免费电话:400-9961-933
邮箱:info@sabbiotech.com
欢迎光临本站
川博智能体 English
位置: 首页 > 磷酸化抗体 > FAK (Phospho-Ser 722) Antibody

FAK (Phospho-Ser 722) Antibody #13327

是否有货: Yes
产品详情

产品名称FAK (Phospho-Ser 722) Antibody

克隆号4G1

来源种属Mouse

纯化ProA affinity purified

应用WB, IP, IF, IHC(P)

种属反应性Human;Mouse;Rat

免疫原描述peptide

标记Unconjugated

别名FADK 1 antibody
FADK antibody
FAK related non kinase polypeptide antibody
FAK1 antibody
FAK1_HUMAN antibody
Focal adhesion kinase 1 antibody
Focal adhesion Kinase antibody
Focal adhesion kinase isoform FAK Del33 antibody
Focal adhesion kinase related nonkinase antibody
FRNK antibody
p125FAK antibody
pp125FAK antibody
PPP1R71 antibody
Protein phosphatase 1 regulatory subunit 71 antibody
Protein tyrosine kinase 2 antibody
Protein-tyrosine kinase 2 antibody
Ptk2 antibody
PTK2 protein tyrosine kinase 2 antibody

数据库入口号Swiss-Prot#:Q05397

Uniprot Q05397

计算分子量125 kDa

配方1*TBS (pH7.4), 1%BSA, 40%Glycerol. Preservative: 0.05% Sodium Azide.

保存Store at 4˚C

应用详情

WB: 1:100-1:1,000
IHC: 1:50-1:500

IP: 1-2 μg per 100-500 μg of total protein(1 ml of cell lysate)

A.Western blot analysis of FAK phosphorylation in non-transfected:(A,D), untreated human FAK transfected:(B,E) and lambda protein phosphatase treated human FAK transfected:(C,F) 293T whole cell lysates. Antibodies tested include p-FAK (A-12):(A,B,C) and FAK (C-903):(D,E,F).
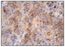
B.Immunoperoxidase staining of formalin fixed, paraffin-embedded human adrenal gland tissue showing cytoplasmic staining of glandular cells.

Activation of integrins in the extracellular matrix (ECM) of eukaryotic cells promotes the formation of membrane adhesion complexes, known as focal adhesions, which can include cytoskeletal proteins and protein tyrosine kinases, such as focal adhesion kinase (FAK). Phosphorylation events occurring within focal adhesions influence numerous processes that include mitogenic signaling, cell survival and cell motility. FAK is a non-receptor tyrosine kinase that is ubiquitously expressed and highly conserved between species. FAK is recruited by integrin clusters and variably phosphorylated depending on the effector molecules present in the focal adhesion. Phospho-rylation of FAK Tyr 397 decreases during serum starvation, contact inhibition and cell cycle arrest, all conditions under which activating FAK Tyr 407 phosphorylation increases.

如果您使用该产品13327发表了文章,请通知我们,让我们可以引用您的文献。

et al,Anticancer Effect of Heparin-Taurocholate Conjugate on Orthotopically Induced Exocrine and Endocrine Pancreatic Cancer , (2021),
PMID: 34830928

注释

应用

  • WB免疫印迹
  • IHC免疫组化
  • IF免疫荧光
  • ICC免疫细胞化学
  • FC流式细胞
  • IP免疫沉淀
  • E酶联免疫吸附法
  • DB免疫斑点法
  • ChIP染色质免疫沉淀
  • GICA胶体金免疫层析法
  • NC阴性对照

种属反应性

  • Hu
  • Ms小鼠
  • Rt大鼠
  • Dm果蝇
  • C线虫
  • Mk
  • Rb
  • B
  • D
  • P
  • Hm仓鼠
  • ChHm中国仓鼠
  • Chk
;

联系我们

Location :

南京市高新开发区星火路10号人才大厦C座

Phone :

400-9961-933
025-58868422

Email Address

info@sabbiotech.com