免费电话:400-9961-933
邮箱:info@sabbiotech.com
欢迎光临本站
川博智能体 English
位置: 首页 > 多克隆抗体 > GSK3b Antibody

GSK3b Antibody #21002

是否有货: 有货
产品详情

产品名称GSK3b Antibody

来源种属Rabbit

克隆性Polyclonal

纯化Antibodies were produced by immunizing rabbits with synthetic peptide and KLH conjugates. Antibodies were purified by affinity-chromatography using epitope-specific peptide.

应用WB IHC IF

种属反应性Human;Mouse;Rat

特异性The antibody detects endogenous level of total GSK3b protein, this antibodymay cross-react with the GSK-3a due to high sequence homology.

免疫原类型Peptide-KLH

免疫原描述Peptide sequence around aa.7~11 (T-T-S-F-A) derived from Human GSK3b.

基因/蛋白名称GSK3b

标记Unconjugated

别名Factor A, GSK-3 beta, Protein kinase GSK-3-beta, kinase GSK-3 beta,

数据库入口号Swiss-Prot: P49841
NCBI Protein: NP_001139628.1

Uniprot P49841

浓度1.0mg/ml

配方Supplied at 1.0mg/mL in phosphate buffered saline (without Mg2+ and Ca2+), pH 7.4, 150mM NaCl, 0.02% sodium azide and 50% glycerol.

保存Store at -20°C for long term preservation (recommended). Store at 4°C for short term use.

应用详情

Predicted MW: 46kd
Western blotting: 1:500~1:1000
Immunohistochemistry: 1:50~1:100
Immunofluorescence: 1:100~1:200

Western blot analysis of extracts from A2780 and HT29 cells using GSK3b(Ab-9) Antibody #21002.
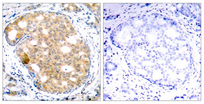
Immunohistochemical analysis of paraffin-embedded human breast carcinoma tissue using GSK3b(Ab-9) Antibody #21002(left) or the same antibody preincubated with blocking peptide(right).
Immunofluorescence staining of methanol-fixed Hela cells showing cytoplasmic and nuclear staining using GSK3b(Ab-9) Antibody #21002.

Participates in the Wnt signaling pathway. Implicated in the hormonal control of several regulatory proteins including glycogen synthase, MYB and the transcription factor JUN. Phosphorylates JUN at sites proximal to its DNA-binding domain, thereby reducing its affinity for DNA. Phosphorylates MUC1 in breast cancer cells, and decreases the interaction of MUC1 with CTNNB1/beta-catenin. Phosphorylates CTNNB1/beta-catenin.

Fan G, et al. (2003) J Biol Chem. 278(52): 52432-52436.
Barry FA, et al. (2003) FEBS Lett. 553(1-2): 173-178.
Welsh, et al. (1996) Trends Cell Biol. 6: 274-279.
Srivastava A K, et al. (1998) Mol Cell Biochem. 182: 135-141.
Cross D. A, et al. (1995) Nature. 378: 785-789.

