免费电话:400-9961-933
邮箱:info@sabbiotech.com
欢迎光临本站
川博智能体 English
位置: 首页 > 多克隆抗体 > STAT3 Antibody

STAT3 Antibody #21046

是否有货: 有货
产品详情

产品名称STAT3 Antibody

来源种属Rabbit

克隆性Polyclonal

纯化Antibodies were produced by immunizing rabbits with synthetic peptide and KLH conjugates. Antibodies were purified by affinity-chromatography using epitope-specific peptide.

应用WB IHC

种属反应性Human

特异性The antibody detects endogenous level of total STAT3 protein.

免疫原类型Peptide-KLH

免疫原描述Peptide sequence around aa. 725~729 (P-M-S-P-R) derived from Human STAT3.

基因/蛋白名称STAT3

标记Unconjugated

别名Acute-phase response factor

数据库入口号Swiss-Prot: P40763
NCBI Protein: NP_003141.2

Uniprot P40763

浓度1.0mg/ml

配方Supplied at 1.0mg/mL in phosphate buffered saline (without Mg2+ and Ca2+), pH 7.4, 150mM NaCl, 0.02% sodium azide and 50% glycerol.

保存Store at -20°C for long term preservation (recommended). Store at 4°C for short term use.

应用详情

Predicted MW: 88kd
Western blotting: 1:500~1:1000
Immunohistochemistry: 1:50~1:100

Western blot analysis of extracts from Hela cells using STAT3(Ab-727) Antibody #21046.
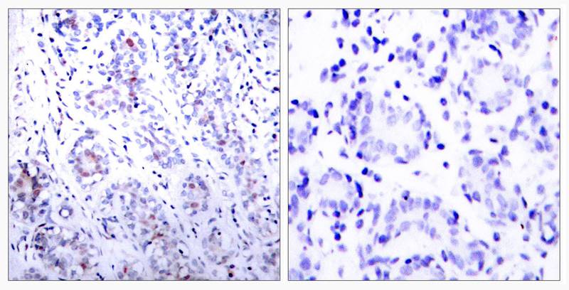
Immunohistochemical analysis of paraffin-embedded human breast carcinoma tissue using STAT3(Ab-727) Antibody #21046(left) or the same antibody preincubated with blocking peptide(right).
Western Blot analysis of Hela /293 cells using STAT3 Polyclonal Antibody

Transcription factor that binds to the interleukin-6 (IL-6)-responsive elements identified in the promoters of various acute-phase protein genes. Activated by IL31 through IL31RA.

Heim M H, (1999) J Recept Signal Transduct Res. 19: 75-120.
Takeda K, et al. (1997) Proc Natl Acad Sci USA. 94: 3801-3804.
Catlett-Falcone R, et al. (1999) Immunity. 10: 105-115.
Garcia R, et al. (1998) J Biomed Sci. 5: 79-85.
Bromberg J F, et al. (1999) Cell. 98: 295-303.

如果您使用该产品21046发表了文章,请通知我们,让我们可以引用您的文献。

et al,PIWI-Interacting RNA-004800 Is Regulated by S1P Receptor Signaling Pathway to Keep Myeloma Cell Survival.In Front Oncol on 2020 Apr 15 by Ma H, Wang H, et al..PMID: 32351883 , (2020),
PMID: 32351883
et al,Resistance to bleomycin-induced lung fibrosis in MMP-8 deficient mice is mediated by interleukin-10. In PLoS One on 2010 Oct 7 by Emilio Garc铆a-Prieto, Adri谩n Gonz谩lez-L贸pez, et al..PMID: 20949050 , (2010),
PMID: 20949050
et al,Induction of interleukin-10 is dependent on p38 mitogen-activated protein kinase pathway in macrophages infected with porcine reproductive and respiratory syndrome virus. In Virol J on 2012 Aug 21 by Jun Hou, Lianghai Wang, et al..PMID: 22909062 , (2012),
PMID: 22909062
et al,A Guanidine-Rich Regulatory Oligodeoxynucleotide Improves type-2 Diabetes in Obese Mice by Blocking T-cell Differentiation. In EMBO Mol Med on 2012 Oct by Xiang Cheng, Jing Wang, et al..PMID:23027613 , (2012),
PMID: 23027613
et al,Migration Suppression of Small Cell Lung Cancer by Polysaccharides from Nostoc commune Vaucher. In J Agric Food Chem on 2016 Aug 17 by Min Guo, Guo-Bin Ding,et al..PMID: 27465400 , (2016),
PMID: 27465400

注释

应用

  • WB免疫印迹
  • IHC免疫组化
  • IF免疫荧光
  • ICC免疫细胞化学
  • FC流式细胞
  • IP免疫沉淀
  • E酶联免疫吸附法
  • DB免疫斑点法
  • ChIP染色质免疫沉淀
  • GICA胶体金免疫层析法
  • NC阴性对照

种属反应性

  • Hu
  • Ms小鼠
  • Rt大鼠
  • Dm果蝇
  • C线虫
  • Mk
  • Rb
  • B
  • D
  • P
  • Hm仓鼠
  • ChHm中国仓鼠
  • Chk
;

联系我们

Location :

南京市高新开发区星火路10号人才大厦C座

Phone :

400-9961-933
025-58868422

Email Address

info@sabbiotech.com