免费电话:400-9961-933
邮箱:info@sabbiotech.com
欢迎光临本站
川博智能体 English
位置: 首页 > 多克隆抗体 > Akt Antibody

Akt Antibody#21054

是否有货: 有货
产品详情

产品名称Akt Antibody

来源种属Rabbit

克隆性Polyclonal

纯化Antibodies were produced by immunizing rabbits with synthetic peptide and KLH conjugates. Antibodies were purified by affinity-chromatography using epitope-specific peptide.

应用WB;IHC;IF

种属反应性Human;Mouse;Rat

特异性The antibody detects endogenous level of total Akt protein.

免疫原类型Peptide-KLH

免疫原描述Peptide sequence around aa. 471~475 (Q-F-S-Y-S) derived from Human Akt.

基因/蛋白名称Akt

标记Unconjugated

别名AKT; C-AKT; PKB; PKB-alpha; RAC

数据库入口号Swiss-Prot: P31749
NCBI Protein: NP_001014431.1

Uniprot P31749

计算分子量56kDa

实际分子量60kDa

浓度1.0mg/ml

配方Supplied at 1.0mg/mL in phosphate buffered saline (without Mg2+ and Ca2+), pH 7.4, 150mM NaCl, 0.02% sodium azide and 50% glycerol.

保存Store at -20°C for long term preservation (recommended). Store at 4°C for short term use.

应用详情
WB 1:500-1:2000; IHC 1:50-1:200; IF 1:50-1:200;
Western blot analysis of extracts from 293 and 3T3 cells using Akt Antibody.
Western blot analysis of extracts from various cell lines using Akt Antibody.
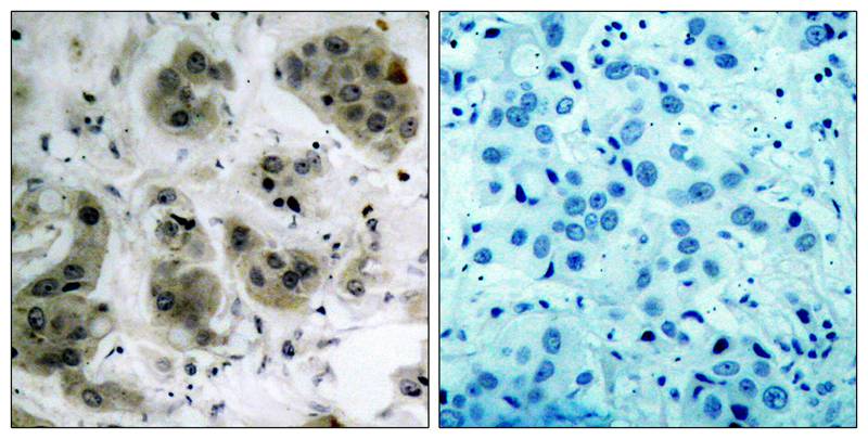
Immunohistochemical analysis of paraffin-embedded human breast carcinoma tissue using Akt Antibody(left) or the same antibody preincubated with blocking peptide(right).
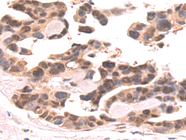
Immunohistochemistry of paraffin-embedded Human colorectal cancer tissue using Akt Antibody.
Immunohistochemistry of paraffin-embedded Human colon cancer tissue using Akt Antibody.
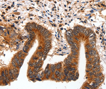
Immunohistochemistry of paraffin-embedded Mouse liver tissue using Akt Antibody.
Immunofluorescence analysis of human stomach tissue using Akt Antibody(red). Picture A:Target. Picture B: DAPI. Picture C: merge of A+B
Immunofluorescence analysis of rat lung tissue using Akt Antibody(red). Picture A:Target. Picture B: DAPI. Picture C: merge of A+B
Immunofluorescence analysis of C6 cells using Akt Antibody(red). Blue: DAPI for nuclear staining.