如果您使用该产品21002发表了文章,请通知我们,让我们可以引用您的文献。

et al,The midregion, nuclear localization sequence, and C terminus of PTHrP regulate skeletal development, hematopoiesis, and survival in mice. , (2010),
PMID: 20145205
et al,The natural agent rhein induces β catenin degradation and tumour growth arrest.In J Cell Mol Med. On 2018 Jan by Liu S, Wang J et al..PMID:29024409 , (2018),
PMID: 29024409
et al,Catalpol promotes the osteogenic differentiation of bone marrow mesenchymal stem cells via the Wnt/β-catenIn pathway. In Stem Cell Res Ther on 2019 Jan 22 by Zhu Y, Wang Y, et al.. PMID: 30670092 , (2019),
PMID: 30670092
et al,GInkgolide B promotes osteoblast differentiation via activation of canonical Wnt signallIng and alleviates osteoporosis through a bone anabolic way. In J Cell Mol Med on 2019 Aug by Zhu B, Xue F, et al..PMID:31225702 , (2019),
PMID: 31225702
et al,Melatonin ameliorates Aβ1 42 induced Alzheimer's cognitive deficits in mouse model.In J Pharm Pharmacol.On 2018 Jan by Gong YH, Hua N et al..PMID: 28994117 , (2018),
PMID: 28994117
et al,Protective effects of lithium treatment for spatial memory deficits induced by tau hyperphosphorylation in splenectomized rats.In Clin Exp Pharmacol Physiol on 2010 Oct by Tan WF, Cao XZ,et al..PMID:20659131 , (2010),
PMID: 20659131
et al,Phosphoproteome analysis reveals an important role for glycogen synthase kinase-3 in perfluorododecanoic acid-induced rat liver toxicity. In Toxicol Lett on 2013 Mar 27 by Hongxia Zhang, Junjie Hou, et al..PMID: 23353032 , (2013),
PMID: 23353032
查看更多
et al,Concerted suppression of STAT3 and GSK3尾 is involved in growth inhibition of non-small cell lung cancer by xanthatin. In PLoS One on 2013 Nov 28 by Li Tao, Fangtian Fan, et al..PMID: 24312384 , (2013),
PMID: 24312384
et al,Signal regulatory protein 伪 negatively regulates mast鈥恈ell activation following Fc蔚RI aggregation. In Eur J Immunol on 2013 Jun by Yu-fei Pan, Li-wei Dong, et al..PMID: 23504624 , (2013),
PMID: 23504624
et al,Risperidone ameliorated A尾1-42-induced cognitive and hippocampal synaptic impairments in mice.In Behav Brain Res on 2017 Mar 30 by Lingzhi Wu , Xiaowen Feng,et al..PMID: 28093254 , (2017),
PMID: 28093254
et al,Glutathione-s-transferase A 4 (GSTA4) Suppresses Tumor Growth and Metastasis of Human Hepatocellular Carcinoma by Targeting AKT Pathway.In Am J Transl Res on 2017 Feb 15 by Chang Jun Liu, Jin Hui Yang,et al..PMID: 28337261 , (2017),
PMID: 28337261
et al,IGF-1-mediated PKM2/尾-catenin/miR-152 Regulatory Circuit in Breast Cancer.In Sci Rep on 2017 Nov 21 by Yi-Yang Wen, Wei-Tao Liu,et al..PMID: 29162853 , (2017),
PMID: 29162853
et al, Overexpression of astrocyte-elevated gene-1 is associated with ovarian cancer development and progression.In Mol Med Rep on 2015 Apr by Bo Zhou , Jue Yang et al..PMID:25483832 , (2015),
PMID: 25483832
et al,Fumosorinone, a Novel PTP1B Inhibitor, Activates Insulin Signaling in Insulin-Resistance HepG2 Cells and Shows Anti-Diabetic Effect in Diabetic KKAy Mice .In Toxicol Appl Pharmacol On 2015 May 15 by Zhi-Qin Liu , Ting Liu et al..PMID: 25796170 , (2015),
PMID: 25796170
et al,Lithium chloride decreases proliferation and migration of C6 glioma cells harboring isocitrate dehydrogenase 2 mutant via GSK-3尾.In Mol Biol Rep on 2014 Jun by Yuejun Fu , Yali Zheng et al..PMID:24549719 , (2014),
PMID: 24549719
et al,GSK3 protein positively regulates type I insulin-like growth factor receptor through forkhead transcription factors FOXO1/3/4.In J Biol Chem on 2014 Sep 5 by Xiaodong Huo , Shu Liu et al..PMID:25053419 , (2014),
PMID: 25053419
et al,A 尾1/2 Adrenergic Receptor鈥怱ensitive Intracellular Signaling Pathway Modulates CCL2 Production in Cultured Spinal Astrocytes.In J Cell Physiol on 2014 Mar by Norimitsu Morioka , Hiromi Abe et al..PMID:24037783 , (2014),
PMID: 24037783
et al, SNAILs promote G1 phase in selected cancer cells.In Int J Oncol on 2015 Nov by Ya-Lan Wu , Jian-Xin Xue et al ..PMID:26352801 , (2015),
PMID: 26352801
et al,Perfluorooctanoic Acid Exposure for 28 Days Affects Glucose Homeostasis and Induces Insulin Hypersensitivity in Mice .In Sci Rep on 2015 Jun 12 by Shengmin Yan, Hongxia Zhang et al..PMID: 26066376 , (2015),
PMID: 26066376
et al,Analysis of 尾-N-methylamino-l-alanine (L-BMAA) neurotoxicity in rat cerebellum.In Neurotoxicology on 2015 May by Emma Mu帽oz-S谩ez , Estefan铆a de Munck Garc铆a et al..PMID:25898785 , (2015),
PMID: 25898785
et al,Perfluorooctanoic Acid Exposure for 28 Days Affects Glucose Homeostasis and Induces Insulin Hypersensitivity in Mice. In Sci Rep on 2015 Jun 12 by Shengmin Yan, Hongxia Zhang,et al..PMID:26066376 , (2015),
PMID: 26066376
et al,Gut microbiota relieves inflammation in the substantia nigra of chronic Parkinson's disease by protecting the function of dopamine neurons. In Exp Ther Med on 2022 Jan by Tian Zhang, Tan Wang,et al..PMID:34934429 , (2022),
PMID: 34934429
et al,The Therapeutic Effects of Seven Lycopodium Compounds on Cell Models of Alzheimer’s Disease. In J Alzheimers Dis on 2022 by Qian Guo, Qinfeng Cai ,et al..PMID:36189599 , (2022),
PMID: 36189599
et al,Novel small molecular compound 2JY-OBZ4 alleviates AD patriuiugy in cell mouels via regulating multiple targets , (2022),
PMID: 36227154
et al,hERG activators exhibit antitumor effects in breast cancer through calcineurin and β-catenin-mediated signaling pathways. , (2025),
PMID: 39917621
et al,Multifunctional Injectable Bioadhesive with Toll-like Receptor 4 and Myeloid Differentiation Factor 2 Antagonistic Anti-inflammatory Potential for Periodontal Regeneration. , (2025),
PMID: 39951685
et al,Lithium chloride decreases proliferation and migration of C6 glioma cells harboring isocitrate dehydrogenase 2 mutant via GSK-3β. , (2014),
PMID: 24549719
et al,Erythropoietin attenuates Alzheimer-like memory impairments and pathological changes induced by amyloid 尾42 in mice.In Brain Res on 2015 Aug 27 by Yi-Pei Li, Guo-Jun Yang et al..PMID:26049128 , (2015),
PMID: 26049128

注释

应用

  • WB免疫印迹
  • IHC免疫组化
  • IF免疫荧光
  • ICC免疫细胞化学
  • FC流式细胞
  • IP免疫沉淀
  • E酶联免疫吸附法
  • DB免疫斑点法
  • ChIP染色质免疫沉淀
  • GICA胶体金免疫层析法
  • NC阴性对照

种属反应性

  • Hu
  • Ms小鼠
  • Rt大鼠
  • Dm果蝇
  • C线虫
  • Mk
  • Rb
  • B
  • D
  • P
  • Hm仓鼠
  • ChHm中国仓鼠
  • Chk
;

联系我们

Location :

南京市高新开发区星火路10号人才大厦C座

Phone :

400-9961-933
025-58868422

Email Address

info@sabbiotech.com