免费电话:400-9961-933
邮箱:info@sabbiotech.com
欢迎光临本站
川博智能体 English
位置: 首页 > 磷酸化抗体 > Phospho-Smad3(S425) Mouse Monoclonal Antibody(1D9)

Phospho-Smad3(S425) Mouse Monoclonal Antibody(1D9) #12838

是否有货: 有货
产品详情

产品名称Phospho-Smad3(S425) Mouse Monoclonal Antibody(1D9)

克隆号1D9

来源种属Mouse

克隆性Monoclonal

亚型IgG1

应用IHC

种属反应性Human;Mouse;Rat

特异性The antibody detects endogenous Phospho-Smad3(S425) protein

免疫原类型Peptide

免疫原描述Synthetic Peptide of Phospho-Smad3(S425)

基因/蛋白名称Smad3

标记Unconjugated

别名Mothers against decapentaplegic homolog 3 (MAD homolog 3) (Mad3) (Mothers against DPP homolog 3) (hMAD-3) (JV15-2) (SMAD family member 3) (SMAD 3) (Smad3) (hSMAD3)

Uniprot P84022

计算分子量52kd

浓度1mg/ml

配方Liquid in PBS containing 50% glycerol, 0.5% BSA and 0.02% sodium azide.

保存Store at -20˚C/1 year

应用详情


Immunohistochemistry: 1:50-1:200

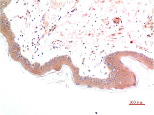
Immunohistochemical analysis of paraffin-embedded Human Skin Tissue using Phospho-Smad3(S425)Mouse mAb diluted at 1:200
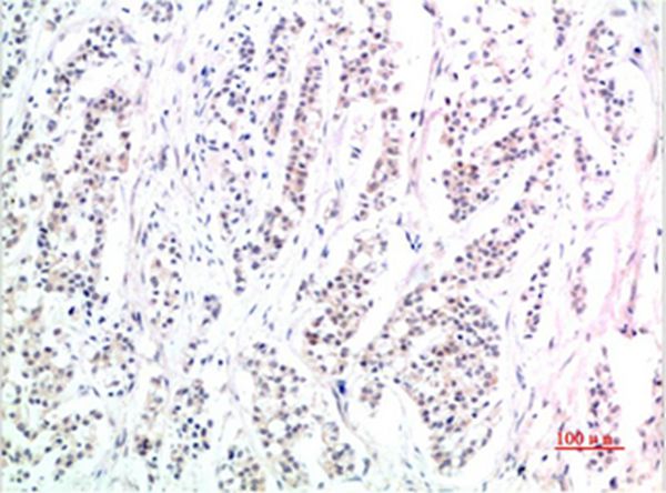
Immunohistochemical analysis of paraffin-embedded Human Stomach Carcinoma Tissue using Phospho-Smad3(S425) Mouse mAb diluted at 1:200

如果您使用该产品12838发表了文章,请通知我们,让我们可以引用您的文献。

et al,Gastrodin attenuates renal injury and collagen deposition via suppression of the TGF-β1/Smad2/3 signaling pathway based on network pharmacology analysis InFront PharmacolOn2023 Jan 17byYing Wen , Xiuli Zhang et al..PMID:36733505 , (2023),
PMID: 36733505

注释

应用

  • WB免疫印迹
  • IHC免疫组化
  • IF免疫荧光
  • ICC免疫细胞化学
  • FC流式细胞
  • IP免疫沉淀
  • E酶联免疫吸附法
  • DB免疫斑点法
  • ChIP染色质免疫沉淀
  • GICA胶体金免疫层析法
  • NC阴性对照

种属反应性

  • Hu
  • Ms小鼠
  • Rt大鼠
  • Dm果蝇
  • C线虫
  • Mk
  • Rb
  • B
  • D
  • P
  • Hm仓鼠
  • ChHm中国仓鼠
  • Chk
;

联系我们

Location :

南京市高新开发区星火路10号人才大厦C座

Phone :

400-9961-933
025-58868422

Email Address

info@sabbiotech.com