免费电话:400-9961-933
邮箱:info@sabbiotech.com
欢迎光临本站
川博智能体 English
位置: 首页 > 磷酸化抗体 > GSK3(alpha/beta)(Phospho-Y216/Y279) Rabbit mAb

GSK3(alpha/beta)(Phospho-Y216/Y279) Rabbit mAb #13355

是否有货: Yes
产品详情

产品名称GSK3(alpha/beta)(Phospho-Y216/Y279) Rabbit mAb

克隆号SY26-05

来源种属Recombinant Rabbit

克隆性Monoclonal

亚型IgG

纯化ProA affinity purified

应用WB;ICC/IF;IHC

种属反应性Human;Mouse;Rat

免疫原描述Synthetic phospho-peptide corresponding to residues surrounding Tyr216 and 279 of human GSK3(alpha+beta).

基因/蛋白名称GSK3A

标记Unconjugated

别名Factor A antibody
Glycogen synthase kinase 3 alpha antibody
Glycogen synthase kinase 3 beta antibody
GSK3 alpha antibody
GSK3 beta antibody
GSK3B antibody

数据库入口号Swiss-Prot#:P49840

Uniprot P49840

计算分子量47,51 kDa

实际分子量47,51 kDa

配方1*TBS (pH7.4), 1%BSA, 40%Glycerol. Preservative: 0.05% Sodium Azide.

保存Store at -20˚C

应用详情
WB: 1:500-1:2000
ICC/IF: 1:50-1:200
IHC: 1:50-1:200
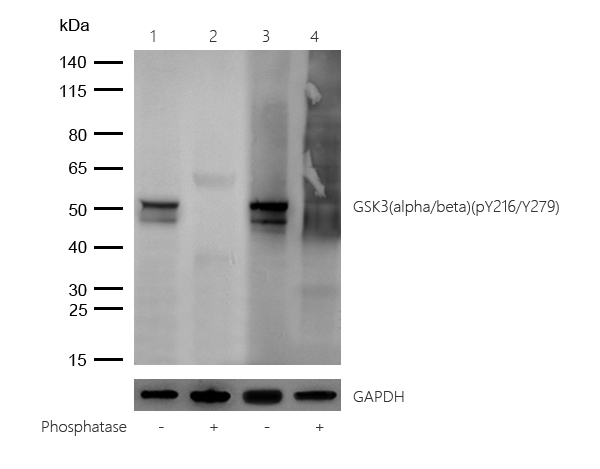
All lanes : GSK3(alpha/beta)(Phospho-Y216/Y279) Rabbit mAb at 1/1k dilution
Lane 1 : 293T whole cell lysates
Lane 2 : 293T treated with Lambda Protein Phosphatase for 30min whole cell
Lane 3 : MCF7 whole cell lysates
Lane 4 : MCF7 treated with Lambda Protein Phosphatase for 30min whole cell
Lysates/proteins at 20 µg per lane.
Secondary
All lanes : Goat Anti-Rabbit IgG H&L (HRP) at 1/20000 dilution
Predicted band size: 47,51 kDa
Observed band size: 47,51 kDa
Exposure time: 7 seconds
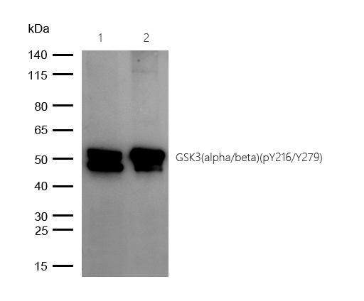
All lanes : GSK3(alpha/beta)(Phospho-Y216/Y279) Rabbit mAb at 1/1k dilution
Lane 1 : Mouse Brain lysates
Lane 2 : Rat Brain lysates
Lysates/proteins at 20 µg per lane.
Secondary
All lanes : Goat Anti-Rabbit IgG H&L (HRP) at 1/20000 dilution
Predicted band size: 47,51 kDa
Observed band size: 47,51 kDa
Exposure time: 6 seconds
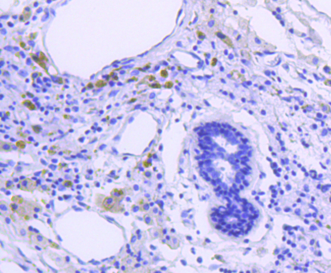
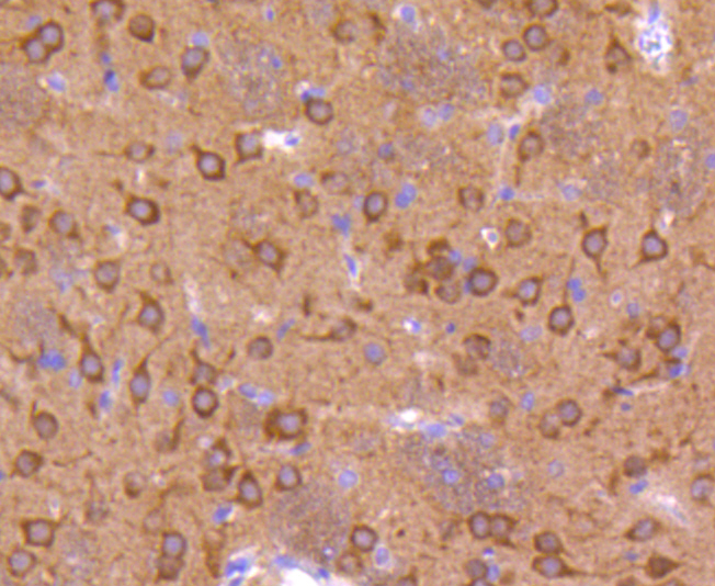
Formalin-fixed;paraffin-embedded rat brain tissue stained for GSK3(alpha/beta)(Phospho-Y216/Y279) using 13355 at 1/100 dilution in immunohistochemical analysis.
Formalin-fixed;paraffin-embedded human breast carcinoma tissue stained for GSK3(alpha/beta)(Phospho-Y216/Y279) using 13355 at 1/100 dilution in immunohistochemical analysis.
Formalin-fixed;paraffin-embedded mouse brain tissue stained for GSK3(alpha/beta)(Phospho-Y216/Y279) using 13355 at 1/100 dilution in immunohistochemical analysis.
Immunocytochemistry/ Immunofluorescence GSK3(alpha/beta)antibody(Phospho-Y216/Y279) antibody (13355)
ICC/IF staining of GSK3(alpha/beta)antibody(Phospho-Y216/Y279) in Hela cells. Cells were fixed with 4% Paraformaldehyde permeabilized with 0.1% Triton X-100.
Samples were incubated with 13355 at a working dilution of 1/100. The secondary antibody was Alexa Fluor® 488 goat anti rabbit;used at a dilution of 1/500.
Nuclei were counterstained with DAPI.

