免费电话:400-9961-933
邮箱:info@sabbiotech.com
欢迎光临本站
川博智能体 English
位置: 首页 > 磷酸化抗体 > STAT3 (Phospho-Ser727) Rabbit mAb

STAT3 (Phospho-Ser727) Rabbit mAb #14152

是否有货: Yes
产品详情

产品名称STAT3 (Phospho-Ser727) Rabbit mAb

来源种属Recombinant Rabbit

克隆性Monoclonal

亚型Rabbit IgG

纯化Affinity-chromatography

应用WB;ICC/IF;IHC

种属反应性Human;Mouse;Rat

特异性Phospho-STAT3 (S727) Antibody detects endogenous levels of total Phospho-STAT3 (S727)

免疫原描述A synthesized peptide derived from human Phospho-STAT3 (S727)

标记Unconjugated

别名APRF;Acute-phase response factor;Signal transducer and activator of transcription 3;Stat3;

数据库入口号Uniprot:P40763

Uniprot P40763

计算分子量88 kDa

实际分子量98 kDa

配方Rabbit IgG in phosphate buffered saline , pH 7.4, 150mM NaCl, 0.02% sodium azide and 50% glycerol.

保存Store at +4˚C short term. Store at -20˚C long term. Avoid freeze / thaw cycle.

应用详情
WB: 1:500-1:2000
ICC/IF: 1:50-1:200
IHC: 1:50-1:200
All lanes : STAT3 (Phospho-Ser727) Rabbit mAb at 1/1k dilution
Lane 1 :A431 cell lysate
Lane 2 :A431 cell lysate treated with 100ng/ml EGF 10min
lysate/proteins at 20 µg per lane.
Secondary
All lanes : Goat Anti-Rabbit IgG H&L (HRP) at 1/20000 dilution
Predicted band size: 88 kDa
Observed band size: 98 kDa
Exposure time: 5 seconds
Formalin-fixed;paraffin-embedded rat brain tissue stained for STAT3 (Phospho-Ser727) using 14152 at 1/100 dilution in immunohistochemical analysis.
Formalin-fixed;paraffin-embedded rat kidney tissue stained for STAT3 (Phospho-Ser727) using 14152 at 1/100 dilution in immunohistochemical analysis.
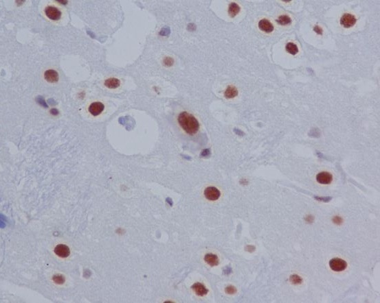
Formalin-fixed;paraffin-embedded human brain tissue stained for STAT3 (Phospho-Ser727) using 14152 at 1/100 dilution in immunohistochemical analysis.
Immunocytochemistry/Immunofluorescence STAT3 (Phospho-Ser727) antibody (14152)
ICC/IF staining of STAT3 (Phospho-Ser727) in A431 cells. Cells were fixed with 4% Paraformaldehyde permeabilized with 0.1% Triton X-100.
Samples were incubated with 14152 at a working dilution of 1/100. The secondary antibody was Alexa Fluor® 488 goat anti rabbit;used at a dilution of 1/500.
Nuclei were counterstained with DAPI.

如果您使用该产品14152发表了文章,请通知我们,让我们可以引用您的文献。

et al,Effects of Rituximab on JAK-STAT and NF-κB signaling pathways in acute lymphoblastic leukemia and chronic lymphocytic leukemia , (2019),
PMID:

注释

应用

  • WB免疫印迹
  • IHC免疫组化
  • IF免疫荧光
  • ICC免疫细胞化学
  • FC流式细胞
  • IP免疫沉淀
  • E酶联免疫吸附法
  • DB免疫斑点法
  • ChIP染色质免疫沉淀
  • GICA胶体金免疫层析法
  • NC阴性对照

种属反应性

  • Hu
  • Ms小鼠
  • Rt大鼠
  • Dm果蝇
  • C线虫
  • Mk
  • Rb
  • B
  • D
  • P
  • Hm仓鼠
  • ChHm中国仓鼠
  • Chk
;

联系我们

Location :

南京市高新开发区星火路10号人才大厦C座

Phone :

400-9961-933
025-58868422

Email Address

info@sabbiotech.com