedded Rat-lung tissue. Antibody was diluted at 1:200(4℃,overnight). 2, Sodium citrate pH 6.0 was used for antibody retrieval(>98℃,20min). 3,Secondary antibody was diluted at 1:200(room tempeRature, 30min). Negative control was used by secondary antibody only.
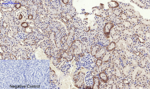
Immunohistochemical analysis of paraffin-embedded Rat-kidney tissue. Antibody was diluted at 1:200(4℃,overnight). 2, Sodium citrate pH 6.0 was used for antibody retrieval(>98℃,20min). 3,Secondary antibody was diluted at 1:200(room tempeRature, 30min). Negative control was used by secondary antibody only.
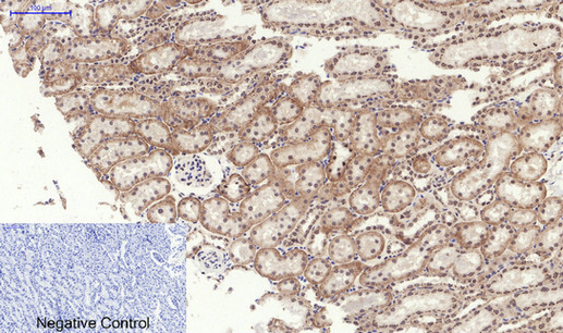
Immunohistochemical analysis of paraffin-embedded Mouse-kidney tissue. Antibody was diluted at 1:200(4℃,overnight). 2, Sodium citrate pH 6.0 was used for antibody retrieval(>98℃,20min). 3,Secondary antibody was diluted at 1:200(room tempeRature, 30min). Negative control was used by secondary antibody only.
Immunohistochemistry analysis of paraffin-embedded human prostate carcinoma. The picture on the right is blocked with the phospho peptide.
Immunofluorescence analysis of Hela cell. Antibody(green) was diluted at 1:200(4° overnight). 2, Goat Anti Rabbit Alexa Fluor 488 was diluted at 1:1000(room temperature, 50min). 3 DAPI(blue) 10min.

如果您使用该产品12379发表了文章,请通知我们,让我们可以引用您的文献。

et al,High glucose and bupivacaIne?Induced cytotoxicity is mediated by enhanced apoptosis and impaired autophagy via the PERK?ATF4?CHOP and IRE1?TRAF2 signalIng pathways. In Mol Med Rep on 2019 Sep by Liu Y, Sun L, et al..PMID:31524237 , (2019),
PMID: 31524237
et al,Ginsenosides reduce body weight and ameliorate hepatic steatosis in high fat diet?induced obese mice via endoplasmic reticulum stress and p?STAT3/STAT3 signaling.In Mol Med Rep on 2020 Mar; by Yao Y et al..PMID:32016448 , (2020),
PMID: 32016448
et al,Qing Hua Chang Yin ameliorates chronic colitis in mice by inhibiting PERK–ATF4–CHOP pathway of ER stress and the NF-κB signalling pathway. In Pharm Biolon 2024 Dec by Liya Liu, Youqin Chen,et al..PMID:39034914 , (2024),
PMID: 39034914
et al,Lentinan inhibited colon cancer growth by inducing endoplasmic reticulum stress-mediated autophagic cell death and apoptosis , (2021),
PMID: 34119128
et al,Artemisinin alleviates astrocyte overactivation and neuroinflammation by modulating the IRE1/NF-κB signaling pathway in in vitro and in vivo Alzheimer's disease models. , (2025),
PMID: 39826816
et al,CUMS induces depressive-like behaviors and cognition impairment by activating the ERS-NLRP3 signaling pathway in mice. , (2025),
PMID: 39378914

注释

应用

  • WB免疫印迹
  • IHC免疫组化
  • IF免疫荧光
  • ICC免疫细胞化学
  • FC流式细胞
  • IP免疫沉淀
  • E酶联免疫吸附法
  • DB免疫斑点法
  • ChIP染色质免疫沉淀
  • GICA胶体金免疫层析法
  • NC阴性对照

种属反应性

  • Hu
  • Ms小鼠
  • Rt大鼠
  • Dm果蝇
  • C线虫
  • Mk
  • Rb
  • B
  • D
  • P
  • Hm仓鼠
  • ChHm中国仓鼠
  • Chk
;

联系我们

Location :

南京市高新开发区星火路10号人才大厦C座

Phone :

400-9961-933
025-58868422

Email Address

info@sabbiotech.com