免费电话:400-9961-933
邮箱:info@sabbiotech.com
欢迎光临本站
川博智能体 English
位置: 首页 > 磷酸化抗体 > eIF-2a(Phospho-Ser51) Rabbit mAb

eIF-2a(Phospho-Ser51) Rabbit mAb #13338

是否有货: Yes
产品详情

产品名称eIF-2a(Phospho-Ser51) Rabbit mAb

克隆号SZ01-06

来源种属Recombinant Rabbit

克隆性Monoclonal

亚型IgG

纯化ProA affinity purified

应用WB;ICC/IF;IHC

种属反应性Human;Mouse;Rat

免疫原描述Synthetic phospho-peptide corresponding to residues surrounding Ser51 of human eIF-2a.

基因/蛋白名称EIF2A

标记Unconjugated

别名EIF 2 alpha antibody
EIF 2 antibody
EIF 2A antibody
EIF 2alpha antibody
eIF-2-alpha antibody
eIF-2A antibody
EIF-2alpha antibody
EIF2 alpha antibody
EIF2 antibody
EIF2A antibody
EIF2S1 antibody
Eukaryotic translation initiation factor 2 subunit 1 alpha 35kDa antibody
Eukaryotic translation initiation factor 2 subunit 1 alpha antibody
Eukaryotic translation initiation factor 2 subunit 1 antibody
Eukaryotic translation initiation factor 2 subunit alpha antibody
IF2A_HUMAN antibody

数据库入口号Swiss-Prot#:Q9BY44

Uniprot Q9BY44

计算分子量36 kDa

实际分子量38 kDa

配方1*TBS (pH7.4), 1%BSA, 40%Glycerol. Preservative: 0.05% Sodium Azide.

保存Store at -20˚C

应用详情
WB: 1:500-1:2000
ICC/IF: 1:50-1:200
IHC: 1:50-1:200
All lanes : eIF-2a(Phospho-S51) Rabbit mAb at 1/1k dilution
Lane 1 : HeLa treated with 100nM Calyculin A for 30min whole cell lysates
Lane 2 : Hela whole cell lysates
Lysates/proteins at 20 µg per lane.
Secondary
All lanes : Goat Anti-Rabbit IgG H&L (HRP) at 1/20000 dilution
Predicted band size: 36 kDa
Observed band size: 38 kDa
Exposure time: 6 seconds
All lanes : eIF-2a(Phospho-S51)Rabbit mAb at 1/1k dilution
Lane 1 : 3T3 whole cell lysates
Lane 2 : PC12 whole cell lysates
Lane 3 : C6 whole cell lysates
Lysates/proteins at 20 µg per lane.
Secondary
All lanes : Goat Anti-Rabbit IgG H&L (HRP) at 1/20000 dilution
Predicted band size: 36 kDa
Observed band size: 38 kDa
Exposure time: 5 seconds
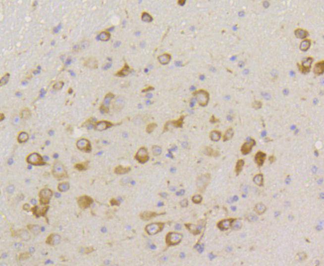
Formalin-fixed;paraffin-embedded mouse brain tissue stained for eIF-2a (Phospho-S51) using 13338 at 1/100 dilution in immunohistochemical analysis.
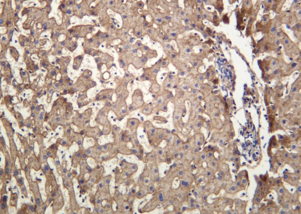
Formalin-fixed;paraffin-embedded human liver tissue stained for eIF-2a (Phospho-S51) using 13338 at 1/100 dilution in immunohistochemical analysis.
Immunocytochemistry/ Immunofluorescence eIF-2a (Phospho-S51) antibody (13338)
ICC/IF staining of eIF-2a (Phospho-S51) in Hela cells. Cells were fixed with 4% Paraformaldehyde permeabilized with 0.1% Triton X-100.
Samples were incubated with 13338 at a working dilution of 1/100. The secondary antibody was Alexa Fluor®488 goat anti rabbit;used at a dilution of 1/500.
Nuclei were counterstained with DAPI.

Phosphorylation of the eukaryotic initiation factor 2 (eIF2) α subunit is a well-documented mechanism to downregulate protein synthesis under a variety of stress conditions. Eukaryotic initiation factor 2 binds GTP and Met-tRNAi and transfers Met-tRNA to the 40S subunit to form the 43S preinitiation complex. eIF2 promotes a new round of translation initiation by exchanging GDP for GTP, a reaction catalyzed by eIF2B. Kinases that are activated by viral infection (PKR), endoplasmic reticulum stress (PERK/PEK), amino acid deprivation (GCN2), or heme deficiency (HRI) can phosphorylate the α subunit of eIF2. This phosphorylation stabilizes the eIF2-GDP-eIF2B complex and inhibits the turnover of eIF2B. Induction of PKR by IFN-γ and TNF-α induces potent phosphorylation of eIF2α at Ser51.

如果您使用该产品13338发表了文章,请通知我们,让我们可以引用您的文献。

et al,Sensory neuron TRPV1-mediated macrophage polarization and immune response regulate dental implant osseointegration , (2025),
PMID: 41297248

注释

应用

  • WB免疫印迹
  • IHC免疫组化
  • IF免疫荧光
  • ICC免疫细胞化学
  • FC流式细胞
  • IP免疫沉淀
  • E酶联免疫吸附法
  • DB免疫斑点法
  • ChIP染色质免疫沉淀
  • GICA胶体金免疫层析法
  • NC阴性对照

种属反应性

  • Hu
  • Ms小鼠
  • Rt大鼠
  • Dm果蝇
  • C线虫
  • Mk
  • Rb
  • B
  • D
  • P
  • Hm仓鼠
  • ChHm中国仓鼠
  • Chk
;

联系我们

Location :

南京市高新开发区星火路10号人才大厦C座

Phone :

400-9961-933
025-58868422

Email Address

info@sabbiotech.com