免费电话:400-9961-933
邮箱:info@sabbiotech.com
欢迎光临本站
川博智能体 English
位置: 首页 > 多克隆抗体 > EGFR Antibody

EGFR Antibody #21073

是否有货: 有货
产品详情

产品名称EGFR Antibody

来源种属Rabbit

克隆性Polyclonal

纯化Antibodies were produced by immunizing rabbits with synthetic peptide and KLH conjugates. Antibodies were purified by affinity-chromatography using epitope-specific peptide.

应用WB;IHC;IF

种属反应性Human

特异性The antibody detects endogenous level of total EGFR protein.

免疫原类型Peptide-KLH

免疫原描述Peptide sequence around aa.1068~1072 (R-Y-S-S-D) derived from Human EGFR.

基因/蛋白名称EGFR

标记Unconjugated

别名 Receptor tyrosine-protein kinase ErbB-1; ERBB1;

数据库入口号Swiss-Prot: P00533
NCBI Protein: NP_005219.2

Uniprot P00533

计算分子量134 kDa

实际分子量175 kDa

浓度1.0mg/ml

配方Supplied at 1.0mg/mL in phosphate buffered saline (without Mg2+ and Ca2+), pH 7.4, 150mM NaCl, 0.02% sodium azide and 50% glycerol.

保存Store at -20°C for long term preservation (recommended). Store at 4°C for short term use.

应用详情

Predicted MW: 175kd
Western blotting: 1:500~1:1000
Immunohistochemistry: 1:50~1:100
Immunofluorescence: 1:100~1:200

Western blot analysis of extracts from HUVEC and MDA cells using EGFR Antibody.
Western blot analysis of extracts from HepG, 293 and Hela cells using EGFR Antibody.
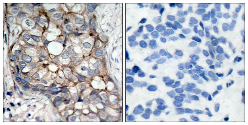
Immunohistochemical analysis of paraffin-embedded human breast carcinoma tissue using EGFR(Ab-1070) Antibody(left) or the same antibody preincubated with blocking peptide(right).
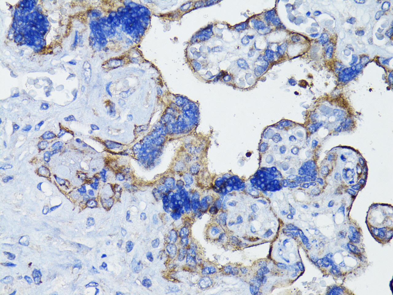
Immunohistochemistry analysis of paraffin-embedded Human placenta using EGFR Rabbit pAb.
Immunofluorescence staining of methanol-fixed MCF cells using EGFR(Ab-1070) Antibody.
Immunofluorescence analysis of A-431 cells using EGFR Rabbit pAb .

Receptor for EGF, but also for other members of the EGF family, as TGF-a, amphiregulin, betacellulin, heparin-binding EGF-like growth factor, GP30 and vaccinia virus growth factor. Is involved in the control of cell growth and differentia

Feinmesser RL,et al. (1999) J Biol Chem; 274(23): 16168-73.
Gamou S,et al. (1995)FEBS Lett; 357(2): 161-4.
Gamou S, et al. (1994)J Cell Physiol; 158(1): 151-9.
Heisermann GJ, et al. (1988) J Biol Chem; 263(26): 13152-8.

如果您使用该产品21073发表了文章,请通知我们,让我们可以引用您的文献。

et al,Dimerization of ZIP promotes its transcriptional repressive function and biological activity. , (2012),
PMID: 22387311
et al,Cytoplasmic retention of a nucleocytoplasmic protein TBC1D3 by microtubule network is required for enhanced EGFR signaling.In PLoS One on 2014 Apr 8 by Ze He, Tian Tian et al..PMID:24714105 , (2014),
PMID: 24714105
et al,ZD6474, a new treatment strategy for human osteosarcoma, and its potential synergistic effect with celecoxib銆侷n Oncotarget on 2015 Aug 28 by Jiani Liu, Jiangxue Wu et al..PMID: 26050198 , (2015),
PMID: 26050198
et al,ERK1/2-dependent phosphorylation and nuclear translocation of PKM2 promotes the Warburg effect.In Nat Cell Biol on 2012 Dec by Weiwei Yang, Yanhua Zheng,et al..PMID:23178880 , (2012),
PMID: 23178880

注释

应用

  • WB免疫印迹
  • IHC免疫组化
  • IF免疫荧光
  • ICC免疫细胞化学
  • FC流式细胞
  • IP免疫沉淀
  • E酶联免疫吸附法
  • DB免疫斑点法
  • ChIP染色质免疫沉淀
  • GICA胶体金免疫层析法
  • NC阴性对照

种属反应性

  • Hu
  • Ms小鼠
  • Rt大鼠
  • Dm果蝇
  • C线虫
  • Mk
  • Rb
  • B
  • D
  • P
  • Hm仓鼠
  • ChHm中国仓鼠
  • Chk
;

联系我们

Location :

南京市高新开发区星火路10号人才大厦C座

Phone :

400-9961-933
025-58868422

Email Address

info@sabbiotech.com