免费电话:400-9961-933
邮箱:info@sabbiotech.com
欢迎光临本站
川博智能体 English
位置: 首页 > 多克隆抗体 > STAT5a Antibody

STAT5a Antibody #21048

是否有货: 有货
产品详情

产品名称STAT5a Antibody

来源种属Rabbit

克隆性Polyclonal

纯化Antibodies were produced by immunizing rabbits with synthetic peptide and KLH conjugates. Antibodies were purified by affinity-chromatography using epitope-specific peptide.

应用WB IHC

种属反应性Human;Mouse;Rat

特异性The antibody detects endogenous level of total STAT5A protein.

免疫原类型Peptide-KLH

免疫原描述Peptide sequence around aa. 692~696 (D-G-Y-V-K) derived from Human STAT5A.

基因/蛋白名称STAT5a

标记Unconjugated

别名MGF, MPF, Mammary gland factor, STA5A, STAT5

数据库入口号Swiss-Prot: P42229
NCBI Protein: NP_003143.2

Uniprot P42229

浓度1.0mg/ml

配方Supplied at 1.0mg/mL in phosphate buffered saline (without Mg2+ and Ca2+), pH 7.4, 150mM NaCl, 0.02% sodium azide and 50% glycerol.

保存Store at -20°C for long term preservation (recommended). Store at 4°C for short term use.

应用详情
Predicted MW: 90kd
Western blotting: 1:500~1:1000
Immunohistochemistry: 1:50~1:100
Western blot analysis of extracts from Hela and K562 cells using STAT5A(Ab-694) Antibody #21048.
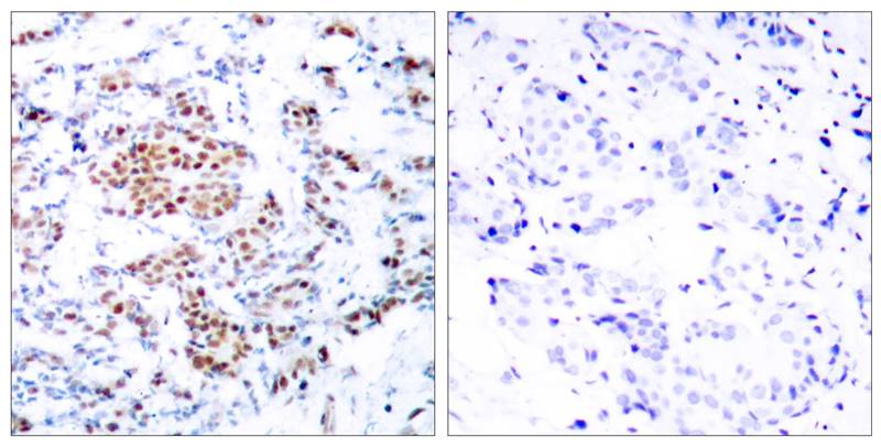
Immunohistochemical analysis of paraffin-embedded human breast carcinoma tissue using STAT5A(Ab-694) Antibody #21048(left) or the same antibody preincubated with blocking peptide(right).
Carries out a dual function: signal transduction and activation of transcription. Binds to the GAS element and activates PRL-induced transcription.

Gouilleux F, et al. (1994) EMBO J. 13: 4361-4369.
Dentelli P, et al. (1999) J Immunol. 163: 2151-2159.
Meinke A, et al. (1996) Mol Cell Biol. 16: 6937-6944.

如果您使用该产品21048发表了文章,请通知我们,让我们可以引用您的文献。

et al,A thiazole-derived oridonIn analogue exhibits antitumor activity by directly and allosterically InhibitIng STAT3. In J Biol Chem on 2019 Nov 15;by Shen X, Zhao L,et al..PMID:31594861 , (2019),
PMID: 31594861

注释

应用

  • WB免疫印迹
  • IHC免疫组化
  • IF免疫荧光
  • ICC免疫细胞化学
  • FC流式细胞
  • IP免疫沉淀
  • E酶联免疫吸附法
  • DB免疫斑点法
  • ChIP染色质免疫沉淀
  • GICA胶体金免疫层析法
  • NC阴性对照

种属反应性

  • Hu
  • Ms小鼠
  • Rt大鼠
  • Dm果蝇
  • C线虫
  • Mk
  • Rb
  • B
  • D
  • P
  • Hm仓鼠
  • ChHm中国仓鼠
  • Chk
;

联系我们

Location :

南京市高新开发区星火路10号人才大厦C座

Phone :

400-9961-933
025-58868422

Email Address

info@sabbiotech.com