免费电话:400-9961-933
邮箱:info@sabbiotech.com
欢迎光临本站
川博智能体 English
位置: 首页 > 磷酸化抗体 > EPHB1 (Phospho-Tyr928) Antibody

EPHB1 (Phospho-Tyr928) Antibody #12717

是否有货: 有货
产品详情

产品名称EPHB1 (Phospho-Tyr928) Antibody

来源种属Rabbit

克隆性Polyclonal

亚型IgG

纯化affinity purified by Protein A

应用WB;IHC;IF

种属反应性Human;Mouse;Rat

特异性EPHB1 (Phospho-Tyr928) Antibody detects endogenous levels of EPHB1 only when phosphorylated at Tyr928

免疫原类型Peptide

免疫原描述KLH conjugated Synthesised phosphopeptide derived from human EphB1 around the phosphorylation site of Tyr928: VQ(p-Y)RD

基因/蛋白名称EPHB1

标记Unconjugated

别名EPHB1, Cek6, EK6, ELK, Ephrin type-B receptor 1, Hek6, EPHT2, NET, EPH receptor B1, EPH tyrosine kinase 2, EPH-like kinase 6, Soluble EPHB1 variant 1

数据库入口号Swiss-Prot#: P54762
NCBI Gene ID: 2047

Uniprot P54762

计算分子量106 kDa

浓度1.0mg/ml

配方0.01M TBS (pH7.4) with 1% BSA, 0.02% Proclin300 and 50% Glycerol.

保存Store at -20˚C

Target种属human

应用详情
WB 1:500 - 1:2000; IHC 1:100 - 1:500; IF 1:100 - 1:500
Sample:
Ovary (Mouse) Lysate at 40 ug
Primary: at 1/300 dilution
Secondary: at 1/20000 dilution
Predicted band size: 106 kD
Observed band size: 121 kD
Sample:
Lane 1: Mouse Testis tissue lysates
Lane 2: Mouse NIH/3T3 cell lysates
Lane 3: Human U251 cell lysates
Lane 4: Human U87MG cell lysates
Lane 5: Human MCF-7 cell lysates
Lane 6: Human U-2 OS cell lysates
Primary: at 1/1000 dilution
Secondary: at 1/20000 dilution
Predicted band size: 106 kDa
Observed band size: 130 kDa
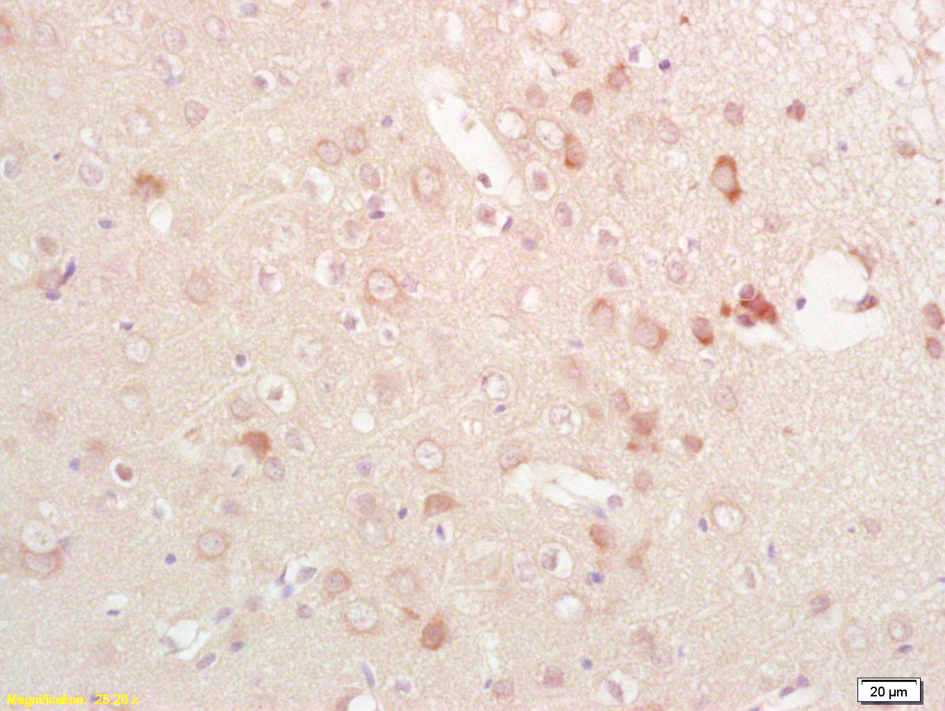
Tissue/cell: Rat brain; 4% Paraformaldehyde-fixed and paraffin-embedded; Antigen retrieval: citrate buffer ( 0.01M, pH 6.0 ), Boiling bathing for 15min; Block endogenous peroxidase by 3% Hydrogen peroxide for 30min; Blocking buffer (normal goat serum) at 37℃ for 20 min; Primary:1:200, overnight at 4°C

如果您使用该产品12717发表了文章,请通知我们,让我们可以引用您的文献。

et al,[HTML][HTML] Role of Qrich1-mediated endoplasmic reticulum stress pathway in Berberine inhibition of NF-κB activation induced by cerebral ischemia-reperfusion injury , (2025),
PMID: 41412375

注释

应用

  • WB免疫印迹
  • IHC免疫组化
  • IF免疫荧光
  • ICC免疫细胞化学
  • FC流式细胞
  • IP免疫沉淀
  • E酶联免疫吸附法
  • DB免疫斑点法
  • ChIP染色质免疫沉淀
  • GICA胶体金免疫层析法
  • NC阴性对照

种属反应性

  • Hu
  • Ms小鼠
  • Rt大鼠
  • Dm果蝇
  • C线虫
  • Mk
  • Rb
  • B
  • D
  • P
  • Hm仓鼠
  • ChHm中国仓鼠
  • Chk
;

联系我们

Location :

南京市高新开发区星火路10号人才大厦C座

Phone :

400-9961-933
025-58868422

Email Address

info@sabbiotech.com