免费电话:400-9961-933
邮箱:info@sabbiotech.com
欢迎光临本站
川博智能体 English
位置: 首页 > 磷酸化抗体 > TBK1/NAK (phospho-Ser172) rabbit pAb

TBK1/NAK (phospho-Ser172) rabbit pAb #13488

是否有货: Yes
产品详情

产品名称TBK1/NAK (phospho-Ser172) rabbit pAb

来源种属Rabbit

克隆性Polyclonal

纯化The antibody was purified by immunogen affinity chromatography.

应用WB;IHC;IF

种属反应性Human;Mouse;Rat

特异性This antibody detects endogenous levels of Human Mouse TBK1/NAK (phospho-Ser172)

免疫原描述KLH-conjugated synthetic phosphopeptide corresponding to residues surrounding S172 of human TBK1 protein.

基因/蛋白名称TBK1

标记Unconjugated

别名NAK; Serine/threonine-protein kinase TBK1; NF-kappa-B-activating kinase; T2K; TANK-binding kinase 1

数据库入口号Swiss Prot:Q9UHD2
GeneID:29110

Uniprot Q9UHD2

Gene ID 29110

计算分子量83kDa

配方Liquid in 0.42% Potassium phosphate, 0.87% Sodium chloride, pH 7.3, 30% glycerol, and 0.01% sodium azide.

保存Shipped at 4°C. Upon delivery aliquot and store at -20°C for one year. Avoid freeze/thaw cycles.

应用详情
WB 1:500-1000; IHC 1:50-100; IF 1:50-200
Lane 1: Human Raji cell lysates
Lane 2: Human HeLa cell lysates
Primary: Anti-Phospho-TBK1 (Ser172)at 1/1000 dilution
Secondary:Goat anti-Rabbit IgG Secondary Antibody HRP conjugated at 1/20000 dilution
Predicted band size: 84 kDa
Observed band size: 84 kDa
Western blot analysis of TBK1 (Phospho-S172) expression in rat testis (A), SGC7901 (B), EC9706 (C), A549 (D), 3T3L1 (E) whole cell lysates. (Predicted band size: 83 kD; Observed band size: 83 kD)
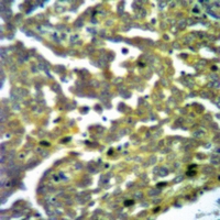
Immunohistochemical analysis of TBK1 (Phospho-S172) staining in human ovarian cancer formalin fixed paraffin embedded tissue section.
Immunofluorescent analysis of TBK1 (Phospho-S172) staining in MDAMB231 cells.
TANK binding kinase 1(TBK1) Homo sapiens The NF-kappa-B (NFKB) complex of proteins is inhibited by I-kappa-B (IKB) proteins, which inactivate NFKB by trapping it in the cytoplasm. Phosphorylation of serine residues on the IKB proteins by IKB kinases marks them for destruction via the ubiquitination pathway, thereby allowing activation and nuclear translocation of the NFKB complex. The protein encoded by this gene is similar to IKB kinases and can mediate NFKB activation in response to certain growth factors. [provided by RefSeq, Oct 2010],

如果您使用该产品13488发表了文章,请通知我们,让我们可以引用您的文献。

et al,Activation of cGAS-STING pathway – A possible cause of myofiber atrophy/necrosis in dermatomyositis and immune-mediated necrotizing myopathy. In J Clin Lab Anal on 2022 Oct by Meichen Zhou, Xiaoxiao Cheng, et al..PMID:36030554 , (2022),
PMID: 36030554

注释

应用

  • WB免疫印迹
  • IHC免疫组化
  • IF免疫荧光
  • ICC免疫细胞化学
  • FC流式细胞
  • IP免疫沉淀
  • E酶联免疫吸附法
  • DB免疫斑点法
  • ChIP染色质免疫沉淀
  • GICA胶体金免疫层析法
  • NC阴性对照

种属反应性

  • Hu
  • Ms小鼠
  • Rt大鼠
  • Dm果蝇
  • C线虫
  • Mk
  • Rb
  • B
  • D
  • P
  • Hm仓鼠
  • ChHm中国仓鼠
  • Chk
;

联系我们

Location :

南京市高新开发区星火路10号人才大厦C座

Phone :

400-9961-933
025-58868422

Email Address

info@sabbiotech.com