免费电话:400-9961-933
邮箱:info@sabbiotech.com
欢迎光临本站
川博智能体 English
位置: 首页 > 多克隆抗体 > c-Jun Antibody

c-Jun Antibody #21021

是否有货: 有货
产品详情

产品名称c-Jun Antibody

来源种属Rabbit

克隆性Polyclonal

纯化Antibodies were produced by immunizing rabbits with synthetic peptide and KLH conjugates. Antibodies were purified by affinity-chromatography using epitope-specific peptide.

应用WB;IHC;IF

种属反应性Human;Mouse;Rat

特异性The antibody detects endogenous level of total c-Jun protein.

免疫原类型Peptide-KLH

免疫原描述Peptide sequence around aa.89~93 (T-T-T-P-T) derived from Human c-Jun.

基因/蛋白名称c-Jun

标记Unconjugated

别名AH119; AP1; Jun A; c-Jun; p39

数据库入口号Swiss-Prot: P05412
NCBI Protein: NP_002219.1

Uniprot P05412

计算分子量36kDa

实际分子量39-48kDa

浓度1.0mg/ml

配方Supplied at 1.0mg/mL in phosphate buffered saline (without Mg2+ and Ca2+), pH 7.4, 150mM NaCl, 0.02% sodium azide and 50% glycerol.

保存Store at -20°C for long term preservation (recommended). Store at 4°C for short term use.

应用详情
WB 1:500-1:2000; IHC 1:50-1:200; IF 1:50-1:200;
Western blot analysis of extracts from HT19, HepG2, 293 and Hela cells using c-Jun Antibody.
Immunohistochemistry of paraffin-embedded Human cervical carcinoma tissue using c-Jun Antibody .
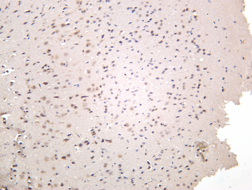
Immunohistochemistry of paraffin-embedded Mouse brain tissue using c-Jun Antibody .
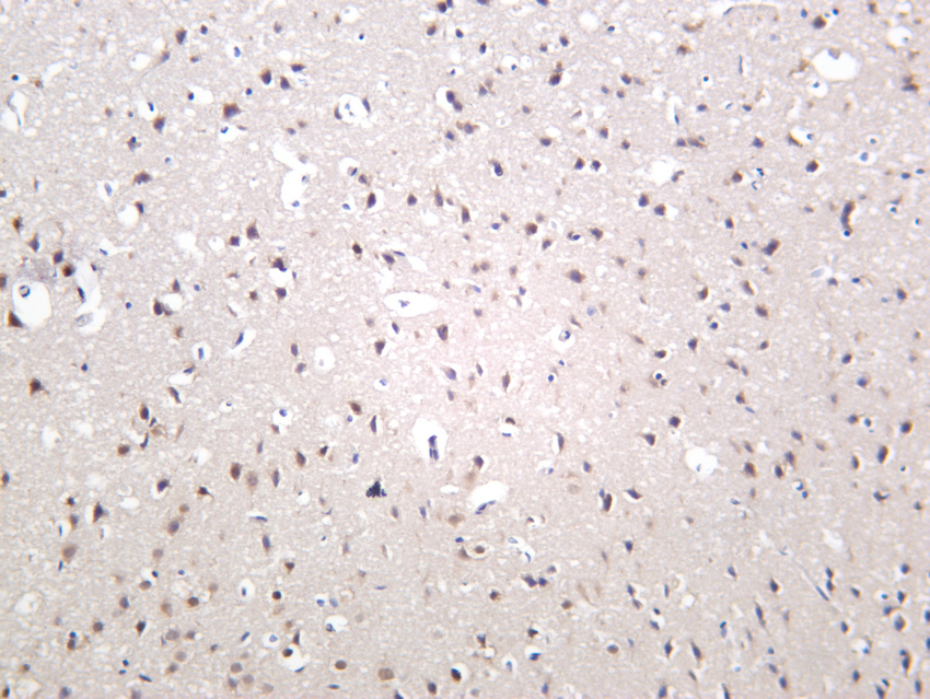
Immunohistochemistry of paraffin-embedded Rat brain tissue using c-Jun Antibody .
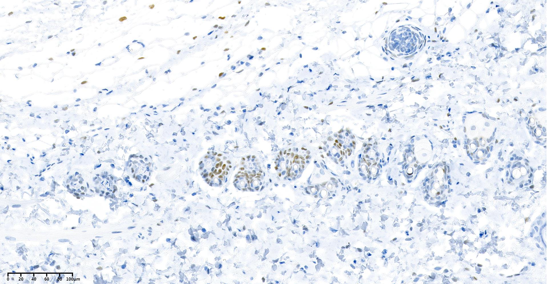
Immunohistochemistry of paraffin-embedded Rat skin tissue using c-Jun Antibody .
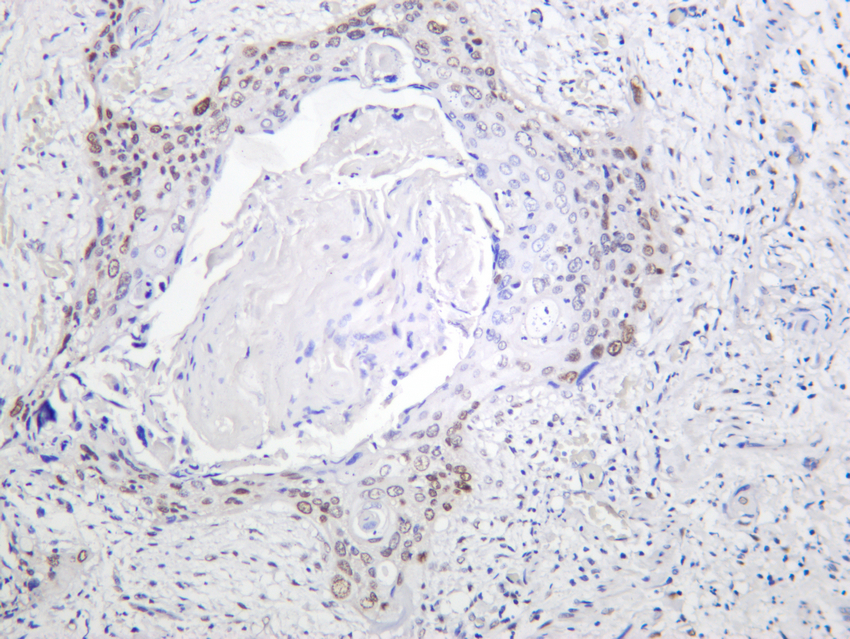
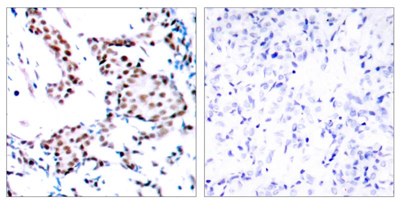
Immunohistochemical analysis of paraffin-embedded human breast carcinoma tissue using c-Jun Antibody(left) or the same antibody preincubated with blocking peptide(right).
Immunofluorescence analysis of Rat skin tissue using c-Jun Antibody .
Immunofluorescence analysis of HEK293 cells using c-Jun Antibody .Picture A: c-Jun antibody (red). Picture B: DAPI (blue). Picture C: Merge of A+B
Immunofluorescence analysis of A549 cells using c-Jun Antibody. Blue: DAPI for nuclear staining.
Immunofluorescence analysis of NIH/3T3 cells using c-Jun Antibody. Blue: DAPI for nuclear staining.
Transcription factor that recognizes and binds to the enhancer heptamer motif 5'-TGA[CG]TCA-3'.