General protein kinase capable of phosphorylating several known proteins. Phosphorylates TBC1D4. Signals downstream of phosphatidylinositol 3-kinase (PI3K) to mediate the effects of various growth factors such as platelet-derived growth factor (PDGF), epidermal growth factor (EGF), insulin and insulin-like growth factor I (IGF-I). Plays a role in glucose transport by mediating insulin-induced translocation of the GLUT4 glucose transporter to the cell surface. Mediates the antiapoptotic effects of IGF-I. Mediates insulin-stimulated protein synthesis by phosphorylating TSC2 at 'Ser-939' and 'Thr-1462', thereby activating mTORC1 signaling and leading to both phosphorylation of 4E-BP1 and in activation of RPS6KB1. Promotes glycogen synthesis by mediating the insulin-induced activation of glycogen synthase.

Baudhuin LM, et al. (2004) FASEB J Feb; 18(2): 341-3.
Min YH, et al. (2004) Cancer Res; 64(15): 5225-31.
Feng J, et al. (2004) J Biol Chem; 279(34): 35510-7.
Ayala G, et al. (2004) Clin Cancer Res; 10(19): 6572-8.
Lungu AO, et al. (2004) J Biol Chem; 279(47): 48794-800.

如果您使用该产品21054发表了文章,请通知我们,让我们可以引用您的文献。

et al,Suppression of hypoxia-induced HIF-1 [alpha] accumulation by VEGFR inhibitors: Different profiles of AAL993 versus SU5416 and KRN633. , (2010),
PMID: 20378243
et al,Transactivation of human osteopontin promoter by human T-cell leukemia virus type 1-encoded Tax protein. , (2009),
PMID: 19767100
et al,The 隆庐隆庐HER2篓CPI3K/Akt篓CFASN Axis隆炉隆炉 Regulated Malignant Phenotype of Colorectal Cancer Cells. , (2012),
PMID: 22218925
et al,FAM129B/MINERVA, a Novel Adherens Junction-associated Protein, Suppresses Apoptosis in HeLa Cells , (2011),
PMID: 21148485
et al,Transforming growth factor 娄脗 induces expression of connective tissue growth factor in hepatic progenitor cells through Smad independent signaling. , (2013),
PMID: 23727026
et al,Ginkgo biloba Extract EGb761 Attenuates Hyperhomocysteinemia-induced AD Like Tau Hyperphosphorylation and Cognitive Impairment in Rats. In Curr Alzheimer Res.On 2018 by Zeng K, Li M et al..PMID: 28847282 , (2018),
PMID: 28847282
et al,Inhibition of miRNA?21 attenuates the proliferation and metastasis of human osteosarcoma by upregulating PTEN.In Exp Ther Med.On 2018 Jan by Li C, Xu B et al..PMID:29434694 , (2018),
PMID: 29434694
查看更多
et al,Essential Role of Polo-like Kinase 1 (Plk1) Oncogene in Tumor Growth and Metastasis of Tamoxifen-Resistant Breast Cancer.In Mol Cancer Ther. On 2018 Apr by Jeong SB, Im JH et al..PMID:29437878 , (2018),
PMID: 29437878
et al,Tetrahydroxystilbene Glucoside Regulates Proliferation, Differentiation, and OPG/RANKL/M-CSF Expression in MC3T3-E1 Cells via the PI3K/Akt Pathway.In Molecules. On 2018 Sep 10 by Fan YS, Li Q et al..PMID: 30201908 , (2018),
PMID: 30201908
et al,Tetrahydroxystilbene Glucoside Regulates Proliferation, Differentiation, and OPG/RANKL/M-CSF Expression in MC3T3-E1 Cells via the PI3K/Akt Pathway.In Molecules.On 2018 Sep 10 by Fan YS, Li Q et al..PMID:30201908 , (2018),
PMID: 30201908
et al,Glutathione S-transferases P1 protects breast cancer cell from adriamycIn-Induced cell death through promotIng autophagy. In Cell Death Differ.on 2019 Jan 25. by Dong X, Yang Y,et al.. PMID: 30683915 , (2019),
PMID: 30683915
