免费电话:400-9961-933
邮箱:info@sabbiotech.com
欢迎光临本站
川博智能体 English
位置: 首页 > 多克隆抗体 > VEGFR2 Polyclonal Antibody

VEGFR2 Polyclonal Antibody #21079

是否有货: 有货
产品详情

产品名称VEGFR2 Polyclonal Antibody

来源种属Rabbit

克隆性Polyclonal

纯化Antibodies were produced by immunizing rabbits with synthetic peptide and KLH conjugates. Antibodies were purified by affinity-chromatography using epitope-specific peptide.

应用WB;IHC;IF;IP;ELISA

种属反应性Human;Mouse;Rat

特异性The antibody detects endogenous level of total VEGFR2 protein.

免疫原类型Peptide-KLH

免疫原描述Peptide sequence around aa.949~953 (K-D-Y-V-G) derived from Human VEGFR2.

基因/蛋白名称VEGFR2

标记Unconjugated

别名FLK1; KDR; VGFR2; VGR2; kinase insert domain receptor

数据库入口号Swiss-Prot: P35968
NCBI Protein: NP_002244.1

Uniprot P35968

计算分子量151kDa

实际分子量230kDa

浓度1.0mg/ml

配方Supplied at 1.0mg/mL in phosphate buffered saline (without Mg2+ and Ca2+), pH 7.4, 150mM NaCl, 0.02% sodium azide and 50% glycerol.

保存Store at -20°C for long term preservation (recommended). Store at 4°C for short term use.

应用详情
WB 1:2000-1:10000; IF 1:200-1:1000; IHC 1:1000-1:4000; ELISA 1:5000-1:20000; IP 1:50-1:200;
Western blot analysis of extracts from HepG2, HUVEC and HT29 cells using VEGFR2 Polyclonal Antibody.
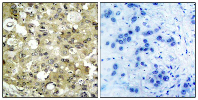
Immunohistochemical analysis of paraffin-embedded human breast carcinoma tissue using VEGFR2 Polyclonal Antibody(left) or the same antibody preincubated with blocking peptide(right).
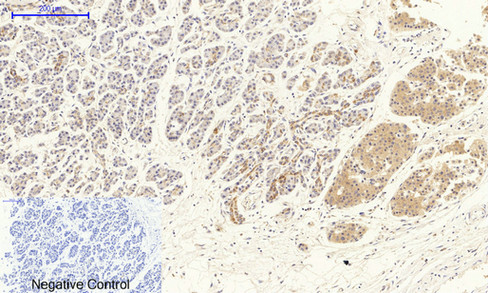
Immunohistochemical analysis of paraffin-embedded Human stomach cancer tissue using VEGFR2 Polyclonal Antibody.Negative control was used by secondary antibody only.
Immunohistochemical analysis of paraffin-embedded Rat spinal cord tissue using VEGFR2 Polyclonal Antibody.Negative control was used by secondary antibody only.
Immunofluorescence staining of methanol-fixed MCF cells using VEGFR2 Polyclonal Antibody. Blue: DAPI for nuclear staining.
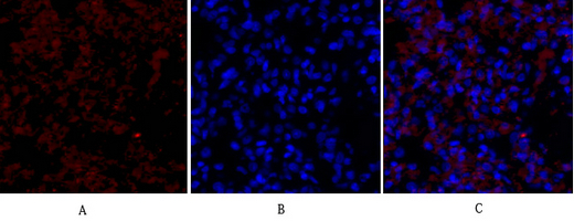
Immunofluorescence analysis of rat lung tissue using VEGFR2 Polyclonal Antibody.Picture A: Target (red). Picture B: DAPI (blue). Picture C: Merge of A+B
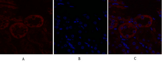
Immunofluorescence analysis of rat kidney tissue using VEGFR2 Polyclonal Antibody.Picture A: Target (red). Picture B: DAPI (blue). Picture C: Merge of A+B
Receptor for VEGF or VEGFC. Has a tyrosine-protein kinase activity. The VEGF-kinase ligand/receptor signaling system plays a key role in vascular development and regulation of vascular permeability. In case of HIV-1 infection, the interaction with extracellular viral Tat protein seems to enhance angiogenesis in Kaposi's sarcoma lesions

Zeng H, et al. (2001) J Biol Chem. 276(35): 32714-32719.
Dougher M, et al. (1999) Oncogene. 18(8): 1619-1627.

