免费电话:400-9961-933
邮箱:info@sabbiotech.com
欢迎光临本站
川博智能体 English
位置: 首页 > 磷酸化抗体 > c-Jun(Phospho-S63) Rabbit mAb

c-Jun(Phospho-S63) Rabbit mAb #13361

是否有货: Yes
产品详情

产品名称c-Jun(Phospho-S63) Rabbit mAb

克隆号SY0297

来源种属Recombinant Rabbit

克隆性Monoclonal

纯化ProA affinity purified

应用WB, ICC, IHC

种属反应性Human;Mouse;Rat

免疫原描述Synthetic phospho-peptide corresponding to residues surrounding Ser63 of human c-Jun.

标记Unconjugated

别名Activator protein 1 antibody
AP 1 antibody
AP1 antibody
cJun antibody
Enhancer Binding Protein AP1 antibody
Jun Activation Domain Binding Protein antibody
JUN antibody
Jun oncogene antibody
JUN protein antibody
Jun proto oncogene antibody
JUN_HUMAN antibody
JUNC antibody
Oncogene JUN antibody
p39 antibody
Proto oncogene c jun antibody
Proto oncogene cJun antibody
Proto-oncogene c-jun antibody
Transcription Factor AP 1 antibody
Transcription factor AP-1 antibody
Transcription Factor AP1 antibody
V jun avian sarcoma virus 17 oncogene homolog antibody
V jun sarcoma virus 17 oncogene homolog (avian) antibody
V jun sarcoma virus 17 oncogene homolog antibody
V-jun avian sarcoma virus 17 oncogene homolog antibody
vJun Avian Sarcoma Virus 17 Oncogene Homolog antibody

数据库入口号Swiss-Prot#:P05412

Uniprot P05412

计算分子量40 kDa

配方1*TBS (pH7.4), 1%BSA, 40%Glycerol. Preservative: 0.05% Sodium Azide.

保存Store at -20˚C

应用详情

WB: 1:1,000-1:2,000
IHC: 1:50-1:100
ICC: 1:50-1:200

Western blot analysis of Phospho-c-Jun(S63) on different lysates using anti-Phospho-c-Jun(S63) antibody at 1/1,000 dilution. Positive control:
Lane 1: NIH/3T3
Lane 2: 293T
Immunohistochemical analysis of paraffin-embedded human breast carcinoma tissue using anti-Phospho-c-Jun(S63) antibody. Counter stained with hematoxylin.
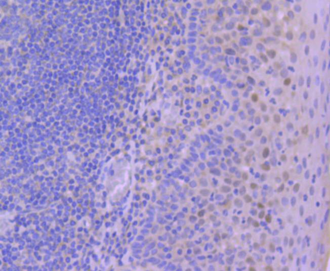
Immunohistochemical analysis of paraffin-embedded human tonsil tissue using anti-Phospho-c-Jun(S63) antibody. Counter stained with hematoxylin.
ICC staining Phospho-c-Jun(S63) in PC-3M cells (green). The nuclear counter stain is DAPI (blue). Cells were fixed in paraformaldehyde, permeabilised with 0.25% Triton X100/PBS.
ICC staining Phospho-c-Jun(S63) in MCF-7 cells (green). The nuclear counter stain is DAPI (blue). Cells were fixed in paraformaldehyde, permeabilised with 0.25% Triton X100/PBS.
ICC staining Phospho-c-Jun(S63) in A549 cells (green). The nuclear counter stain is DAPI (blue). Cells were fixed in paraformaldehyde, permeabilised with 0.25% Triton X100/PBS.

Genes belonging to the Jun and Fos oncogene families encode nuclear proteins that are associated with a number of transcriptional complexes. The c-Jun protein is a major component of the transcription factor AP-1, originally shown to mediate phorbol ester tumor promoter (TPA)-induced expression of responsive genes through the TPA-response element (TRE). The Jun proteins form homo- and heterodimers which bind the TRE, while Fos proteins are active only as heterodimers with any of the Jun proteins. Fos/Jun heterodimers have a much higher affinity for the TRE than Jun homodimers. Ha-Ras augments c-Jun activity and stimulates phosphorylation of its activation domain. An inhibitor of Fos/Jun function, termed IP-1, associates with Fos and Jun and is inactivated upon phosphorylation induced by the cAMP-dependent protein kinase A (PKA).

如果您使用该产品13361发表了文章,请通知我们,让我们可以引用您的文献。

et al,Upregulation of SNTB1 Correlates with Poor Prognosis and Promotes Cell Growth in Colorectal Cancer. In Cancer Cell Int on 2021 Oct 18 by Liya Liu, Youqin Chen,et al..PMID: 34663329 , (2021),
PMID: 34663329
et al,Exploration of the lactation function of protein phosphorylation sites in goat mammary tissues by phosphoproteome analysis , (2021),
PMID: 34583635

注释

应用

  • WB免疫印迹
  • IHC免疫组化
  • IF免疫荧光
  • ICC免疫细胞化学
  • FC流式细胞
  • IP免疫沉淀
  • E酶联免疫吸附法
  • DB免疫斑点法
  • ChIP染色质免疫沉淀
  • GICA胶体金免疫层析法
  • NC阴性对照

种属反应性

  • Hu
  • Ms小鼠
  • Rt大鼠
  • Dm果蝇
  • C线虫
  • Mk
  • Rb
  • B
  • D
  • P
  • Hm仓鼠
  • ChHm中国仓鼠
  • Chk
;

联系我们

Location :

南京市高新开发区星火路10号人才大厦C座

Phone :

400-9961-933
025-58868422

Email Address

info@sabbiotech.com