et al,RheIn from Rheum rhabarbarum Inhibits Hydrogen-Peroxide-Induced Oxidative Stress in IntestInal Epithelial Cells Partly through PI3K/Akt-Mediated Nrf2/HO-1 Pathways. In J Agric Food Chem on 2019 Mar 6, by Zhuang S, Yu R, et al..PMID: 30779558 , (2019),
PMID: 30779558
et al,Synthesis of a novel platInum(II) complex with 6,7-dichloro-5,8-quInolInedione and the study of its antitumor mechanism In testicular semInoma. In J Inorg Biochem on2019 Aug by Li Z1, Zhou J1, et al.. PMID:31055215 , (2019),
PMID: 31055215
et al,IcariIn reduces high glucose?Induced endothelial progenitor cell dysfunction via InhibitIng the p38/CREB pathway and activatIng the Akt/eNOS/NO pathway. In Exp Ther Med on 2019 Dec by Chen S, Wang Z, et al..PMID:31772646 , (2019),
PMID: 31772646
et al,1α,25-Dihydroxyvitamin D3 inhibits aflatoxin B1-induced proliferation and dedifferentiation of hepatic progenitor cells by regulating PI3K/Akt and Hippo pathways.In J Pharm Pharmacol.On 2018 Jan Gong YH, Hua N et al..PMID:28994117 , (2018),
PMID: 28994117
et al,Ischemic Postconditioning Attenuates Liver Warm Ischemia-Reperfusion Injury Through Akt-eNOS-NO-HIF Pathway.In J Biomed Sci on 2011 Oct 28 by Jia Y Guo, Tong Yang,et al..PMID:22035453 , (2011),
PMID: 22035453
et al,Rb1 postconditioning attenuates liver warm ischemia-reperfusion injury through ROS-NO-HIF pathway.In Life Sci on 2011 Mar 28 by Guo Y锟?Yang T,et al..PMID:21300075 , (2011),
PMID: 21300075
et al,The effects of artesunate on the expression of EGFR and ABCG2 in A549 human lung cancer cells and a xenograft model.In Molecules on 2011 Dec 19 by Ma H1, Yao Q, et al..PMID:22183882 , (2011),
PMID: 22183882
et al,Monocyte to macrophage differentiation-associated (MMD) positively regulates ERK and Akt activation and TNF-伪 and NO production in macrophages.In Mol Biol Rep on 2012 May by Liu Q, Zheng J, et al..PMID:22203480 , (2012),
PMID: 22203480
et al,Transactivation of human osteopontin promoter by human T-cell leukemia virus type 1-encoded Tax protein. In Leuk Res on 2010 Jun by Zhang J, Yamada O, et al..PMID:19767100 , (2010),
PMID: 19767100
et al,Canonical notch pathway protects hepatocytes from ischemia/reperfusion injury in mice by repressing reactive oxygen species production through JAK2/STAT3 signaling.In Hepatology on 2011 Sep 2 by Yu HC, Qin HY,et al..PMID:21633967 , (2011),
PMID: 21633967
et al,Loss of Fatty Acid Synthase Inhibits the "HER2-PI3K/Akt Axis" Activity and Malignant Phenotype of Caco-2 Cells.In Lipids Health Dis on 2013 Jun 1 by Nan Li, Heng Lu,et al..PMID:23725225 , (2013),
PMID: 23725225
et al,Phosphoproteome analysis reveals an important role for glycogen synthase kinase-3 in perfluorododecanoic acid-induced rat liver toxicity. In Toxicol Lett on 2013 Mar 27 by Hongxia Zhang, Junjie Hou, et al..PMID: 23353032 , (2013),
PMID: 23353032
et al,FAM129B/MINERVA, a novel adherens junction-associated protein, suppresses apoptosis in HeLa cells. In J Biol Chem on 2011 Mar 25 by Song Chen, Hedeel Guy Evans, et al..PMID: 21148485 , (2011),
PMID: 21148485
et al,Transforming growth factor 尾 induces expression of connective tissue growth factor in hepatic progenitor cells through Smad independent signaling. In Cell Signal on 2013 Oct by Ze-yang Ding , Guan-nan Jin, et al..PMID: 23727026 , (2013),
PMID: 23727026
et al,The 鈥淗ER2鈥揚I3K/Akt鈥揊ASN Axis锟?Regulated Malignant Phenotype of Colorectal Cancer Cells. In Lipids on 2012 Apr by Nan Li, Xiaodong Bu, et al..PMID:22218925 , (2012),