如果您使用该产品21079发表了文章,请通知我们,让我们可以引用您的文献。

et al,Chotosan (Diaoteng San)-induced improvement of cognitive deficits in senescence-accelerated mouse (SAMP8) involves the amelioration of angiogenic/neurotrophic factors and neuroplasticity systems in the brain. , (2011),
PMID: 21943225
et al,Kangen-karyu improves memory deficit caused by aging through normalization of neuro-plasticity-related signaling system and VEGF system in the brain. , (2010),
PMID: 20637274
et al,Chotosan ameliorates cognitive and emotional deficits in an animal model of type 2 diabetes: possible involvement of cholinergic and VEGF/PDGF mechanisms in the brain. , (2012),
PMID: 23082896
et al,Kangen-karyu improves memory deficit caused by aging through normalization of neuro-plasticity-related signaling system and VEGF system in the brain.In J Ethnopharmacol on 2010 Sep 15 by Qi Zhao, Takako Yokozawa,et al..PMID:20637274 , (2010),
PMID: 20637274
et al,Artesunate Inhibits Proliferation and Invasion of Mouse Hemangioendothelioma Cells in vitro and of Tumor Growth in vivo.In Oncol Lett on 2017 Nov by Ning Wang , Hongxia Chen,et al..PMID: 29113263 , (2017),
PMID: 29113263
et al,Maternal protein restriction alters VEGF signaling and decreases pulmonary alveolar in fetal rats.In Int J Clin Exp Pathol on 2014 May 15 by Xiaomei Liu , Yan Lin et al ..PMID: 25031729 , (2014),
PMID: 25031729
et al,CD146 acts as a novel receptor for netrin-1 in promoting angiogenesis and vascular development.In Cell Res on 2015 Mar by Wei Chen, Yan Liu et al..PMID:25656845 , (2015),
PMID: 25656845
查看更多
et al,Possible involvement of VEGF signaling system in rescuing effect of endogenous acetylcholine on NMDA-induced long-lasting hippocampal cell damage in organotypic hippocampal slice cultures. In Neurochem Int on 2014 Sep by Chikako Inada, Yimin Niu,et al..PMID:24911952 , (2014),
PMID: 24911952
et al,Loss of Phd2 cooperates with BRAFV600E to drive melanomagenesis.In Nat Commun.On 2018 Dec 21 by Liu S, Zhang G et al..PMID: 30575721 , (2018),
PMID: 30575721
et al,Mesenchymal stem cells originating from ES cells show high telomerase activity and therapeutic benefits. In Differentiation on 2011 Oct by Nana Ninagawa, Rumi Murakami, et al..PMID: 21855203 , (2011),
PMID: 21855203

注释

应用

  • WB免疫印迹
  • IHC免疫组化
  • IF免疫荧光
  • ICC免疫细胞化学
  • FC流式细胞
  • IP免疫沉淀
  • E酶联免疫吸附法
  • DB免疫斑点法
  • ChIP染色质免疫沉淀
  • GICA胶体金免疫层析法
  • NC阴性对照

种属反应性

  • Hu
  • Ms小鼠
  • Rt大鼠
  • Dm果蝇
  • C线虫
  • Mk
  • Rb
  • B
  • D
  • P
  • Hm仓鼠
  • ChHm中国仓鼠
  • Chk
;

联系我们

Location :

南京市高新开发区星火路10号人才大厦C座

Phone :

400-9961-933
025-58868422

Email Address

info@sabbiotech.com