免费电话:400-9961-933
邮箱:info@sabbiotech.com
欢迎光临本站
川博智能体 English
位置: 首页 > 磷酸化抗体 > Smad2(Phospho-S255) Rabbit mAb

Smad2(Phospho-S255) Rabbit mAb #13429

是否有货: Yes
产品详情

产品名称Smad2(Phospho-S255) Rabbit mAb

克隆号JF0882

来源种属Recombinant Rabbit

克隆性Monoclonal

纯化ProA affinity purified

应用WB,IHC

种属反应性Human;Mouse;Rat

免疫原描述Synthetic phospho-peptide corresponding to residues surrounding Ser255 of human Smad2.

标记Unconjugated

别名Drosophila, homolog of, MADR2 antibody
hMAD-2 antibody
HsMAD2 antibody
JV18 antibody
JV18-1 antibody
JV181 antibody
MAD antibody
MAD homolog 2 antibody
MAD Related Protein 2 antibody
Mad-related protein 2 antibody
MADH2 antibody
MADR2 antibody
MGC22139 antibody
MGC34440 antibody
Mother against DPP homolog 2 antibody
Mothers against decapentaplegic homolog 2 antibody
Mothers against decapentaplegic, Drosophila, homolog of, 2 antibody
Mothers against DPP homolog 2 antibody
OTTHUMP00000163489 antibody
Sma and Mad related protein 2 antibody
Sma- and Mad-related protein 2 MAD antibody
SMAD 2 antibody
SMAD family member 2 antibody
SMAD, mothers against DPP homolog 2 antibody
SMAD2 antibody
SMAD2_HUMAN antibody

数据库入口号Swiss-Prot#:Q15796

Uniprot Q15796

计算分子量52 kDa

实际分子量60 kDa

配方1*TBS (pH7.4), 1%BSA, 40%Glycerol. Preservative: 0.05% Sodium Azide.

保存Store at -20˚C

应用详情
WB: 1:500-1:2000
IHC: 1:50-1:200
All lanes: Smad2(Phospho-S255) Rabbit mAb at 1/1k dilution
Lane 1 : Hela treated with 200nM Calyculin A for 1 hours whole cell lysates
Lane 2 : Hela whole cell lysates
Lysates/proteins at 20 µg per lane.
Secondary
All lanes : Goat Anti-Rabbit IgG H&L (HRP) at 1/20000 dilution
Predicted band size: 52 kDa
Observed band size: 60 kDa
Exposure time: 15 seconds
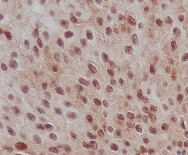
Formalin-fixed;paraffin-embedded human uterus tissue stained for Smad2 (Phospho-S255) using 13429 at 1/100 dilution in immunohistochemical analysis.
Formalin-fixed;paraffin-embedded human bladder tissue stained for Smad2 (Phospho-S255) using 13429 at 1/100 dilution in immunohistochemical analysis.

Smad proteins, the mammalian homologs of the Drosophila mothers against decapentaplegic (Mad), have been implicated as downstream effectors of TGFβ/BMP signaling. Smad1 (also designated Madr1 or JV4-1) and Smad5 are effectors of BMP-2 and BMP-4 function, while Smad2 (also designated Madr2 or JV18-1) and Smad3 are involved in TGFβ and Activin-mediated growth modulation. Smad4 (also designated DPC4) has been shown to mediate all of the above activities through interaction with various Smad family members. Smad6 and Smad7 regulate the response to Activin/TGFβ signaling by interfering with TGFβ-mediated phosphorylation of other Smad proteins.

如果您使用该产品13429发表了文章,请通知我们,让我们可以引用您的文献。

et al,Gastrodin attenuates renal injury and collagen deposition via suppression of the TGF-β1/Smad2/3 signaling pathway based on network pharmacology analysis InFront PharmacolOn2023 Jan 17byYing Wen , Xiuli Zhang et al..PMID:36733505 , (2023),
PMID: 36733505

注释

应用

  • WB免疫印迹
  • IHC免疫组化
  • IF免疫荧光
  • ICC免疫细胞化学
  • FC流式细胞
  • IP免疫沉淀
  • E酶联免疫吸附法
  • DB免疫斑点法
  • ChIP染色质免疫沉淀
  • GICA胶体金免疫层析法
  • NC阴性对照

种属反应性

  • Hu
  • Ms小鼠
  • Rt大鼠
  • Dm果蝇
  • C线虫
  • Mk
  • Rb
  • B
  • D
  • P
  • Hm仓鼠
  • ChHm中国仓鼠
  • Chk
;

联系我们

Location :

南京市高新开发区星火路10号人才大厦C座

Phone :

400-9961-933
025-58868422

Email Address

info@sabbiotech.com