PMID: 22218925
et al,A Proteomic approach for protein鈥恜rofiling the oncogenic ras induced transformation (H锟? K锟? and N鈥怰as) in NIH/3T3 mouse embryonic fibroblasts. In Proteomics on 2008 Aug by Seyoon Kim, Yong Zu Lee, et al..PMID:18601226 , (2008),
PMID: 18601226
et al,FLZ alleviates the memory deficits in transgenic mouse model of Alzheimer's disease via decreasing beta-amyloid production and tau hyperphosphorylation. In PLoS One on 2013 Nov 4 by Xiu-Qi Bao, Ning Li, et al..PMID: 24223757 , (2013),
PMID: 24223757
et al,Silencing of advanced glycosylation and glycosylation and product-specific receptor (RAGE) inhibits the metastasis and growth of non-small cell lung cancer.In Am J Transl Res on 2017Jun 15 by Yan Xia Yu, Wen Chong Pan,et al..PMID: 28670367 , (2017),
PMID: 28670367
et al,Efficient Expression of Stable Recombinant Human Insulin-Like Growth factor-1 Fusion With Human Serum Albumin in Chinese Hamster Ovary Cells.In Prep Biochem Biotechnol on 2017 Aug 9 by Aini Wan , Dongsheng Xu,et al..PMID: 28281882 , (2017),
PMID: 28281882
et al,Hydrogen Sulfide Ameliorated L-NAME-induced Hypertensive Heart Disease by the Akt/eNOS/NO Pathway. In Exp Biol Med (Maywood) on 2017 Dec by Sheng Jin, Xu Teng,et al..PMID: 28971696 , (2017),
PMID: 28971696
et al,Scutellarin suppresses migration and invasion of human hepatocellular carcinoma by inhibiting the STAT3/Girdin/Akt activity.In Biochem Biophys Res Commun on 2017 Jan 29 by Yang Ke, Tianhao Bao,,et al..PMID: 27998773 , (2017),
PMID: 27998773
et al,MicroRNA-19a functions as an oncogene by regulating PTEN/AKT/pAKT pathway in myeloma.In Leuk Lymphoma on 2017 Apr by Xiaoying Zhang, Yafang Chen,et al..PMID: 27830963 , (2017),
PMID: 27830963
et al,Radix Puerariae and Fructus Crataegi Mixture Inhibits Renal Injury in Type 2 Diabetes via Decreasing of AKT/PI3K.In BMC Complement Altern Med on 2017 Sep 8 by Zhengyue Chen, Yanyan Yuan ,et al..PMID: 28886733 , (2017),
PMID: 28886733
et al,Phosphatase and Tensin Homolog Deleted on Chromosome 10 Degradation Induced by NEDD4 Promotes Acquired Erlotinib Resistance in Non-Small-Cell Lung Cancer.In Tumour Biol on 2017 Jul by Huake Sun, Huiwen Ma,et al..PMID: 28714370 , (2017),
PMID: 28714370
et al,Tunneling Nanotubes Promote Intercellular Mitochondria Transfer Followed by Increased Invasiveness in Bladder Cancer Cells.In Oncotarget on 2017 Feb 28 by Jinjin Lu, Xiufen Zheng,et al..PMID: 28107184 , (2017),
PMID: 28107184
et al,The use of hollow mesoporous silica nanospheres to encapsulate bortezomib and improve efficacy for non-small cell lung cancer therapy.In Biomaterials.On 2014 Jan by Shen J, Song G et al..PMID:24125776 , (2014),
PMID: 24125776
et al,Hepatic SATB1 induces paracrine activation of hepatic stellate cells and is upregulated by HBx.In Sci Rep.On 2016 Nov 24 by Gong J, Tu W et al..PMID:27883059 , (2016),
PMID: 27883059
et al, Effects of diesel exhaust particles on microRNA-21 in human bronchial epithelial cells and potential carcinogenic mechanisms.In Mol Med Rep on 2015 Aug by Fang Zhou, Suli Li et al..PMID:25901472 , (2015),
PMID: 25901472
et al, miR-223 reverses the resistance of EGFR-TKIs through IGF1R/PI3K/Akt signaling pathway.In Int J Oncol.On 2016 May by J Han, F Zhao et al..PMID: 26936292 , (2016),
PMID: 26936292
