免费电话:400-9961-933
邮箱:info@sabbiotech.com
欢迎光临本站
川博智能体 English
位置: 首页 > 磷酸化抗体 > SIRT1(Phospho-S47) Rabbit mAb

SIRT1(Phospho-S47) Rabbit mAb #13397

是否有货: Yes
产品详情

产品名称SIRT1(Phospho-S47) Rabbit mAb

克隆号SN06-40

来源种属Rabbit

克隆性Monoclonal

纯化ProA affinity purified

应用WB;ICC/IF;IHC

种属反应性Human

免疫原描述Synthetic phospho-peptide corresponding to residues surrounding Ser47 of human SIRT1

标记Unconjugated

别名75SirT1 antibody
hSIR2 antibody
hSIRT1 antibody
HST2, S. cerevisiae, homolog of antibody
NAD dependent deacetylase sirtuin 1 antibody
NAD dependent protein deacetylase sirtuin 1 antibody
OTTHUMP00000198111 antibody
OTTHUMP00000198112 antibody
Regulatory protein SIR2 homolog 1 antibody
SIR1_HUMAN antibody
SIR2 antibody
SIR2 like 1 antibody
SIR2 like protein 1 antibody
SIR2, S.cerevisiae, homolog-like 1 antibody
SIR2-like protein 1 antibody
SIR2ALPHA antibody
SIR2L1 antibody
Sirt1 antibody
SirtT1 75 kDa fragment antibody
Sirtuin (silent mating type information regulation 2 homolog) 1 (S. cerevisiae) antibody
Sirtuin 1 antibody
Sirtuin type 1 antibody

数据库入口号Swiss-Prot#:Q96EB6

Uniprot Q96EB6

计算分子量82 kDa

实际分子量120 kDa

配方1*TBS (pH7.4), 1%BSA, 40%Glycerol. Preservative: 0.05% Sodium Azide.

保存Store at -20˚C

应用详情
WB: 1:500-1:2000
ICC/IF: 1:50-1:200
IHC: 1:50-1:200
All lanes : SIRT1(Phospho-S47) Rabbit mAb at 1/1k dilution
Lane 1 : 293T whole cell lysates
Lane 2 : 293T treated with 100nM Calyculin A for 30min whole cell lysate
Lysates/proteins at 20 µg per lane.
Secondary
All lanes : Goat Anti-Rabbit IgG H&L (HRP) at 1/20000 dilution
Predicted band size: 82 kDa
Observed band size: 120 kDa
Exposure time: 12 seconds
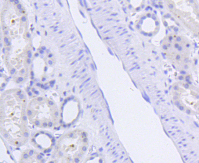
Formalin-fixed;paraffin-embedded human kidney tissue stained for SIRT1 (Phospho-S47) using 13397 at 1/100 dilution in immunohistochemical analysis.
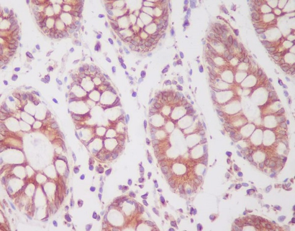
Formalin-fixed;paraffin-embedded human colon tissue stained for SIRT1 (Phospho-S47) using 13397 at 1/100 dilution in immunohistochemical analysis.
Immunocytochemistry/ Immunofluorescence SIRT1(Phospho- S47) antibody (13397)
ICC/IF staining of SIRT1(Phospho- S47) in HeLa cells. Cells were fixed with 4% Paraformaldehyde permeabilized with 0.1% Triton X-100.
Samples were incubated with 13397 at a working dilution of 1/100. The secondary antibody was Alexa Fluor® 647 goat anti rabbit;used at a dilution of 1/500.
Nuclei were counterstained with DAPI.

The silent information regulator (SIR2) family of genes are highly-conserved from prokaryotes to eukaryotes and are involved in diverse processes, including transcriptional regulation, cell cycle progression, DNA-damage repair and aging. In S. cerevisiae, Sir2p deacetylates histones in an NAD-dependent manner, which regulates silencing at the telomeric, rDNA and silent mating-type loci. Sir2p is the founding member of a large family, designated sirtuins, which contain a conserved catalytic domain. The human homologs, which include SIRT1-7, are divided into four main branches: SIRT1-3 are class I, SIRT4 is class II, SIRT5 is class III and SIRT6-7 are class IV. SIRT1 has the closest homology to the yeast Sir2p and is widely expressed in fetal and adult tissues. SIRT1 is highly expressed in heart, brain and skeletal muscle, with low expression in lung and placenta. SIRT1 regulates the p53-dependent DNA damage response pathway by binding to and deacetylating p53, specifically at Lys 382.

如果您使用该产品13397发表了文章,请通知我们,让我们可以引用您的文献。

et al,Alteration in branching morphogenesis via YAP/TAZ in fibroblasts of fetal lungs in an LPS-induced inflammation modelIn Mol MedOn2023 Jan 30byHung-Shuo Ko , Vincent Laiman et al..PMID:36717779 , (2023),
PMID: 36717779

注释

应用

  • WB免疫印迹
  • IHC免疫组化
  • IF免疫荧光
  • ICC免疫细胞化学
  • FC流式细胞
  • IP免疫沉淀
  • E酶联免疫吸附法
  • DB免疫斑点法
  • ChIP染色质免疫沉淀
  • GICA胶体金免疫层析法
  • NC阴性对照

种属反应性

  • Hu
  • Ms小鼠
  • Rt大鼠
  • Dm果蝇
  • C线虫
  • Mk
  • Rb
  • B
  • D
  • P
  • Hm仓鼠
  • ChHm中国仓鼠
  • Chk
;

联系我们

Location :

南京市高新开发区星火路10号人才大厦C座

Phone :

400-9961-933
025-58868422

Email Address

info@sabbiotech.com