免费电话:400-9961-933
邮箱:info@sabbiotech.com
欢迎光临本站
川博智能体 English
位置: 首页 > 多克隆抗体 > STAT6 Antibody

STAT6 Antibody #21050

是否有货: 有货
产品详情

产品名称STAT6 Antibody

来源种属Rabbit

克隆性Polyclonal

纯化Antibodies were produced by immunizing rabbits with synthetic peptide and KLH conjugates. Antibodies were purified by affinity-chromatography using epitope-specific peptide.

应用WB IHC

种属反应性Human;Mouse;Rat

特异性The antibody detects endogenous level of total STAT6 protein.

免疫原类型Peptide-KLH

免疫原描述Peptide sequence around aa.639~643 (R-G-Y-V-P) derived from Human STAT6.

基因/蛋白名称STAT6

标记Unconjugated

别名IL-4 Stat

数据库入口号Swiss-Prot: P42226
NCBI Protein: NP_003144.3

Uniprot P42226

浓度1.0mg/ml

配方Supplied at 1.0mg/mL in phosphate buffered saline (without Mg2+ and Ca2+), pH 7.4, 150mM NaCl, 0.02% sodium azide and 50% glycerol.

保存Store at -20°C for long term preservation (recommended). Store at 4°C for short term use.

应用详情

Predicted MW: 110kd
Western blotting: 1:500~1:1000
Immunohistochemistry: 1:50~1:100

Western blot analysis of extracts from HepG2 cells using STAT6(Ab-641) Antibody #21050.
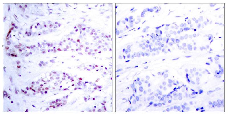
Immunohistochemical analysis of paraffin-embedded human breast carcinoma tissue using STAT6(Ab-641) Antibody #21050(left) or the same antibody preincubated with blocking peptide(right).

STAT6 is a member of the STAT family of transcription factors. In response to cytokines and growth factors, STAT family members are phosphorylated by the receptor-associated kinases, and then form homo- or heterodimers that translocate to the cell nucleus where they act as transcription activators. By screening an embryonic lung fibroblast cDNA library with a wildtype STAT6 probe, 2 variant cDNAs were identified, which were termed STAT6B and STAT6C, encoding an N-terminal 110-amino acid truncation and a 27-amino acid deletion in the SH2 domain, respectively. All the three variants are ubiquitously expressed with STAT6B expression greatest in spleen and STAT6C expression greatest in lung. STAT6B resembles an attenuated STAT6, but that STAT6C inhibits IL-4-mediated mitogenesis and cell surface antigen expression, and is not tyrosine phosphorylated

Nelms K, et al. (1999) Annu Rev Immunol. 17:701-738.
Malabarba M G, et al. (1996) Biochem. J. 319:865-872.
Hou J, et al. (1994) Science. 265:1701-1706.
Quelle F W, et al. (1995) Mol Cell Biol. 15: 3336-3343.
Takeda K, et al. (1996) Nature. 380: 627-630.

如果您使用该产品21050发表了文章,请通知我们,让我们可以引用您的文献。

et al,FOXQ1/NDRG1 axis exacerbates hepatocellular carcinoma initiation via enhancing crosstalk between fibroblasts and tumor cells.In Cancer Lett. On 2018 Mar 28 by Luo Q, Wang CQ et al..PMID: 29248714 , (2018),
PMID: 29248714

注释

应用

  • WB免疫印迹
  • IHC免疫组化
  • IF免疫荧光
  • ICC免疫细胞化学
  • FC流式细胞
  • IP免疫沉淀
  • E酶联免疫吸附法
  • DB免疫斑点法
  • ChIP染色质免疫沉淀
  • GICA胶体金免疫层析法
  • NC阴性对照

种属反应性

  • Hu
  • Ms小鼠
  • Rt大鼠
  • Dm果蝇
  • C线虫
  • Mk
  • Rb
  • B
  • D
  • P
  • Hm仓鼠
  • ChHm中国仓鼠
  • Chk
;

联系我们

Location :

南京市高新开发区星火路10号人才大厦C座

Phone :

400-9961-933
025-58868422

Email Address

info@sabbiotech.com