Akira Ikari, Chiaki Okude, Hayato Sawada, et al. (2008) Down-regulation of TRPM6-mediated magnesium influx by cyclosporin A Naunyn-Schmiedeberg's Archives of Pharmacology, 377(4-6):333-43.
This article references the use of the #21021 in the following applications :Western blotting

如果您使用该产品21021发表了文章,请通知我们,让我们可以引用您的文献。

et al,Down-regulation of TRPM6-mediated magnesium influx by cyclosporin A Naunyn-Schmiedeberg's. , (2008),
PMID: 18026717
et al,LIPUS Enhance Elongation of Neurites in Rat Cortical Neurons Through Inhibition of GSK-3beta.In Biomed Environ Sci on 2010 Jun by Cong Ren, Jia-Mou Li, et al..PMID:20708505 , (2010),
PMID: 20708505
et al,PPAR纬鈥恑nactive 螖2鈥恡roglitazone independently triggers ER stress and apoptosis in breast cancer cells.In Mol Carcinog on 2015 May by Christelle Colin-Cassin , Xiao Yao et al..PMID:24293218 , (2015),
PMID: 24293218
et al,Gypenoside IX restores Akt/GSK-3β pathway and alleviates Alzheimer's disease-like neuropathology and cognitive deficitsInAging (Albany NY)On2023 Dec 12byLing Lei?1?2,?Yong Luo et al..PMID:?38095632 , (2023),
PMID: 38095632
et al,Mechanism of the Proprietary Chinese Medicine “JiuLiWan” to Treat Ulcerative Colitis Revealed by Network Pharmacology, Molecular Docking, and Experimental … , (2025),
PMID: 40415848

注释

应用

  • WB免疫印迹
  • IHC免疫组化
  • IF免疫荧光
  • ICC免疫细胞化学
  • FC流式细胞
  • IP免疫沉淀
  • E酶联免疫吸附法
  • DB免疫斑点法
  • ChIP染色质免疫沉淀
  • GICA胶体金免疫层析法
  • NC阴性对照

种属反应性

  • Hu
  • Ms小鼠
  • Rt大鼠
  • Dm果蝇
  • C线虫
  • Mk
  • Rb
  • B
  • D
  • P
  • Hm仓鼠
  • ChHm中国仓鼠
  • Chk
;

联系我们

Location :

南京市高新开发区星火路10号人才大厦C座

Phone :

400-9961-933
025-58868422

Email Address

info@sabbiotech.com