免费电话:400-9961-933
邮箱:info@sabbiotech.com
欢迎光临本站
川博智能体 English
位置: 首页 > 多克隆抗体 > STAT4 Antibody

STAT4 Antibody #21047

是否有货: 有货
产品详情

产品名称STAT4 Antibody

来源种属Rabbit

克隆性Polyclonal

纯化Antibodies were produced by immunizing rabbits with synthetic peptide and KLH conjugates. Antibodies were purified by affinity-chromatography using epitope-specific peptide.

应用WB IHC

种属反应性Human;Mouse;Rat

特异性The antibody detects endogenous level of total STAT4 protein.

免疫原类型Peptide-KLH

免疫原描述Peptide sequence around aa.691~695 (K-G-Y-V-P) derived from Human STAT4.

基因/蛋白名称STAT4

标记Unconjugated

别名SLEB11

数据库入口号Swiss-Prot: Q14765
NCBI Protein: NP_003142.1

Uniprot Q14765

浓度1.0mg/ml

配方Supplied at 1.0mg/mL in phosphate buffered saline (without Mg2+ and Ca2+), pH 7.4, 150mM NaCl, 0.02% sodium azide and 50% glycerol.

保存Store at -20°C for long term preservation (recommended). Store at 4°C for short term use.

应用详情
Predicted MW: 85kd
Western blotting: 1:500~1:1000
Immunohistochemistry: 1:50~1:100
Western blot analysis of extracts from Hela, A431 and JK cells using STAT4(Ab-693) Antibody #21047.
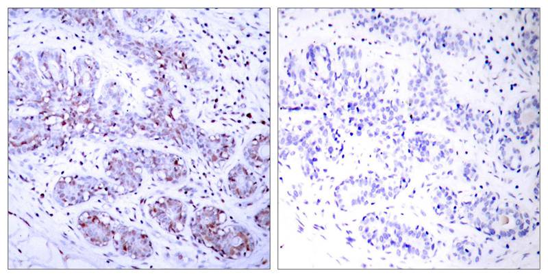
Immunohistochemical analysis of paraffin-embedded human breast carcinoma tissue using STAT4(Ab-693) Antibody #21047(left) or the same antibody preincubated with blocking peptide(right).
Carries out a dual function: signal transduction and activation of transcription. Involved in IL12 signaling.

Strausberg R L, et al. (2002) Proc Natl Acad Sci U S A. 99(26):16899-16903.

如果您使用该产品21047发表了文章,请通知我们,让我们可以引用您的文献。

et al,A Guanidine-Rich Regulatory Oligodeoxynucleotide Improves type-2 Diabetes in Obese Mice by Blocking T-cell Differentiation. In EMBO Mol Med on 2012 Oct by Xiang Cheng, Jing Wang, et al..PMID:23027613 , (2012),
PMID: 23027613

注释

应用

  • WB免疫印迹
  • IHC免疫组化
  • IF免疫荧光
  • ICC免疫细胞化学
  • FC流式细胞
  • IP免疫沉淀
  • E酶联免疫吸附法
  • DB免疫斑点法
  • ChIP染色质免疫沉淀
  • GICA胶体金免疫层析法
  • NC阴性对照

种属反应性

  • Hu
  • Ms小鼠
  • Rt大鼠
  • Dm果蝇
  • C线虫
  • Mk
  • Rb
  • B
  • D
  • P
  • Hm仓鼠
  • ChHm中国仓鼠
  • Chk
;

联系我们

Location :

南京市高新开发区星火路10号人才大厦C座

Phone :

400-9961-933
025-58868422

Email Address

info@sabbiotech.com