免费电话:400-9961-933
邮箱:info@sabbiotech.com
欢迎光临本站
川博智能体 English
位置: 首页 > 鼠单克隆抗体 > Phosphotyrosine Monoclonal antibody(2C1)

Phosphotyrosine Monoclonal antibody(2C1) #12829

是否有货: 有货
产品详情

产品名称Phosphotyrosine Monoclonal antibody(2C1)

克隆号2C1

来源种属Mouse

克隆性Monoclonal

亚型IgG1

应用WB IHC

特异性The antibody detects endogenous Phosphotyrosine Monoclonal Antibody(2C1)

免疫原类型Recombinant Protein

免疫原描述Recombinant Protein

基因/蛋白名称Phosphotyrosine

标记Unconjugated

别名Phosphotyrosine

浓度1mg/ml

配方Liquid in PBS containing 50% glycerol, 0.5% BSA and 0.02% sodium azide.

保存Store at -20˚C/1 year

应用详情

Western blotting: 1:1000-1:3000
Immunohistochemistry: 1:50-1:200

Western blot analysis of 1) Jurkat, 2) 293T, 3) Rat Brain Tissue, 4) Mouse Brain Tissue with Phosphotyrosine Mouse mAb diluted at 1:2,000.
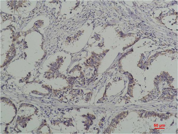
Immunohistochemical analysis of paraffin-embedded Human Breast Caricnoma using PhosphotyrosineMouse mAb diluted at 1:200.

如果您使用该产品12829发表了文章,请通知我们,让我们可以引用您的文献。

et al,Discovery of a novel inhibitor of the protein tyrosine phosphatase Shp2.In Sci Rep on 2015 Dec 2 by Chuan Chen , Mengmeng Cao et al..PMID: 26626996 , (2015),
PMID: 26626996

注释

应用

  • WB免疫印迹
  • IHC免疫组化
  • IF免疫荧光
  • ICC免疫细胞化学
  • FC流式细胞
  • IP免疫沉淀
  • E酶联免疫吸附法
  • DB免疫斑点法
  • ChIP染色质免疫沉淀
  • GICA胶体金免疫层析法
  • NC阴性对照

种属反应性

  • Hu
  • Ms小鼠
  • Rt大鼠
  • Dm果蝇
  • C线虫
  • Mk
  • Rb
  • B
  • D
  • P
  • Hm仓鼠
  • ChHm中国仓鼠
  • Chk
;

联系我们

Location :

南京市高新开发区星火路10号人才大厦C座

Phone :

400-9961-933
025-58868422

Email Address

info@sabbiotech.com