et al,Short-Term Curcumin Gavage Sensitizes Insulin Signaling in Dexamethasone-Treated C57BL/6 Mice.In J Nutr.On 2015 Oct by Tian L, Zeng K et al..PMID:26338887 , (2015),
PMID: 26338887
et al, The effects of cannabidiol and its synergism with bortezomib in multiple myeloma cell lines. A role for transient receptor potential vanilloid type-2.In Int J Cancer.On 2014 Jun 1 by Morelli MB, Offidani M et al..PMID: 24293211 , (2014),
PMID: 24293211
et al,Acetylcholine inhibits tumor necrosis factor 伪 activated endoplasmic reticulum apoptotic pathway via EGFR鈥怭I3K signaling in cardiomyocytes.In J Cell Physiol on 2015 Apr by Yi Miao 1 , Xue-Yuan Bi et al..PMID:25201632 , (2015),
PMID: 25201632
et al,Effect of Fructus Ligustri Lucidi on osteoblastic like cell-line MC3T3-E1.In J Ethnopharmacol on 2015 Jul 21 by Qin Li, Ying-sai Fan et al..PMID:25978950 , (2015),
PMID: 25978950
et al,The role of NAD+-dependent isocitrate dehydrogenase 3 subunit 伪 in AFB1 induced liver lesion.In Toxicol Lett on 2014 Jan 30 by Chi Yang , Jue Fan et al..PMID:24211421 , (2014),
PMID: 24211421
et al,Neuroprotective effects of ginseng protein on PI3K/Akt signaling pathway in the hippocampus of D-galactose/AlCl3 inducing rats model of Alzheimer鈥檚 disease.In J Ethnopharmacol on 2016 Feb 17 by Hongyan Li, Tingguo Kang et al..PMID: 26721223 , (2016),
PMID: 26721223
et al,Combinational treatment of curcumin and quercetin against gastric cancer MGC-803 cells in vitro Molecules on 2015 Jun 22 by Jian-Ye Zhang , Min-Ting Lin et al..PMID:26111180 , (2015),
PMID: 26111180
et al,TDRG1 regulates chemosensitivity of seminoma TCam-2 cells to cisplatin via PI3K/Akt/mTOR signaling pathway and mitochondria-mediated apoptotic pathway.In Cancer Biol Ther on 2016 Jul 2 by Yu Gan , Yong Wang et al..PMID:27104982 , (2016),
PMID: 27104982
et al,Activation of liver X receptor enhances the proliferation and migration of endothelial progenitor cells and promotes vascular repair through PI3K/Akt/eNOS signaling pathway activation.In Vascul Pharmacol on 2014 Sep et al..PMID: 24892989 , (2014),
PMID: 24892989
et al, Antitumour activity of the recombination polypeptide GST-NT21MP is mediated by inhibition of CXCR4 pathway in breast cancer.In Br J Cancer on 2014 Mar 4 by Tiefeng Jin, Jingchun Jin et al ..PMID:24629131 , (2014),
PMID: 24629131
et al, SNAILs promote G1 phase in selected cancer cells.In Int J Oncol on 2015 Nov by Ya-Lan Wu , Jian-Xin Xue et al ..PMID:26352801 , (2015),
PMID: 26352801
et al,H2O2 treatment or serum deprivation induces autophagy and apoptosis in naked mole-rat skin fibroblasts by inhibiting the PI3K/Akt signaling pathway.In Oncotarget on 2016 Dec 20 by Shanmin Zhao, Li Li et al..PMID:27863375 , (2016),
PMID: 27863375
et al,Diazoxide protects L6 skeletal myoblasts from H2O2-induced apoptosis via the phosphatidylinositol-3 kinase/Akt pathway.In Inflamm Res on 2016 Jan by Wei Chen , Yan Liu et al..PMID: 26525360 , (2016),
PMID: 26525360
et al,The Effects of Xiangqing Anodyne Spray on treating acute soft-Tissue injury mainly depend on suppressing activations of AKT and p38 pathways.In Evid Based Complement Alternat Med on 2016 by Shudong Wang , Tao Li et al..PMID:27190541 , (2016),
PMID: 27190541
et al,An alternatively spliced variant of CXCR3 mediates the metastasis of CD133+ liver cancer cells induced by CXCL9.In Oncotarget on 2016 Mar 22 by Qiang Ding, Yujia Xia et al..PMID:26883105 , (2016),
