免费电话:400-9961-933
邮箱:info@sabbiotech.com
欢迎光临本站
川博智能体 English
位置: 首页 > 多克隆抗体 > Raf1 Antibody

Raf1 Antibody #21006

是否有货: 有货
产品详情

产品名称Raf1 Antibody

来源种属Rabbit

克隆性Polyclonal

纯化Antibodies were produced by immunizing rabbits with synthetic peptide and KLH conjugates. Antibodies were purified by affinity-chromatography using epitope-specific peptide.

应用WB IHC

种属反应性Human;Mouse;Rat

特异性The antibody detects endogenous level of total Raf1 protein.

免疫原类型Peptide-KLH

免疫原描述Peptide sequence around aa.257~261 (S-T-S-T-P) derived from Human RAF.

基因/蛋白名称Raf1

标记Unconjugated

别名C-RAF; C-Raf; CRAF

数据库入口号Swiss-Prot: P04049
NCBI Protein: NP _002871.1

Uniprot P04049

浓度1.0mg/ml

配方Supplied at 1.0mg/mL in phosphate buffered saline (without Mg2+ and Ca2+), pH 7.4, 150mM NaCl, 0.02% sodium azide and 50% glycerol.

保存Store at -20°C for long term preservation (recommended). Store at 4°C for short term use.

应用详情
Predicted MW: 73kd
Western blotting: 1:500~1:1000
Immunohistochemistry: 1:50~1:100
Western blot analysis of extracts from Hela, K562 and HT29 cells using Raf1(Ab-259) Antibody #21006.
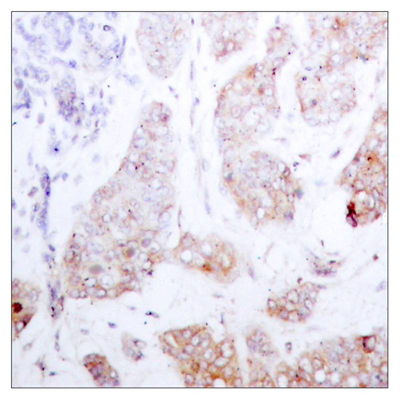
Immunohistochemical analysis of paraffin-embedded human breast carcinoma tissue using Raf1(Ab-259) Antibody #21006.
Involved in the transduction of mitogenic signals from the cell membrane to the nucleus. Part of the Ras-dependent signaling pathway from receptors to the nucleus. Protects cells from apoptosis mediated by STK3.

Dougherty M K, et al. (2005) Mol Cell. 17(2): 215-224.
Hekman M, et al. (2005) FEBS Lett. 579(2): 464-468.
Avruch J,et al. (1994) Trends Biochem. Sci. 19, 279-283.
Chong H, et al. (2001) EMBO J. 20, 3716-3727.
King A J, et al. (1998) Nature. 396:180-183.
Fabian J R, et al. (1993) Mol Cell Biol. 13: 7170-7179.

如果您使用该产品21006发表了文章,请通知我们,让我们可以引用您的文献。

et al,Prognostic Impact of Raf-1 and p-Raf-1 Expressions for Poor Survival Rate in Non-Small Cell Lung Cancer.In Cancer Sci on 2012 Oct by Zhi-Xin Qiu, Lei Wang,et al..PMID:22738312 , (2012),
PMID: 22738312
et al,MicroRNA-146b, a sensitive indicator of mesenchymal stem cell repair of acute renal injury. In Stem Cells Transl Med on 2016 Oct by Yuan Zhu, Jing Yu, et al..PMID: 27400799 , (2016),
PMID: 27400799

注释

应用

  • WB免疫印迹
  • IHC免疫组化
  • IF免疫荧光
  • ICC免疫细胞化学
  • FC流式细胞
  • IP免疫沉淀
  • E酶联免疫吸附法
  • DB免疫斑点法
  • ChIP染色质免疫沉淀
  • GICA胶体金免疫层析法
  • NC阴性对照

种属反应性

  • Hu
  • Ms小鼠
  • Rt大鼠
  • Dm果蝇
  • C线虫
  • Mk
  • Rb
  • B
  • D
  • P
  • Hm仓鼠
  • ChHm中国仓鼠
  • Chk
;

联系我们

Location :

南京市高新开发区星火路10号人才大厦C座

Phone :

400-9961-933
025-58868422

Email Address

info@sabbiotech.com