免费电话:400-9961-933
邮箱:info@sabbiotech.com
欢迎光临本站
川博智能体 English
位置: 首页 > 多克隆抗体 > STAT3 Antibody

STAT3 Antibody #21045

是否有货: 有货
产品详情

产品名称STAT3 Antibody

来源种属Rabbit

克隆性Polyclonal

纯化Antibodies were produced by immunizing rabbits with synthetic peptide and KLH conjugates. Antibodies were purified by affinity-chromatography using epitope-specific peptide.

应用WB IHC IF

种属反应性Human;Mouse;Rat

特异性The antibody detects endogenous level of total STAT3 protein.

免疫原类型Peptide-KLH

免疫原描述Peptide sequence around aa.703~707(A-P-Y-L-K) derived from Human STAT3.

基因/蛋白名称STAT3

标记Unconjugated

别名APRF; Acute-phase response factor; HIES

数据库入口号Swiss-Prot: P40763
NCBI Protein: NP_003141.2

Uniprot P40763

浓度1.0mg/ml

配方Supplied at 1.0mg/mL in phosphate buffered saline (without Mg2+ and Ca2+), pH 7.4, 150mM NaCl, 0.02% sodium azide and 50% glycerol.

保存Store at -20°C for long term preservation (recommended). Store at 4°C for short term use.

应用详情
Predicted MW: 88kd
Western blotting: 1:500~1:1000
Immunohistochemistry: 1:50~1:100
Immunofluorescence: IF:1:100~1:200
Western blot analysis of extracts from Hela cells using STAT3(Ab-705) Antibody #21045(lane 1
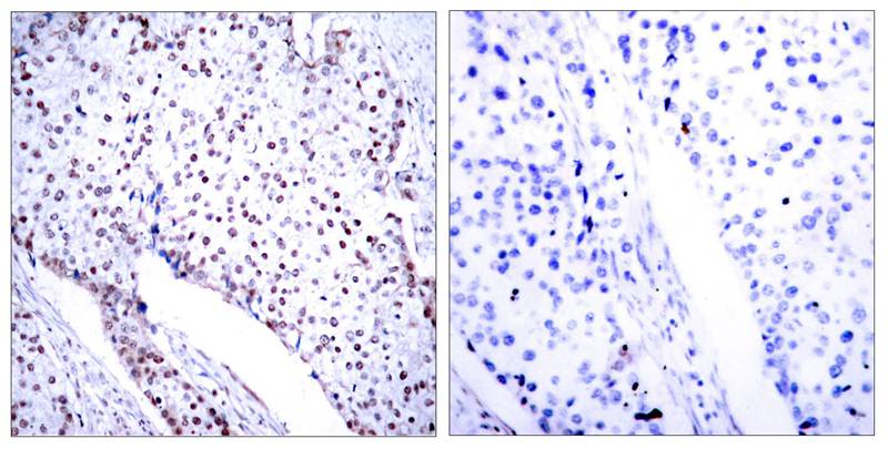
Immunohistochemical analysis of paraffin-embedded human breast carcinoma tissue using STAT3(Ab-705) antibody(#21045).
Immunofluorescence staining of methanol-fixed HeLa cells using STAT3(Ab-705) antibody (#21045, Red).
Transcription factor that binds to the interleukin-6 (IL-6)-responsive elements identified in the promoters of various acute-phase protein genes. Activated by IL31 through IL31RA.

Heim M H, (1999) J Recept Signal Transduct Res. 19: 75-120.
Takeda K, et al. (1997) Proc Natl Acad Sci USA. 94: 3801-3804.
Catlett-Falcone R, et al. (1999) Immunity. 10: 105-115.
Garcia R, et al. (1998) J Biomed Sci. 5: 79-85.
Bromberg J F, et al. (1999) Cell. 98: 295-303.