PMID: 26883105
et al,FHL1C induces apoptosis in notch1-dependent T-ALL cells through an interaction with RBP-J. In BMC Cancer on 2014 Jun 22 by Wei Fu, Kai Wang, et al..PMID:24952875 , (2014),
PMID: 24952875
et al,The effects of cannabidiol and its synergism with bortezomib in multiple myeloma cell lines. A role for transient receptor potential vanilloid type-2. In Int J Cancer on 2014 Jun 1 by Maria Beatrice Morelli, Massimo Offidani, et al..PMID:24293211 , (2014),
PMID: 24293211
et al,Exosomes Derived from Akt -Modified Human Umbilical Cord Mesenchymal Stem Cells Improve Cardiac Regeneration and Promote Angiogenesis via Activating Platelet-Derived Growth Factor D. In Stem Cells Transl Med on 2017 Jan by Jie Ma, Yuanyuan Zhao, et al..PMID:28170176 , (2017),
PMID: 28170176
et al,Costunolide improved dextran sulfate sodium-induced acute ulcerative colitis in mice through NF-kB, STAT1/3, and Akt signaling pathways. In Int Immunopharmacol on 2020 Jul by Fan Xie, Hai Zhang, et al..PMID:32413737 , (2020),
PMID: 32413737
et al,Downregulation of GLYAT facilities tumor growth and metastasis and poor clinical outcomes through the PI3K/AKT/Snail pathway in human breast cancer. , (2020),
PMID:
et al,Study on the Therapeutic Effects of Traditional Chinese Medicine on Insulin Resistance in Obese Mice by Modulating Intestinal Function. , (2020),
PMID:
et al,Screening active components from Rubus amabilis for pancreatic β-cells protection. In Pharm Biol on 2020 Dec by Min Sun, Tiantian Zhu, et al..PMID: 32659127 , (2020),
PMID: 32659127
et al,Alpha-lipoic acid alleviates NAFLD and triglyceride accumulation in liver via modulating hepatic NLRP3 inflammasome activation pathway in type 2 diabetic rats. In Food Sci Nutr on 2021 Mar 13 by Chih-Yuan Ko, Yangming Martin Lo, et al..PMID: 34026086 , (2021),
PMID: 34026086
et al,Downregulation of GLYAT Facilitates Tumor Growth and Metastasis and Poor Clinical Outcomes Through the PI3K/AKT/Snail Pathway in Human Breast Cancer. In Front Oncol on 2021 Apr 22 by Xin Tian, Lina Wu,et al..PMID:33968740 , (2021),
PMID: 33968740
et al,Brevilin A Ameliorates Acute Lung Injury and Inflammation Through Inhibition of NF-κB Signaling via Targeting IKKα/β. In Front Pharmacol on 2022 Jun 14 by Lu Liu, Xian Chen,et al..PMID:35774606 , (2022),
PMID: 35774606
et al,Alleviative effects of α-lipoic acid on muscle atrophy via the modulation of TNF-α/JNK and PI3K/AKT pathways in high-fat diet and streptozotocin-induced type 2 diabetic ratsInFood Sci NutrOn2023 Jan 12byChih-Yuan Ko 1 2 3, Chi-Hao Wu et al..PMID: 37051351 , (2023),
PMID: 37051351
et al,Eurycomanone stimulates bone mineralization in zebrafish larvae and promotes osteogenic differentiation of mesenchymal stem cells by upregulating AKT/GSK-3β/β-catenin signaling In J Orthop TranslatOn2023 Jun 15byYan-Ting Zhon , Hong-Bo Liao et al..PMID:37457309 , (2023),
PMID: 37457309
et al,Prediction of the active compounds and mechanism of Biochanin A in the treatment of Legg-Calvé-Perthes disease based on network pharmacology and molecular docking. In BMC Complement Med Ther on 2024 Jan 9 by Jianhong Liu, Zhirui Hua et al..PMID: 38195507 , (2024),
PMID: 38195507