Glycogen synthase kinase-3α (GSK-3α) and GSK-3β are highly similar isoforms of serine/ threonine kinases that regulate metabolic enzymes and transcription factors, which are responsible for coordinating processes such as glycogen synthesis and cell adhesion. GSK-3β activity is also required for nuclear activity of Rel dimers, which mediate an anti-apoptotic response to TNFα in mice. GSK-3 catalytic kinase activity is controlled through differential phosphorylation of serine/threonine residues, which have an inhibitory effect, and tyrosine residues, which have an activating effect. Growth factor stimulation of mammalian cells expressing GSK-3α and GSK-3β induces phosphorylation of Ser 21 and Ser 9, respectively, through a phosphatidylinositol 3-kinase (PI 3-K)-protein kinase B (PKB)-dependent pathway, thereby enhancing proliferative signals. Additionally, GSK-3 physically associates with cAMP-dependent protein kinase A (PKA), which phosphorylates Ser 21 of GSK-3α or Ser 9 of GSK-3β and inactivates both forms. GSK-3α/β is positively regulated by phosphorylation on Tyr 279 and Tyr 216, respectively. Activated GSK-3α/β participates in energy metabolism, neuronal cell development, and body pattern formation. Tyrosine dephosphorylation of GSK-3 is involved in its extracellular signal-dependent inactivation.

如果您使用该产品13355发表了文章,请通知我们,让我们可以引用您的文献。

et al,Grass carp (Ctenopharyngodon idellus) SHP2 suppresses IFN I expression via decreasing the phosphorylation of GSK3 beta in a non-contact manner , (2021),
PMID: 34265416

注释

应用

  • WB免疫印迹
  • IHC免疫组化
  • IF免疫荧光
  • ICC免疫细胞化学
  • FC流式细胞
  • IP免疫沉淀
  • E酶联免疫吸附法
  • DB免疫斑点法
  • ChIP染色质免疫沉淀
  • GICA胶体金免疫层析法
  • NC阴性对照

种属反应性

  • Hu
  • Ms小鼠
  • Rt大鼠
  • Dm果蝇
  • C线虫
  • Mk
  • Rb
  • B
  • D
  • P
  • Hm仓鼠
  • ChHm中国仓鼠
  • Chk
;

联系我们

Location :

南京市高新开发区星火路10号人才大厦C座

Phone :

400-9961-933
025-58868422

Email Address

info@sabbiotech.com