免费电话:400-9961-933
邮箱:info@sabbiotech.com
欢迎光临本站
川博智能体 English
位置: 首页 > 多克隆抗体 > c-Myc Polyclonal Antibody

c-Myc Polyclonal Antibody #21034

是否有货: 有货
产品详情

产品名称c-Myc Polyclonal Antibody

来源种属Rabbit

克隆性Polyclonal

纯化Antibodies were produced by immunizing rabbits with synthetic peptide and KLH conjugates. Antibodies were purified by affinity-chromatography using epitope-specific peptide.

应用WB IHC

种属反应性Human;Mouse;Rat

特异性The antibody detects endogenous level of total Myc protein.

免疫原类型Peptide-KLH

免疫原描述Peptide sequence around aa.56~60 (L-P-T-P-P) derived from Human Myc.

基因/蛋白名称Myc

标记Unconjugated

别名c-myc

数据库入口号Swiss-Prot: P01106
NCBI Protein: NP_002458.2

Uniprot P01106

计算分子量50kDa

实际分子量57-65kDa

浓度1.0mg/ml

配方Supplied at 1.0mg/mL in phosphate buffered saline (without Mg2+ and Ca2+), pH 7.4, 150mM NaCl, 0.02% sodium azide and 50% glycerol.

保存Store at -20°C for long term preservation (recommended). Store at 4°C for short term use.

应用详情
WB 1:500 - 1:2000 IHC 1:50 - 1:200
Western blot analysis of extracts from HL60, MCF and K562 cells using c-Myc Polyclonal Antibody.
Immunohistochemical analysis of paraffin-embedded Human lung tissue using c-Myc Polyclonal Antibody.
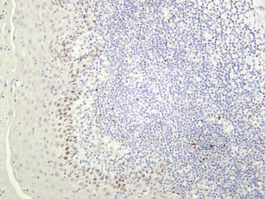
Immunohistochemical analysis of paraffin-embedded Human tonsil tissue using c-Myc Polyclonal Antibody.
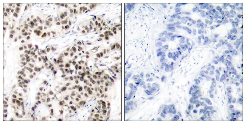
Immunohistochemical analysis of paraffin-embedded Human breast carcinoma tissue using c-Myc Polyclonal Antibody(left) or the same antibody preincubated with blocking peptide(right).
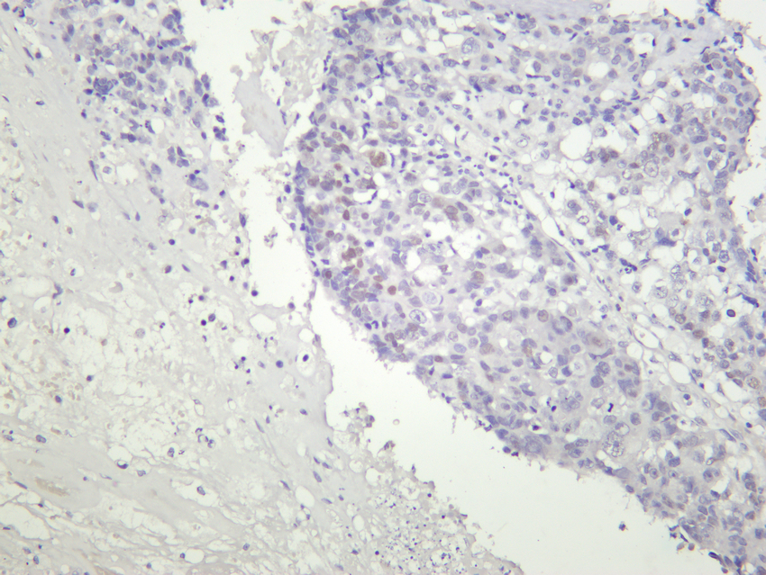
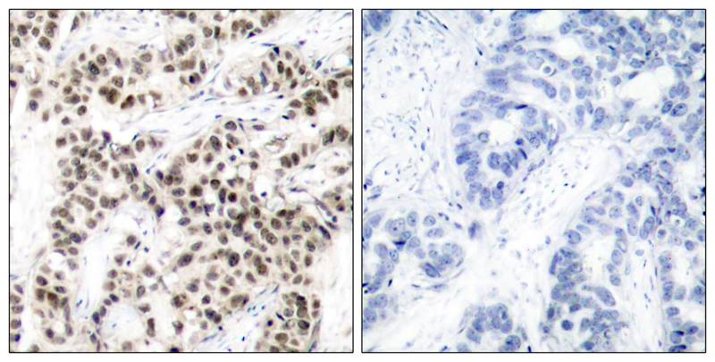
Immunohistochemical analysis of paraffin-embedded Human liver carcinoma tissue using c-Myc Polyclonal Antibody(left) or the same antibody preincubated with blocking peptide(right).
Myc proto-oncogene encodes nuclear DNA-binding phosphoproteins that are involved in the regulation of gene expression and DNA replication during cell growth and differentiation. Myc encodes a protein of 65 kDa which is expressed in almost all normal and transformed cells. The expression correlates with the proliferation state of the cells. Transcription is repressed in quiescent or terminally differentiated cells. Expression of Myc is generally induced after mitogenic stimulation of cells or serum induction. Myc therefore is an important positive regulator of cell growth and proliferation. Myc has been demonstrated also to be a potent inducer of apoptosis when expressed in the absence of serum or growth factors. Apoptosis may serve also as a protective mechanism to prevent tumorigenicity elicited by deregulated Myc expression. Sequences of the Myc oncogene have been highly conserved throughout evolution, from Drosophila to vertebrates

Jin Z, et al. (2004) J Biol Chem. 279(38): 40209-40219.
Welcker M, et al. (2004) Proc Natl Acad Sci U S A. 101(24): 9085-9090.
Baudino T A, et al. (2001) Mol Cell Biol. 21: 691-702.
Blackwood E M, et al. (1991) Science. 251:1211-1217.
Henriksson M, et al. (1996) Adv Cancer Res. 68: 109-182.

如果您使用该产品21034发表了文章,请通知我们,让我们可以引用您的文献。

et al,NMDA receptor signaling mediates the expression of protein inhibitor of activated STAT1 (PIAS1) in rat hippocampus. , (2013),
PMID: 22982248
et al,NMDA receptor signaling mediates the expression of protein inhibitor of activated STAT1 (PIAS1) in rat hippocampus. In Neuropharmacology on 2013 Feb by S Y Liu, Y L Ma, et al..PMID: 22982248 , (2013),
PMID: 22982248
et al,MiRNA-29a as a tumor suppressor mediates PRIMA-1Met-induced anti-myeloma activity by targeting c-Myc. In Oncotarget on 2016 Feb 9 by Manujendra N Saha, Jahangir Abdi, et al..PMID: 26771839 , (2016),
PMID: 26771839

注释

应用

  • WB免疫印迹
  • IHC免疫组化
  • IF免疫荧光
  • ICC免疫细胞化学
  • FC流式细胞
  • IP免疫沉淀
  • E酶联免疫吸附法
  • DB免疫斑点法
  • ChIP染色质免疫沉淀
  • GICA胶体金免疫层析法
  • NC阴性对照

种属反应性

  • Hu
  • Ms小鼠
  • Rt大鼠
  • Dm果蝇
  • C线虫
  • Mk
  • Rb
  • B
  • D
  • P
  • Hm仓鼠
  • ChHm中国仓鼠
  • Chk
;

联系我们

Location :

南京市高新开发区星火路10号人才大厦C座

Phone :

400-9961-933
025-58868422

Email Address

info@sabbiotech.com