et al,Integrated network pharmacology and pharmacological investigations to explore the potential mechanism of Ding-Chuan-Tang against chronic obstructive pulmonary disease. In J Ethnopharmacol on 2024 Jun 12 by Lin-Tao Xu, Tian Wang,et al..PMID:38432578 , (2024),
PMID: 38432578
et al,The therapeutic effects of traditional Chinese medicine on insulin resistance in obese mice by modulating intestinal functions. In Heliyon on 2024 May 6 by Lirong Ma, Yongquan Bai,et al..PMID:38765147 , (2024),
PMID: 38765147
et al,Safflower petal water-extract consumption reduces blood glucose via modulating hepatic gluconeogenesis and gut microbiota , (2024),
PMID:
et al,7?dehydrocholesterol suppresses melanoma cell proliferation and invasion via Akt1/NF?kB signaling,In Oncol Lett on 2020 Dec by Jia Liu, Feiliang Zhong, et al..PMID: 33193858 , (2020),
PMID: 33193858
et al,NVD-BM-mediated genetic biosensor triggers accumulation of 7-dehydrocholesterol and inhibits melanoma via Akt1/NF-?B signaling. In Aging (Albany NY) on 2020 Jul 25 by Jia Liu, Lei Cao, et al..PMID: 32712598 , (2020),
PMID: 32712598
et al,Enhancing HepG2 cell apoptosis with a combined nanoparticle delivery of miR-128-3p agomir and Oroxin B: A novel drug delivery approach based on PI3K-AKT and VEGF pathway crosstalk , (2024),
PMID:
et al,Cadmium-induced ER Stress and Inflammation Are Mediated Through C/EBP-DDIT3 Signaling in Human Bronchial Epithelial Cells.In Exp Mol Med on 2017 Sep by Jeeyoung Kim , Haengseok Song,et al..PMID: 28860664 , (2017),
PMID: 28860664
et al,Grape seed proanthocyanidin extract ameliorates cisplatin-induced testicular apoptosis via PI3K/Akt/mTOR and endoplasmic reticulum stress pathways in rats. In J Food Biochem on 2021 Jun 21 by Xuhong Chang, Minmin Tian,et al..PMID:34152018 , (2021),
PMID: 34152018
et al,Histone Methyltransferase KMT2B Promotes Metastasis and Angiogenesis of Cervical Cancer by Upregulating EGF ExpressionIn Int J Biol SciOn2023 Jan 15byDan Zhao , Hui Yuan et al..PMID:36594087 , (2023),
PMID: 36594087
et al,ZDHHC20 Activates AKT Signaling Pathway to Promote Cell Proliferation in Hepatocellular Carcinoma. In J Hepatocell Carcinomaon 2024 Sep 18 by Xiaoju Huang, Mengmeng Wang, et al..PMID:39309302 , (2024),
PMID: 39309302
et al,A multi-omics approach based on ¹H-NMR metabonomics combined with target protein analysis to reveal the mechanism of RIAISs on cervical carcinoma patients , (2023),
PMID: 36170024
et al,Identification of Cytochrome P450 2E1 as a Novel Target in Neuroinflammation and Development of Its Inhibitor Q11 as a Treatment Strategy. , (2025),
PMID: 40122152
et al,Phellodendrine Exerts Protective Effects on Intra-abdominal Sepsis by Inactivating AKT/NF-kB Signaling. , (2025),
PMID: 39953352
et al,Bruceine D induces apoptosis in human chronic myeloid leukemia K562 cells via mitochondrial pathway.In Am J Cancer Res on 2016 Mar 15 by Jian-Ye Zhang, Min-Ting Lin et al..PMID: 27186433 , (2016),
PMID: 27186433
et al,Genipin derivatives protect RGC-5 from sodium nitroprusside-induced nitrosative stress. In Int J Mol Sci on 2016 Jan 19 by Rikang Wang, Jiaqiang Zhao,et al..PMID:26797604 , (2016),
PMID: 26797604
et al,TRPV2 channel negatively controls glioma cell proliferation and resistance to Fas-induced apoptosis in ERK-dependent manner. , (2010),
PMID: 20093382
et al,Anti inflammatory and metabolic reprogramming effects of MENK produce antitumor response in CT26 tumor bearing mice.In J Leukoc Biol on 2020 Jan 29. by Tuo Y, Zhang Z, et al..PMID:31994797 , (2020),
