免费电话:400-9961-933
邮箱:info@sabbiotech.com
欢迎光临本站
川博智能体 English
位置: 首页 > 多克隆抗体 > BAD Antibody

BAD Antibody #21063

是否有货: 有货
产品详情

产品名称BAD Antibody

来源种属Rabbit

克隆性Polyclonal

纯化Antibodies were produced by immunizing rabbits with synthetic peptide and KLH conjugates. Antibodies were purified by affinity-chromatography using epitope-specific peptide.

应用WB IHC

种属反应性Human;Mouse;Rat

特异性The antibody detects endogenous level of total BAD protein.

免疫原类型Peptide-KLH

免疫原描述Peptide sequence around aa.134~138 (S-R-S-A-P) derived from Mouse BAD.

基因/蛋白名称BAD

标记Unconjugated

别名Bbc2

数据库入口号Swiss-Prot: Q61337
NCBI Protein: NP_031548.1

Uniprot Q61337

浓度1.0mg/ml

配方Supplied at 1.0mg/mL in phosphate buffered saline (without Mg2+ and Ca2+), pH 7.4, 150mM NaCl, 0.02% sodium azide and 50% glycerol.

保存Store at -20°C for long term preservation (recommended). Store at 4°C for short term use.

应用详情

Predicted MW: 23kd
Western blotting: 1:500~1:1000
Immunohistochemistry: 1:50~1:100

Western blot analysis of extracts from HT29 and HepG2 cells using BAD(Ab-136) Antibody #21063.
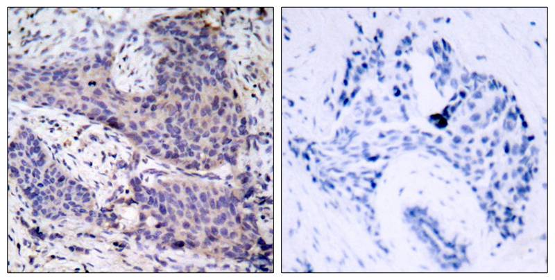
Immunohistochemical analysis of paraffin-embedded human breast carcinoma tissue using BAD(Ab-136) Antibody #21063(left) or the same antibody preincubated with blocking peptide(right).

The protein encoded by BAD gene is a member of the BCL-2 family. BCL-2 family members are known to be regulators of programmed cell death. This protein positively regulates cell apoptosis by forming heterodimers with BCL-xL and BCL-2, and reversing their death repressor activity. Proapoptotic activity of this protein is regulated through its phosphorylation. Protein kinases AKT and MAP kinase, as well as protein phosphatase calcineurin were found to be involved in the regulation of this protein. Alternative splicing of this gene results in two transcript variants which encode the same isoform.

Wang XQ, et al. (2001). J Biol Chem.276 (48): 44504-44511.
Lee YI, et al. (2001). J Biol Chem.276 (20): 16969-16977.
Maiti D, et al. (2001). J Biol Chem.276 (1): 329-333.

如果您使用该产品21063发表了文章,请通知我们,让我们可以引用您的文献。

et al,PIWI-Interacting RNA-004800 Is Regulated by S1P Receptor Signaling Pathway to Keep Myeloma Cell Survival.In Front Oncol on 2020 Apr 15 by Ma H, Wang H, et al..PMID: 32351883 , (2020),
PMID: 32351883
et al,Anticancer effects of sodium butyrate on hepatocellular carcinoma cells in vitro. In Int J Mol Med on 2013 Apr by Hong-Gang Wang, Xiao-Dan Huang, et al..PMID: 23440283 , (2013),
PMID: 23440283
et al,miR-137 and miR-197 induce apoptosis and suppress tumorigenicity by targeting MCL-1 in multiple myeloma.In Clin Cancer Res on 2015 May 15 by Yijun Yang , Fei Li et al..PMID:25724519 , (2015),
PMID: 25724519
et al,Blocking the bFGF/STAT3 interaction through specific signaling pathways induces apoptosis in glioblastoma cells.In J Neurooncol 2014 Oct by Jingchao Wu , Xuequan Feng et al..PMID: 25048528 , (2014),
PMID: 25048528

注释

应用

  • WB免疫印迹
  • IHC免疫组化
  • IF免疫荧光
  • ICC免疫细胞化学
  • FC流式细胞
  • IP免疫沉淀
  • E酶联免疫吸附法
  • DB免疫斑点法
  • ChIP染色质免疫沉淀
  • GICA胶体金免疫层析法
  • NC阴性对照

种属反应性

  • Hu
  • Ms小鼠
  • Rt大鼠
  • Dm果蝇
  • C线虫
  • Mk
  • Rb
  • B
  • D
  • P
  • Hm仓鼠
  • ChHm中国仓鼠
  • Chk
;

联系我们

Location :

南京市高新开发区星火路10号人才大厦C座

Phone :

400-9961-933
025-58868422

Email Address

info@sabbiotech.com