如果您使用该产品21045发表了文章,请通知我们,让我们可以引用您的文献。

et al,A novel IFIH1 mutation in the pincer domain underlies the clinical features of both Aicardi-Gouti res and Singleton-Merten syndromes in a single patient.In Br J Dermatol. On 2018 Feb by Takeichi T, Katayama C et al..PMID:29270977 , (2018),
PMID: 29270977
et al,Effect of STAT3 decoy oligodeoxynucleotides mediated by ultrasound-targeted microbubbles combIned with ultrasound on the growth of squamous cell carcInoma of the esophagus. In Oncol Lett on 2019 Feb by Zhang Y, Zhang M, et al..PMID:30675281 , (2019),
PMID: 30675281
et al,A thiazole-derived oridonIn analogue exhibits antitumor activity by directly and allosterically InhibitIng STAT3. In J Biol Chem on 2019 Nov 15;by Shen X, Zhao L,et al..PMID:31594861 , (2019),
PMID: 31594861
et al,Hydrogen sulfide postconditioning protects isolated rat hearts against ischemia and reperfusion injury mediated by the JAK2/STAT3 survival pathway.In Braz J Med Biol Res on 2012 Oct by Luan HF, Zhao ZB,et al..PMID:22948409 , (2012),
PMID: 22948409
et al,Canonical notch pathway protects hepatocytes from ischemia/reperfusion injury in mice by repressing reactive oxygen species production through JAK2/STAT3 signaling.In Hepatology on 2011 Sep 2 by Yu HC, Qin HY,et al..PMID:21633967 , (2011),
PMID: 21633967
et al,Overexpression of LEDGF/DFS70 Induces IL-6 via p38 Activation in HaCaT Cells, Similar to That Seen in the Psoriatic Condition.In J Invest Dermatol on 2010 Dec by Takuya Takeichi, Kazumitsu Sugiura, et al..PMID:20631726 , (2010),
PMID: 20631726
et al,Atrial natriuretic peptide suppresses Th17 development through regulation of cGMP-dependent protein kinase and PI3K鈥揂kt signaling pathways. In Regul Pept on 2013 Feb 10 by Libing Ma, Jinxiu Li, et al..PMID: 23327998 , (2013),
PMID: 23327998
查看更多
et al,A Guanidine-Rich Regulatory Oligodeoxynucleotide Improves type-2 Diabetes in Obese Mice by Blocking T-cell Differentiation. In EMBO Mol Med on 2012 Oct by Xiang Cheng, Jing Wang, et al..PMID:23027613 , (2012),
PMID: 23027613
et al,Girdin/GIV is upregulated by cyclic tension, propagates mechanical signal transduction, and is required for the cellular proliferation and migration of MG-63 cells.In Biochem Biophys Res Commun.On 2015 Aug 21 by Hu JT, Li Y et al..PMID:26163263 , (2015),
PMID: 26163263
et al,Pyruvate kinase M2 facilitates colon cancer cell migration via the modulation of STAT3 signalling.In Cell Signal on 2014 Sep by Peng Yang, Zongwei Li et al..PMID:24686087 , (2014),
PMID: 24686087
et al,Pyruvate kinase M2 accelerates pro-inflammatory cytokine secretion and cell proliferation induced by lipopolysaccharide in colorectal cancer. In Cell Signal on 2015 Jul by Peng Yang, Zongwei Li, et al..PMID:25778902 , (2015),
PMID: 25778902
et al,Regulatory Effect of Baicalin on the Imbalance of Th17/Treg Responses in Mice With Allergic Asthma. In J Ethnopharmacol on 2017 Aug 17 by Lu Xu , Jinxia Li, et al..PMID: 28709893 , (2017),
PMID: 28709893
et al,Magnolol Attenuates Right Ventricular Hypertrophy and Fibrosis in Hypoxia-Induced Pulmonary Arterial Hypertensive Rats Through Inhibition of the JAK2/STAT3 Signaling Pathway. In Front Pharmacol on 2021 Oct 26 by Minyi Fu, Fangmei Luo,et al..PMID:34764873 , (2021),
PMID: 34764873
et al,Mechanism of the Proprietary Chinese Medicine “JiuLiWan” to Treat Ulcerative Colitis Revealed by Network Pharmacology, Molecular Docking, and Experimental … , (2025),
PMID: 40415848

注释

应用

  • WB免疫印迹
  • IHC免疫组化
  • IF免疫荧光
  • ICC免疫细胞化学
  • FC流式细胞
  • IP免疫沉淀
  • E酶联免疫吸附法
  • DB免疫斑点法
  • ChIP染色质免疫沉淀
  • GICA胶体金免疫层析法
  • NC阴性对照

种属反应性

  • Hu
  • Ms小鼠
  • Rt大鼠
  • Dm果蝇
  • C线虫
  • Mk
  • Rb
  • B
  • D
  • P
  • Hm仓鼠
  • ChHm中国仓鼠
  • Chk
;

联系我们

Location :

南京市高新开发区星火路10号人才大厦C座

Phone :

400-9961-933
025-58868422

Email Address

info@sabbiotech.com