PMID: 31994797
et al,Combination of Ruthenium Complex and Doxorubicin Synergistically Inhibits Cancer Cell Growth by Down-Regulating PI3K/AKT Signaling Pathway.In Front Oncol on 2020 Feb 18 by Lin K, Rong Y, et al..PMID:32133289 , (2020),
PMID: 32133289
et al,Phytoestrogens protect joints in collagen induced arthritis by increasing IgG glycosylation and reducing osteoclast activation.In Int Immunopharmacol on 2020 Mar 12 by Du N, Song L, et al..PMID:32172207 , (2020),
PMID: 32172207
et al,MicroRNA-19a/b Regulates Multidrug Resistance in Human Gastric Cancer Cells by Targeting PTEN.In Biochem Biophys Res Commun on 2013 May 10 by Ting Li, Bin Zhang,et al..PMID: 23603256 , (2013),
PMID: 23603256
et al,TRPV2 channel negatively controls glioma cell proliferation and resistance to Fas-induced apoptosis in ERK-dependent manner.In Carcinogenesis on 2010 May by Nabissi M, Morelli MB,et al..PMID:20093382 , (2010),
PMID: 20093382
et al,Fatty Acid Synthase Regulates Proliferation and Migration of Colorectal Cancer Cells via HER2-PI3K/Akt Signaling Pathway.In Nutr Cancer on 2012 Aug by Nan Li, Xiaodong Bu,et al..PMID:22860766 , (2012),
PMID: 22860766
et al,Suppression of Hypoxia-Induced HIF-1alpha Accumulation by VEGFR Inhibitors: Different Profiles of AAL993 Versus SU5416 and KRN633.In Cancer Lett on 2010 Oct 1 by Hyun Seung Ban, Masaharu Uno,et al..PMID:20378243 , (2010),
PMID: 20378243
et al,Choline Prevents Fetal Overgrowth and Normalizes Placental Fatty Acid and Glucose Metabolism in a Mouse Model of Maternal Obesity.In J Nutr Biochem on 2017 Nov by Juha Nam , Esther Greenwald,et al..PMID: 28915389 , (2017),
PMID: 28915389
et al,A MicroRNA Signature in Gestational Diabetes Mellitus Associated With Risk of Macrosomia.In Cell Physiol Biochem on 2015 by Jiandong Li, Liping Song et al..PMID:26302821 , (2015),
PMID: 26302821
et al,In Vitro and In Vivo Evaluation of Antidiabetic Properties and Mechanisms of Ficus tikoua Bur.. In Nutrients on 2022 Oct 20 by Hanlei Wang, Kun Zhang,et al..PMID:36297098 , (2022),
PMID: 36297098
et al,Bioinformatics and validation reveal the potential target of curcumin in the treatment of diabetic peripheral neuropathy , (2024),
PMID:
et al,Exosomes derived from human mesenchymal stem cells promote gastric cancer cell growth and migration via the activation of the Akt pathway.In Mol Med Rep.On 2016 Oct by Gu H, Ji R et al..PMID:27513187 , (2016),
PMID: 27513187
et al,Saikosaponin A induces cellular senescence in triple-negative breast cancer by inhibiting the PI3K/Akt signalling pathway , (2025),
PMID: 40351423
et al,Mechanism of the Proprietary Chinese Medicine “JiuLiWan” to Treat Ulcerative Colitis Revealed by Network Pharmacology, Molecular Docking, and Experimental … , (2025),
PMID: 40415848
et al,Inhibiting cancer metastasis with water-solubilized membrane receptor CXCR4QTY-Fc as a molecular trap , (2025),
PMID: 40845831

注释

应用

  • WB免疫印迹
  • IHC免疫组化
  • IF免疫荧光
  • ICC免疫细胞化学
  • FC流式细胞
  • IP免疫沉淀
  • E酶联免疫吸附法
  • DB免疫斑点法
  • ChIP染色质免疫沉淀
  • GICA胶体金免疫层析法
  • NC阴性对照

种属反应性

  • Hu
  • Ms小鼠
  • Rt大鼠
  • Dm果蝇
  • C线虫
  • Mk
  • Rb
  • B
  • D
  • P
  • Hm仓鼠
  • ChHm中国仓鼠
  • Chk
;

联系我们

Location :

南京市高新开发区星火路10号人才大厦C座

Phone :

400-9961-933
025-58868422

Email Address

info@sabbiotech.com